가족에게 소개받고 오셨던 분, < 네비게이션 임플란트 1탄>

반갑습니다! 더서울치과 박현준 원장입니다.
"목적지까지 길이 헷갈릴 때
어떤 것에 도움을 받죠!?"
네, 맞습니다. 네비게이션 의 도움을 받는데요.
임플란트 를 심을 때에도 도움을 받을 수 있습니다!
이와 관련하여 수많은 포스팅을 했지만
아직까지 모르는 분들이 꽤 많더라고요.
그래서 오늘은 관련된 임상 케이스를 소개해 드리며
좀 더 자세한 설명을 드릴까 합니다.
『네비게이션 임플란트』

컴퓨터 분석을 이용하여 주변 조직과의 거리,
치조골의 양과 질, 식립 위치 등을 파악합니다.
이후 진단 내용을 토대로 제작된 ‘가이드’를 시용하여
계산된 곳에 픽스처를 심는 것을 말하는데요.

출처 – 구글
제가 그간 소개해 드렸던 임상 케이스를 보면
이렇게 투명한 장치 사진을 간혹가다
보신 적이 있을 겁니다.
바로 이게 ‘가이드’라 불리는 것이죠.
해부학적 요소들을 파악하여
미리 식립 위치를 정해놓았기 때문에
좀 더 신속하고 안전한 과정으로
수술을 진행할 수 있습니다^^
『오래된 브릿지 하방으로 생긴 병소』
“아유 요즘 들어 왼쪽 치아들이 너무 아파요.
계속 참고 지내려고 했는데
남편이 더서울 한 번만 가보라고…
그래서 오게 되었어요~”
남편분의 소개로 내원을 하셨던 분인데요.
알고 보니 이전에 네비게이션 임플란트 를
받고 가셨던 분께서 아내분께
소개를 해주었던 상황이었습니다.
가족에게도 권하는 치과,
이 정도면 믿고 맡길 수 있지 않나요?ㅎㅎ
본론으로 들어가
왼쪽 치아에 통증이 있다던 환자분,
검진을 통해 자세히 알아보기로 했습니다.

보철을 올려두지 않은 곳이 거의 없을 정도로
치료를 많이 받았던 분이었습니다.
평소 구강 건강이 좋지 않음을 알 수 있죠.
우선 왼쪽 어금니 부근을 살펴봤는데요
오래된 보철 씌워져 있는 것 말고는
별다른 문제들은 발견되지 않았습니다.
그러나 파노라마 사진을 통해 알 수 있었죠.
겉으로는 문제가 없던 곳도
안을 살펴보면 그게 아니라는 것을…

오래된 보철 하방으로 나타난 병소가
해당 치아는 물론이며 주변 치조골,
치근까지 괴롭히고 있었습니다.
염증이 군데군데 퍼져있어
치조골 소실은 물론이며
극심한 통증까지 이어지게 된 것이죠.

보철을 탈거하고 살펴봤더니
생각보다 더 심각했습니다..
『박원장의 계획』
좌측 상, 하악 구치부에 나타난 문제들을
어떻게 해결을 할 수 있을까
골똘히 생각해 보았습니다.
일단 살릴 수 있는 치아는
근관치료를 사용하여 감염된 곳을 제거하고
충전재를 사용하여 채워주기로 했습니다.
나머지 치아들이 문제였는데요.
이미 염증이 꽤 깊고 넓게 퍼져있어
더는 제 역할을 하지 못하고 있었습니다.
따라서 네비게이션 임플란트 를 통해
잃어버린 기능과 외관을 살려주기로 계획을 세웠죠.
과연 계획대로 잘 흘러갔을지
함께 살펴볼까요?
『네비게이션 임플란트 과정』





컴퓨터 분석을 통해
식립 위치를 결정하는 과정입니다.
보시다시피 주변 조직들과
치조골의 양과 질, 픽스처의 크기까지
분석하여 최적의 식립로를 결정하죠.
"어? 그럼
원장님은 하는 게
없는 거 아닌가요?ㅎㅎ.."
속으로 이런 생각을 하는 분들이
분명 계실겁니다ㅎㅎ
디지털 방식으로 똑똑하게 분석을 하지만
저의 손을 꼭 거쳐야 됩니다.
컴퓨터 분석으로는 파악할 수 없는 것들이나
환자의 컨디션, 건강 상태 등
세부적인 모든 것들을 확인해야 되죠.
또한 픽스처를 심거나 골이식,
상악동 거상술 등 모든 과정을 진행하는 것은
치과의사의 몫이라 할 수 있습니다.
따라서 풍부한 경험이 있는
숙련된 의료진에게 받는 것이 중요하죠^^
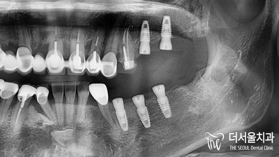
분석된 내용을 바탕으로
정해진 위치에 심어드렸습니다.

염증이 꽤 깊은 곳까지 퍼져 있어서
초기고정력을 얻을 수 있을까 걱정이 되었는데요.
다행히 별다른 문제 없이
제위치에 심어진 것을 확인할 수 있었습니다.
(역시 더서울이죠?)


골융합 및 회복 정도를 확인한 뒤
완성된 보철을 올려드리며
네비게이션 임플란트 의
마무리를 도와드렸습니다.
사실 이분께서는 왼쪽에만
문제가 생긴 것이 아니었습니다.
수술에 대한 두려움 때문에
급한 곳만 먼저 치료를 하기로 했었는데요.
“아프지도 않고
너무 편안하게 받을 수 있었어요.
다른 곳도 진료받고 싶어요~”
생각지도 못했던 말씀에 깜짝 놀랐었죠..
그래서 어떻게 됐느냐!
결국 문제가 있었던 다른 곳까지
네비게이션 임플란트 를 받으셨는데요.
이어지는 스토리는
추후 속편으로 포스팅하겠습니다^^
긴 글 읽어주셔서 감사합니다.



치료 기간 2022.07.13 ~ 2023.11.13



