인비절라인 으로 아래턱이 튀어나온 주걱턱 개선도 가능할까?

오랜만에 교정 케이스를 들고 온
더서울의 박현준 원장입니다~
이 글을 읽는 여러분들께서는
"입이 편하게 잘 다물어지시나요?
식사를 하실 때에 불편함은 없으신지요."
없다면 참 다행이지만,
올바르지 못한 치열, 부정교합 때문에
당연한 줄 알았던 것들을
누리지 못하는 분들이 계십니다.
편하게 식사를 하고~
발음 문제없이 상대방과 대화를 하고~
당당하고 환하게 웃는 것이 힘들 분이 계시죠.
이런 분들께 필요한 것이 바로 치아교정입니다.
이전에는 어린아이들, 청소년들에게 국한되었던
주연령층이 이제는 남녀노소 할 것 없이
다양해진 것을 느끼고 있는데요.
그러나 꽤 많은 분들이
티가 많이 나는 교정 장치 때문에
받아야 되는 치료임에도 불구하고
미루고 있는 경우가 많습니다.
『그렇다고 계속 가만히 둬야 될까요?』
그건 절대 안 되죠~
치열이나 부정교합이 있다면
심미적인 문제는 물론이며
기능 역할도 제대로 하지 못합니다.
심지어는 충치와 치주 질환이 생길 확률이
더 높아지게 되는데요.
이럴 때 필요한 것은 뭐다?!
바로 ‘ 인비절라인 ‘입니다.
오늘 더서울에서 소개해 드릴 내용은
주걱턱 비수술 증례인데요.
함께 보며 설명드리겠습니다.
『어떻게 오시게 되었을까?』
30대 여성 환자께서
툭 튀어나온 아래턱이 신경 쓰인다며
더서울을 내원하셨습니다.
육안으로 봤을 때에도
튀어나와 있는 턱이 관찰되었는데요.

10년도 넘는 기간 동안
치료를 받을까 말까 고민을 하셨지만
사회생활을 시작한 뒤로
눈에 띄는 장치를 착용하는 것에 대한 거부감이
이전에 비해 더 커지셨다던 환자분.
맞습니다.
사람들을 만나며 일을 해야 될 때에
튀어나오고 반짝거리는 장치를 부착하게 되면
신경 써야 될 것이 은근 많죠.
그러던 중 제가 작성했던
‘ 인비절라인 주걱턱 ‘ 포스팅을 보시고
수원에서 성남까지 오시게 된 것입니다.
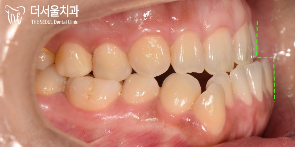
『현재 상황은?』
육안으로 구강 상태를 확인했습니다.
위턱에 비해 발달한 아래턱으로
Class 3급 부정교합을 갖고 있었습니다.


주걱턱이 심하게 나타나 있는 것이 관찰되네요.
그로 인해 상, 하악이 거꾸로 물리는
반대교합이 나타났으며
입이 다물어지지 않고 있었는데요.
생활이 꽤 불편하셨을 거라 생각이 듭니다.
이런 경우에는 절단 기능을 아예 하지 못하기에
끊어 먹는 것을 아예 할 수가 없게 되죠ㅜㅜ
성장기 아이들의 경우
악관절의 위치를 바로잡아주어
턱의 불균형을 맞춰주고 있는데요.
그러나 발육이 모두 끝난 성인들은
턱의 불균형을 맞춰주는 건 어렵습니다.
그래서 최대한 개선할 수 있는 정도까지
외관과 기능을 회복시켜야 되는 것이죠.
『이렇게 진료를 돕기로 했습니다.』
더서울에서는 겉으로 티 나는
브라켓, 와이어가 신경 쓰이는 환자분을 위해
투명장치인 인비절라인 을 사용하여
툭 튀어나온 주걱턱을 개선하기로 했습니다.
이때 이동할 공간이 필요했는데요.
# 48 사랑니 발치 후
그 공간을 이용하기로 계획을 세웠습니다!
좀 더 자세히 알아보자면,
양쪽 아래 치아를 최대한 뒤로 보내서
정상적으로 물리게끔!
즉, 윗니가 아랫니를 덮을 수 있도록
마무리를 도와드리기로 했습니다.
여기서 알아둬야 될 것이
치아 배열을 통해 가지런한 모습으로
바로잡아줄 수는 있지만
골격적인 개선은 어렵다는 것이죠.




인비절라인 은
치료 후 나의 모습을 미리 예측할 수 있어
많은 분들이 선호하고 계신데요.
위 자료를 사용하여 환자에게 충분한 설명을 드린 뒤
본격적으로 교정을 진행했습니다~
내 미래 모습을 예측할 수 있다니..
정말 신기하지 않나요?ㅎㅎ
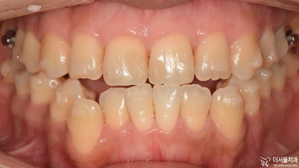
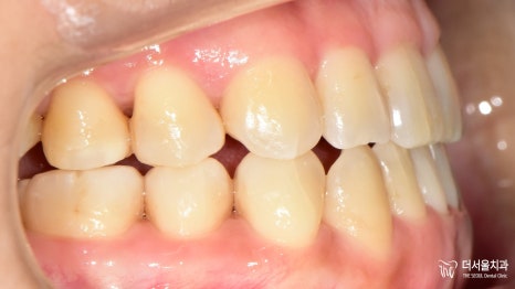
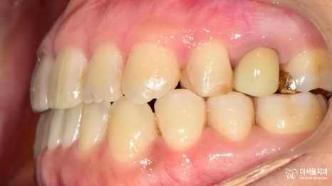
『과연 결과는 어떻게 나왔을까?』



제작된 인비절라인 과 어태치먼트의 도움을 받아
원하는 곳으로 신속하게
움직일 수 있도록 유도했습니다.
자 기나긴 교정 기간이 끝나고
드디어 마무리를 하는 날이 찾아왔습니다.

전과는 달리 제위치를 찾아간 치아들이 눈에 띕니다.
골격은 아직 Class 3급이라
완벽한 어금니 교합은 어려웠는데요.


이제는 입을 다물 때 힘을 주지 않아도
자연스럽게 다물어지기에
환자께서도 만족해하셨죠ㅎㅎ


주걱턱 때문에 스트레스를 많이 받으셨던 분인데요.
앞으로는 더 아름다워진 미소를 가지고
웃음만 가득하길 바랍니다^^


주걱턱 인비절라인 과정이었습니다.
심한 부정교합도 티 안 나게 개선을 할 수 있다니
치과의사인 제가 생각해도
정말 놀라운 일인 것 같은데요.
이제 치아에 철길을 깔지 않고도
이렇게 심미적으로 치료를 받을 수 있습니다~ㅎㅎ
이와 관련하여 문의할 내용은
댓글 남겨주시면
신속하고 정확한 답변 도와드리도록 하겠습니다.
그럼 저는 내일 다시 찾아오도록 하죠.
감사합니다.



치료 기간 2021.06.12 ~ 2022.05.14






