치아교정 임플란트 의 조화, 30대 인비절라인 비발치 증례

반갑습니다. 여러분!
더서울치과 박현준 원장입니다.
치아교정 – 임플란트
"둘 다 필요한 상황이라면
어떤 것을 먼저 받아야 될까요?"
이전에도 이런 질문을 여러 번 받았던 터라
포스팅을 했던 적이 있는데요.
결론부터 말씀드리자면
치아교정 을 먼저 진행한 다음에
임플란트 식립을 하는 것이 맞습니다.
* 그 이유는 무엇일까요?
단순하게 생각하시면 됩니다.
자연치는 어느 정도 이동이 가능하지만,
인위적으로 심는 픽스쳐는 움직일 수 없기 때문이죠.
얼마 전 더서울에서 치료를 마무리하신 분이
딱 이와 관련된 케이스더라고요~
오늘은 그분의 개선 과정을 소개해 드리려 합니다.
『내원 경로』
“저 앞니가 앞으로 뻗쳐있는 게
너무 거슬려요.
좀 늦은 감이 있긴 하지만
이제라도 치료를 받고 싶은데 가능할까요?”
30대 여성 환자께서 더서울을 내원해 주셨습니다.
뻗쳐있는 앞니 때문에 신경이 쓰인다던 환자분,
비교적 늦은 나이에 진료를 받는 것 같아
걱정이 많으셨다는데요.
치료에 있어 나이는 중요하지 않습니다ㅎㅎ
연령대에 맞는 주의사항만 잘 지켜가며
진료를 한다면 보다 구강건강을 더 오래,
더 건강하게 지킬 수 있는 방법이죠.
실제로 박원장이 요즘 들어 느끼는 거지만
중, 장년층들의 비율이 날이 가면 갈수록
점점 늘어나고 있습니다.
아직도 걱정이 되신다면~
지금까지 제가 진료했던 케이스들을
쫙 읽어보시면 안심이 되실겁니다ㅎㅎ
본론으로 들어가 구내 상태는 어떤지
하나씩 살펴봐야겠죠?
『정밀검진』

앞니가 전방으로 뻗쳐있는 것이 관찰됩니다.
측면에서 관찰하면 더욱 도드라지게 나타나는데요.
전치부 각도 조절을 통해 개선해야 될 것 같네요.

앞니 각도
어? 그런데 교합면을 살펴보니
곳곳에 썩은 이가 발견되었으며
아래 어금니 하나가 비어있었습니다.

환자와의 대화를 통해 어찌 된 일인지 여쭤봤는데요.
심하게 썩어버린 탓에 부러지셨다네요.
이렇게 텅 빈 채로 생활한지는
꽤 오랜 시간이 지나셨다고 말씀을 해주셨습니다.
이가 빠진 채로 지내셨기 때문에
인접한 어금니까지 돌아가 있는 것이 관찰되었네요.
위 진단 내용을 토대로..
치아교정 을 통해 치열을 정돈한 다음
# 46 임플란트 식립으로 상실된 곳을
채워주는 것으로 계획을 세웠습니다.





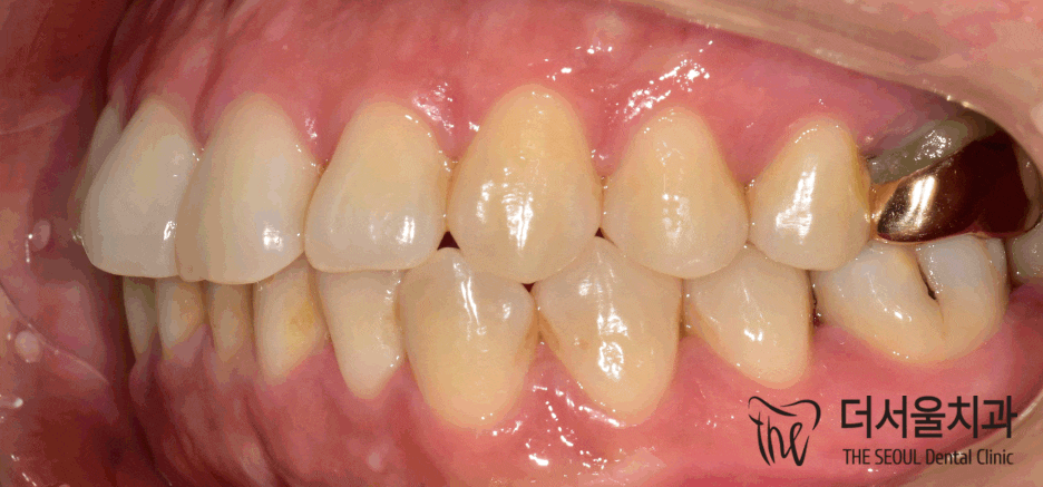
『개선 과정』

46번 발치
비교적 늦은 시기에 치열 개선을 받는 분들은
겉으로 보이는 장치에 대해
거부감을 갖고 있는 경우가 많습니다.
다들 활발하게 사회생활을 하고 있기 때문에
만나는 사람들도 많고 외적인 모습이
중요하기 때문인데요.
더서울에서는 인비절라인을 사용하여
티 안 나는 개선이 가능하다는 점^^

어태치먼트 부착
이분 역시 인비절라인(+어태치먼트)를 사용하여
전치의 각도를 조절해 주었으며
삐뚤어진 구치부 배열까지 바로잡아주었습니다.
걱정했던 것과는 달리 협조를 잘해주신 덕분에
예상했던 것보다 빠르게 이동을 했는데요.
어느 정도 배열이 완성되고 나서
# 46 임플란트 수술을 도와드렸습니다.
이때 꼭 확인해야 되는 것이
치아교정 이 거의 마무리되었는지!!!
여기서 더 고쳐야 될 곳은 없는지!!!
신중하고 꼼꼼하게 살펴봐야 됩니다.
저는 물론 하나하나 세심하게
체크를 한 뒤에 다음 과정을 진행합니다.
제 성격이 워낙 꼼꼼한 편이라
걱정하지 않으셔도 되죠^^ ~
『마무리』
드디어 모든 과정이 마무리되었습니다.
저는 이 순간이 제일 설레고 뿌듯한 것 같습니다.
그간 환자분과 제가 노력한 결과를
여러분들께 소개해 드릴 수 있다는 게
참 감사한 일이라 생각하며
하루하루 열심히 진료를 하고 있죠ㅎㅎ
과연 어떻게 변했을지 함께 살펴볼까요?
치아교정 – 임플란트 ,
두 가지 치료를 함께 진행한 결과는
어떻게 되었을지!

전치 각도 또한 정상 범위로 개선이 되었으며
여기저기 삐뚤어져 있었던 치열도
긴밀하게 바꿔주었습니다.

이전에는 크고 작은 충치들이 눈에 띄었는데요.
이 부분 또한 인레이, 레진 등 충치치료를 진행하여
심미성은 물론 건강한 자연치로 만들어드렸죠ㅎㅎ

환자께서는 전치 각도가 삐뚤어져 있어서
웃을 때마다 손으로 입을 가리게 되고
편하게 다물지도 못하셨다는데요.


전치 각도 비교
이제는 당당하게 웃을 수 있다며
더욱 아름다워진 미소를 보여주셨던 기억이 납니다.


치아교정 , 임플란트 를 함께 진행했던
30대 여성 환자분의 케이스였습니다.
여기서 알 수 있는 것은
① 협진은 믿고 맡길 수 있는 곳에서!
② 치료에 있어 나이는 중요하지 않다!
위 두 가지를 꼽을 수 있겠네요.
이와 관련하여 문의할 내용은
댓글 남겨주시면 답변 도와드리겠습니다~
공개 댓글로 남겨주시는 센스!
다들 알고 계시죠 ~?



치료 기간 2022.05.15 ~ 2023.03.12





