신경관이 가까워 손상이 걱정된다면 ? 컴퓨터분석임플란트 로~

오늘도 왔습니다!
벌써 목요일이네요.
한주가 왜 이렇게 빨리 가는건지 참..
시간이 약속하네요~
식사는 맛있게 하셨나요?
저는 점심시간을 쪼개
이렇게 포스팅을 하고 있습니다ㅎㅎ
가끔 저에게 이렇게 묻는 분들이 계십니다.
『진료 하는 것도 바쁘실텐데
왜 블로그까지 하시는거에요..?』
맞습니다. 바쁘죠.
사실 제가 치료 과정을 ‘기록’함으로써
많은 분들이 올바른 정보를 공유하면 좋겠는 바람에
이렇게 글을 적고 있는겁니다.
사실 일반인들은 잘 모르죠.
어떤 진료를 받아야 되고, 어떤 곳을 선택해야 좋은건지..
제 지식을 공유하면서
여러분들이 도움을 받았으면 하는 것도 있고
저 또한 기록을 통해 많이 배웁니다.
수많은 진료를 하지만
솔직히 모든 진료가 다 성공적이진 못합니다.
물론 잘된 케이스만 올릴 수 있습니다.
그러나 저는 그렇지 않습니다.
공개 된 이곳에 공유를 해서
더 많이 배우고 성장할 수 있는 것이죠.
하루에 약 1600명에 가까운 분들이
제 블로그를 보러 오십니다.
참 감사하고 뿌듯한 일이지요ㅎㅎ
앞으로 키보드 칠 힘이 남아있는 한
꾸준히 글을 적을 예정입니다.
그러니 여러분들께서도 점점 더 성장하는
박원장을 지켜봐주세요~
수다를 너무 많이 떨었네요ㅋㅋ
오늘 소개해드릴 환자는
더서울을 6년째 다니고 있는 분입니다.
이번에는 어떤 문제로 오셨을지!
함께 알아보도록 하겠습니다.
『어금니 상실, 방치하면?』
6년간 더서울바라기인 우리 환자 분.
구강 내에 크고 작은 문제들이 생길 때마다
꾸준히 내원을 하는 분인데요.
사실.. 6년 전 발치 선고를 받고 오셨으나..
본원에서의 꾸준한 치료를 통해 유지되고 있었습니다.
참 놀라운 일이죠.
뺄 수 밖에 없던 치아를 6년을 넘게 사용하고 있다니ㅎㅎ
그런데 얼마전부터 이곳의 통증이 점점 더 심해지셨다며
오랜만에 찾아오셨습니다.

이분의 구강을 살펴보면
부정교합이 심한 것을 확인할 수 있는데요.
그래서 치아나 잇몸 관리에도 어려움이 있었습니다.
삐뚠 치열은 구석구석 숨은 곳이 많기 때문에
제대로 된 청결관리가 어렵습니다.
『청결관리가 어려우면 어떻게 될까요?』
네, 충치가 생기고 치주질환이 생기게 되죠.
환자께서는 이를 방지하기 위해
주기적으로 치주치료를 받으셨는데요.

더는 치아가 회복되지 않을 것 같다는 판단 하에
이제는 놓아주기로 했습니다…
6년 넘게 버틴 것도 정말 대단하고 좋은 일인건데..
왜 이렇게 아쉬움이 남는걸까요?ㅠㅠ
편안한 식립을 돕기 위해
컴퓨터분석임플란트 를 하기로 계획을 세웠습니다.
『컴퓨터분석임플란트 로 보다 편안하게』
컴퓨터분석임플란트 를 심기 전,
내부 조직과의 위치 관계를 확인해야겠죠?
상악은 상악동~
하악은? 하치조신경관~
초록색 선이 신경관의 위치입니다.
어? 그런데 제가 잘못봤나요..
신경관이 앞에 떡하니…
이럴 땐 더더욱 컴퓨터분석임플란트 를 해야 됩니다.
정확한 위치 및 거리 계산을 통해
단 0.001mm의 오차도 발생하지 않도록 진행을 해야 되죠.



사람인지라 실수는 물론 할 수 있습니다.
그러나 이때는 절대 있어선 안됩니다.
자칫 삐끗했다간 신경관 손상 및 마비로
이어질 수 있는 큰 문제이기 때문이죠.
그간 꽤 까다로운 과정을 많이 다뤄봤기 때문에
이정도는 충분히 개선할 수 있을거란 판단이 들었습니다.
더서울이지 않습니까ㅎㅎ
미리 결정된 식립 위치에 맞춰
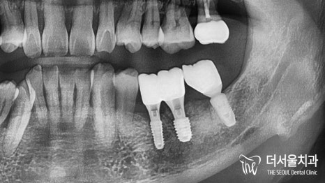
컴퓨터분석임플란트 식립을 마무리 했습니다.


오늘도 해내는 더서울.. (짝짝짝)
가지런하게, 그리고 예쁘게 심어드렸습니다.
emergency profile도 딱 알맞게 형성되어 있는 모습이네요.
오래오래 보철을 사용하실 수 있도록
주의사항 및 관리법을 다시 한 번 강조드렸습니다.
물론 꾸준한 관리를 도와드리겠으나
무엇보다 개인 스스로의 관리가 뒷받침 되어야
더 좋은 결과를 얻을 수 있다는 사실!


겁이 많거나 치과 트라우마가 있는 분,
좀 더 정확한 과정을 원할 때,
빠른 회복을 기대하는 분들께는
컴퓨터분석임플란트 를 권해드리고 있습니다.
이와 관련하여 문의할 내용은
언제든 아래 댓글이나 더서울로 연락 주세요!!
최대한 빠르게 답변 달아드리겠습니다.
유기적인 소통을 위해 비공개 댓글 노노~
저는 이만 진료하러 떠나보겠습니다!







