잇몸 염증이 심한데 임플란트 심을 수 있을까? 불가능을 가능으로!

더서울치과 박현준 원장입니다.
"임플란트 와 잇몸 ,
어떤 관련이 있을까요?"
우리의 치아는 치조골이라는 뼈 속에
뿌리를 내려 고정력을 얻고 있습니다.
만약 이곳이 염증이나 충치 등으로 인해
손상을 입게 되어 소실이 된다면
결국에는 자연치가 빠져버리게 되죠.

출처 – 구글
임플란트 수술을 할 때에도
문제가 생기게 되는데요.
픽스쳐가 고정될 곳이 없으니
덜렁덜렁 흔들리거나 빠져버리게 됩니다.
잇몸 폭이 모자라서
고정력을 얻을 수 없게 되는 것이죠.
기반이 잘 되어야 좋은 결과를 얻을 수 있기 때문에
임플란트 식립 시 꼭 고려해야 될 사항 중 하나입니다.
만약 잇몸 염증이 심하게 나타난 경우에는
치조골에도 영향을 끼쳤을 확률이 높기 때문에
정밀 검진을 통해 현재 상태를 정확히 확인하고
추가로 필요한 술식을 동반해야 될 수 있죠.
실제 환자의 진료 과정을 살펴보며
좀 더 자세한 설명을 드리겠습니다.
『아름다운 미소를 되찾을 수 있을까?』
밝은 웃음을 갖고 계셨던 환자였습니다.
사실 더서울을 내원하기 전,
댁 근처에 있는 곳을 가서 검진을 받으셨다는데요.
그곳에서는 잇몸 이 좋지 않아
임플란트 를 심기가 힘들다며
큰 병원을 가셔야 될 것 같다고 권해주셨답니다.
그 말을 들은 아드님께서
주변 지인에게 치과를 소개받은 뒤
저희 더서울로 모시고 오게 된 것이죠.

1) 다수의 치아 상실
2) 치아 정출
3) 치석
4) 치근 드러남
5) 잔존 치근
6) 치주 질환
.
.
.
이외에도 다수의 문제들이
구강 내에 발견이 되었습니다.
교합면에서 확인해 보면
잇몸 폭이 확연히 줄어들어 있는데요.
이렇게 좁아진 폭을 보아하니
치조골의 상태도 좋지 않을 것으로 판단되었습니다.
염증이 심해져 치주염으로 진행이 되었고
그로 인해 안에 있는 치조골까지 약해지게 만들었네요.
“저 치료받을 수 있을까요?”
여쭤보셨던 환자분,
그럼요, 튼튼한 치아로 바꿔드려야죠!
그러나 꽤 어려운 수술이 되겠구나 짐작이 되었다던..ㅎㅎ
『바로 심어버리면 이런 문제가 생길 수 있습니다.』
이런 상황에서 임플란트 를 심게 되면
어떤 일이 벌어지게 될까요?
네, 앞서 말했듯이
아예 수술 실패로 이어질 수 있죠.
아마 팅팅 부어있는 치은에 무리가 가서
또 다른 부작용이 생길지도 모릅니다.

출처 – 구글
그렇다면 어떻게 해야 되느냐!
악화된 치은 건강을 완화시키고
골이식을 동반한 식립을 진행해야 됩니다.
구강 내에는 살릴 수 있는 치아가 거의 없었는데요.
그나마 상태가 괜찮은 4곳의 치아를 제외하곤
발치를 하는 것으로 계획을 세웠습니다.
워낙 치주 상태가 좋지 않았기 때문에
치조골 소실 또한 심하게 일어났지만
더서울에서는 염증 치료를 동반한 골이식으로
현재 나타나 있는 문제들을 개선하기로 하였죠.
『더서울의 계획
-> 근관치료 및 임플란트 를 동반한
전체적인 문제 개선』
『원하던 결과가 나왔을까?』
스케일링부터 차근차근 진행했습니다.
살릴 수 없는 곳들은 발치를 한 뒤
심하게 퍼져있는 염증을 줄이기 위해
잇몸 치료를 동반하였습니다.

출처 – 구글
사실 염증이 심하게 퍼져있는 곳은
마취가 잘 들지 않습니다.
그래서 상태를 잘 확인한 뒤에
안전하게 진행하는 것이 좋은 방법이죠.
드디어 임플란트 식립 당일이 되었습니다.
컴퓨터 분석을 통해
골이식이 필요한 부위와 식립 방향,
픽스쳐의 직경 등을 결정한 뒤
위 데이터를 바탕으로 본격적인 수술을 도와드렸습니다.




모든 과정이 마무리되고
최종 보철 세팅만을 앞두고 있습니다.
사실 젊었을 때부터 잇몸 이 좋지 않아서
밝게 웃어본 기억이 별로 없다는 말씀을 해주셨는데요.
알고 보면 누구보다 밝게 웃는 분인데
그간 마음고생을 하셨을걸 생각하니
정말 안타까웠습니다.
자, 이제 더서울에서 잃어버린 미소를
찾을 수 있게끔 해드려야겠네요.
환자의 안모, 분위기, 성별, 나이 등
전체적인 요소를 고려하여
딱 맞는 보철을 제작하였습니다.

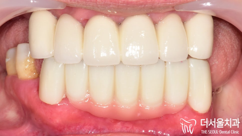
하악 전치부는 지대치에 근관치료를 진행하여
브릿지 형태로 제작을 도왔는데요.
핑크포세린을 사용하여 심미성을 높여드렸으며
실제 자연치와 유사한 재료를 사용하여
새하얗고 고른 치아로 개선해 드렸습니다.

구치부도 내구성이 좋고 튼튼한
지르코니아 크라운이 올려져 있네요.
불가능을 가능으로,

정말 감사하다며 마지막까지 인사를 해주셨는데요.
참.. 기억에 오래 남는 말이 있었습니다.
“선생님 덕분에
제 남은 인생이 달라졌어요.”
저의 치료를 통해 환자분의 삶까지
좋은 쪽으로 변화시킬 수 있다는 것..
참 어렵지만 뿌듯하고 좋은 일인 것 같습니다.
제가 치과의사를 하는 이유 중 하나죠ㅎㅎ
저 박 원장은! 제힘이 다할 때까지
여러분들의 구강 건강을 위해
오래오래 달릴 예정입니다^^
구강 고민을 갖고 있는 분들은
언제든 아래 댓글이나 더서울로 연락 주시면,
자세하고 친절함은 물론이며!
직접적으로 도움이 될 수 있는 방향으로
상담 도와드리도록 하겠습니다.



치료 기간 2023.01.24 ~ 2023.05.24





