사랑니 충치 , 인접한 앞어금니 뿌리에도 영향을 끼칠 수 있다는 사실.

『오늘의 Topic은?』
벌써 금요일이네요.
다들 불금 잘 보내고 계시나요?
저는 이렇게 글을 적으며
하루를 마무리하려 합니다.
오늘은 많은 분들이
궁금해하는 내용을 들고 왔는데요.
< 사랑니 를 그냥 내버려 두어도 괜찮을지! >
이와 관련된 내용을 설명드리려 합니다.
이전에도 이런 내용을 몇 번 다룬 적이 있었지만
아직까지도 여쭤보는 분들이 많더라고요.
실제 환자의 임상 증례를 살펴보며
좀 더 자세한 설명을 드리겠습니다.
『어떻게 오시게 되었을까?』
“저 어금니가 너무 아파요.
충치 가 생겨서 썩은 것 같은데..
진단 좀 받아보려고요.”
환자께서는 어금니 부근의 통증으로
불편함을 느껴오셨다는데요.
최근에는 잇몸이 팅팅 붓고
아려오는 느낌까지 동반되었다네요.
흠.. 잇몸까지 붓고
아려오는 느낌이라..
왠지 느낌이 쎄했는데요.
“아 맞다! 사랑니 도 자랐어요ㅜㅜ”
라고 뒤늦게 말씀해 주셨던 환자분.
역시나 예상했던 게 딱! 들어맞았습니다.
『본격적으로 검진을 진행해야겠죠?』
* 육안 관찰
저~ 뒤쪽으로 빼꼼 머리를 내밀고 있는
사랑니 가 관찰되었습니다.

옆으로 누워있었는데요.
이런 모습을 갖고 있는 것들은
말썽을 일으킬 확률이 매. 우. 높습니다.
뭐 예방할 수도 없고,
어찌할 수 도리가 없는데 어떡하죠?
여쭤보는 분들이 있는데요.
보통 10대 후반에서 20대 초반에 맹출 합니다.
따라서 이 나이대에 해당되는 경우에는
치과 내원을 통해 검진을 받아보는 것이 좋죠~
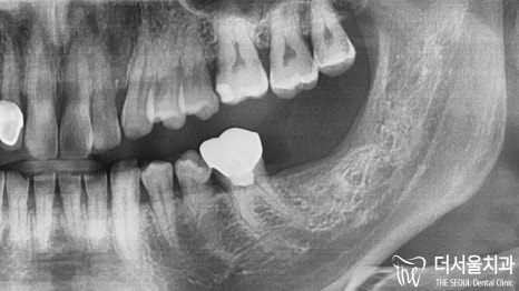
* 파노라마
좀 더 자세히 살펴보기 위해
엑스레이 촬영을 진행했습니다.
안 좋은 예감은 빗나간 적이 없네요.
육안 관찰을 했을 때도
약간 검게 물들어 있는 것을
확인할 수 있었는데요.
혹시!?나 싶었지만
역시였습니다.
옆으로 누워서 자란 사랑니 때문에
충치 가 생겨 있었는데요.
꽤 넓은 부위에 퍼져있었으며
앞에 있는 어금니 뿌리에도 영향을 끼치고 있었습니다.
파노라마에서만 봐도
충치 때문에 검게 변해있는 것을 관찰할 수 있네요.
제가 그렇게 검진을 강조 드리는 이유입니다.
미리 알았더라면..
인접치 병소는 막을 수 있었을 텐데요.
『더 서울의 계획!!』
심하게 손상이 생긴 것은 맞지만
충치 치료를 통해 자연치를 살려볼 수 있을 거란
판단이 들었습니다.
어려운 과정이지만 자연치를 살릴 수 있다면
꼭 살리는 것이 좋은 방법이죠.
어? 그런데..
환자의 반응이 예상과는 달랐습니다.
보통 자연치를 살린다 하면
다들 좋아하시는데,
이분께서는 관리가 어렵다며
그냥 임플란트를 하시겠다고..
좀 당황스러웠지만
더서울에서는 환자의 의견을 반영하여
진료를 돕기로 했습니다.
『과연 결과는!?』
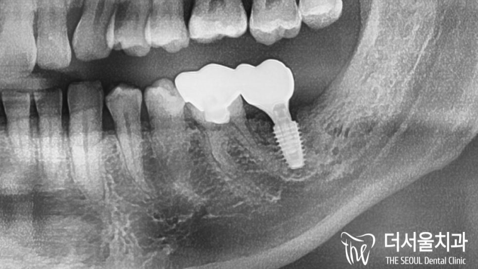
▶ 사랑니 발치
▶ 충치 제거 후 임플란트
두 가지 경우 모두,
하치조 신경관을 조심해서 진행해야 됩니다.
자, 우선 썩어있는 사랑니 와 어금니를
깔끔하게 뽑아주었습니다.


정말 제 속이 다 시원하더라고요.
그간 얼마나 불편하고 답답하셨을지ㅜㅜ
뽑혀져 나온 것을 보니
충치 가 생각보다 심하게 진행되어 있었습니다.


이후, 더서울에서는 컴퓨터 분석을 통해
조직과의 거리, 위치 관계를 파악했습니다.
분석을 통해 결정된 식립로에
픽스처를 단단하게 심어주고
잇몸 형성을 도울 치유지대주까지 결합했습니다.
.
.
.
자, 이제 결과를 공개할 차례네요.
여러 개의 임플란트를 심다가
이렇게 하나만 진료를 하게 되면
더 쉬운 게 아닌가? 생각이 들 수 있는데요.
그러나 고려해야 될 사항들이나
주요 조직들과 가까이 있는 위치 때문에
절대 쉬운 과정은 아니었습니다.
그런데 여기가 어딥니까,
더서울이죠ㅎㅎ
역시나 깔끔하고 튼튼하게 심어졌습니다.

글을 마치며,

여러분! 이제 딱 아시겠죠?
사랑니 가 누워있거나, 매복
혹은 충치 가 생겼을 때에는
무. 조. 건 발치를 해야 됩니다.
여기서 한 가지 더 중요한 것은
‘늦지 않게’ 내원을 하셔야 된다는 거죠.
더서울은 풍부한 경험과 노하우를 바탕으로
고난이도 협진 케이스나 고령, 다수의 임플란트 등
복잡하고 어려운 수술도
문제없이 도와드리고 있습니다.
“치료받을 수 있을까? 아플 텐데..”
이렇게 생각하는 순간에도
병소는 점점 더 진행되고 있다는 점!
이만 글 마치겠습니다. 감사합니다.



치료 기간 2023.02.14 ~ 2023.05.12





