더서울치과 오래된 브릿지 통증으로 아랫니 임플란트 받으셨던 분 (즉시 식립 2탄)

반갑습니다.
더서울치과 박현준 원장입니다.
"제가 며칠 전 포스팅했던
즉시 식립 임상 증례 기억나실까요?"
오늘은 그분의 속편을 소개해 드리려 합니다.
무슨 일인지..
치료가 끝나고 몇 달 뒤,
더서울을 다시 찾아와주셨는데요.
과연 어떤 이유로 내원하셨던건지,
전에 받았던 곳에 문제가 생긴 건 아닌지!
환자의 아랫니 임플란트 증례를 살펴보며
하나씩 설명드리겠습니다.
『치료가 끝났는데 또다시 내원하셨던 환자분,
어떤 이유로..?』
상악 전체 식립 이후,
약 3-4달이 흐르고
더서울을 다시 내원해 주셨습니다.
아 심었던 곳이 불편했나?
아니면 충격을 받아 깨져버렸나?
또 다른 문제가 생겼나?
여러 생각들이 박원장의 머릿속을 스쳐 지나갔죠ㅎㅎ
알고 보니 예전에 치료받았던
하악 브릿지에 통증이 느껴지셨다는데요.
몇 달 전에도 이곳이 걱정스럽긴 했지만
이가 빠져버린 곳들만 개선하고 싶다던
환자의 의견을 따라 진료를 하지 않았던 곳입니다.
음 언젠가 말썽을 일으킬 것은 알았지만
이렇게 빨리 생길 줄은 몰랐네요ㅜㅜ
정확한 진단을 토대로 계획을 세우기 위해
육안 관찰부터 시작했습니다.
그간의 경험을 바탕으로 예상하건대,
오래된 브릿지 하방으로
이차우식이 생겨 염증과 통증을 동반했을 겁니다.
여기서 또 한 가지
아시겠죠?
씌운지 오래된 보철은 언. 제. 든. 지.
문제를 일으킬 수 있기 때문에
주기적으로 검진을 받아야 됩니다^^

측면에서 관찰해 보니
치경부가 겉으로 드러난 것은 물론이며
다량의 치석들이 주변에 자리를 잡고 있었습니다.

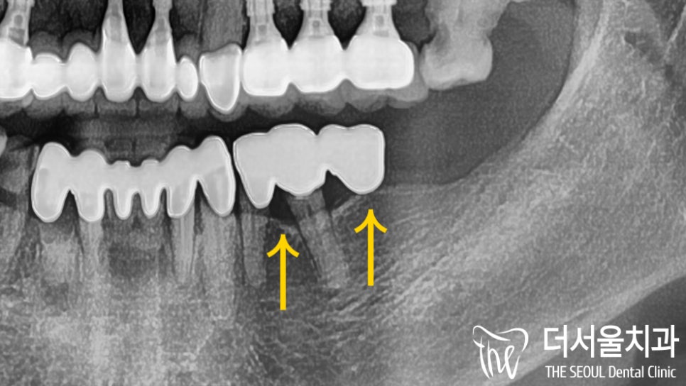
엑스레이 촬영을 통해 확인했는데요.
아.. 이미 염증이 생겨
치은 라인에 퍼져있네요.
『더서울에서는
이렇게 개선을 도와드리기로 했습니다.』
브릿지 주변으로 극심한 통증을 느끼고 있던 환자분,
이때 할 수 있는 최선의 방법은
‘ 아랫니 임플란트 ‘라는 생각이 들었습니다.
1) 브릿지의 pontic(파닉)부분을 대체해야 됨
2) 지대치의 상태가 좋지 않았음
3) 치은 염증으로 퍼져있던 상태
단 한 곳의 지대치를 제외하곤,
자연치를 더 이상 살릴 수 있는 상태가 아니었습니다.

이와 더불어 마모가 심한 치아가 눈에 띄었는데요.
이렇게 심하게 갈린 치아 표면은 이 시림을 유발하고,
나아가 표면으로 세균이나 음식 찌꺼기들이 침투하여
치아 내부의 문제를 일으킬 수 있습니다.
따라서! 바이탈 크라운을 올려
개선을 돕는 것으로 계획을 세웠습니다.
아랫니 임플란트 , 근관치료, 크라운
세 가지 술식이 동반되는
복합적인 치료가 되겠네요ㅎㅎ
『아랫니 임플란트 개선 과정』




디지털 분석을 사용하여
골질과 골양, 인접치와의 거리,
대합치와의 교합 관계를 파악하여
픽스처의 직경과 폭,
그리고 식립 위치를 정했습니다.
이후 미리 계산된 위치에 맞춰
아랫니 임플란트 과정을 진행했습니다.
살릴 수 있는 지대치 한 곳은
근관치료를 통해 감염된 곳을 깨끗하게 소독한 뒤,
충전재를 사용하여 뿌리 끝까지 빼곡하게 채워주었습니다.
이후 크라운 제작을 통해
문제가 생겼던 곳들을 모두 개선했습니다.
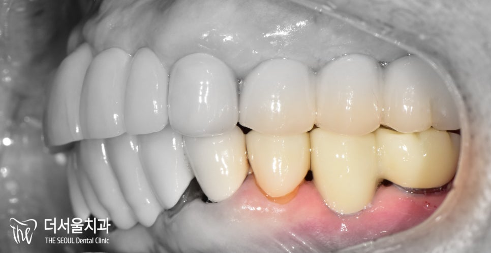
원하던 대로 좋은 결과를 얻을 수 있었는데요.

통증이 느껴졌던 오래된 브릿지가
튼튼하고 심미성이 좋은 지르코니아로
바뀌어 있는 모습을 확인할 수 있습니다.
교합도 잘 맞물리고 있었으며
크라운도 인접치 형태에 맞춰
조화롭게 제작이 되었습니다.

『박 원장의 Check point』
아랫니 임플란트 증례 잘 보셨나요?
몇 번 말씀드렸던 얘기지만
오래된 보철 속으로 생긴 병소는
조기에 파악하는 것이 쉽지 않습니다.
이분처럼 통증이 느껴지는 등
눈에 띄는 증상이 있을 때
비로소 알아차리게 되는 것이죠.
이 글을 읽는 여러분들께서는
적어도 6개월에 한 번씩은 치과를 내원하여
검진받는 습관을 들이는 것이 좋습니다.
이렇게 하면 장담컨대ㅎㅎ
구강 질환으로 치과에 갈 일은
거의 없을 겁니다.
이외에도 문의할 내용은
아래 댓글 달아주시면
확인 후에 답변 도와드리겠습니다.
감사합니다.



치료 기간 2021.04.15 ~ 2021.12.07





