부분교정 및 임플란트 , 복합 케이스입니다.

반갑습니다. 더서울치과 박현준 원장입니다.

오늘은 좀 일찍 찾아뵙네요.

진료를 시작하기에 앞서,

이렇게 글을 적고 있는 박원장입니다ㅎㅎ

오늘 여러분들께 소개해 드릴 케이스는

부분교정 과 임플란트 를 함께 진행했던

중년 환자분의 치료 과정인데요.

어떤 문제로 두 가지 치료를 함께 하게 되었는지,

과연 원하는 대로 개선이 되었을지

함께 알아보는 시간을 갖도록 하겠습니다.

『어떤 이유로 내원을…』

“선생님, 저 이가 너무 아파요.

전체적으로 검진도 받고 싶고

앞니가 뻐드러진 것도 고칠 수 있는지 궁금하네요.”

지속되는 치통과 앞니 뻗침으로 인해

더서울을 내원해 주셨던 환자분입니다.

자, 우선 상태를 확인해 볼까요?


겉으로 봤을 때에는 큰 문제는 발견되지 않았는데요.

그러나 말씀하신 앞니 뻗침..

무엇을 얘기하신 건지 딱 감이 오더라고요.

그리 심한 상태는 아니었으나

오랜 기간 스트레스를 받았다던 환자분,

요즘 들어 더 심해진 것 같다는 말씀을 해주셨는데요.

이렇게 개인의 습관이 참 중요합니다.

치열이나 교합까지 바꿔놓다니…

일단 말씀하신 외관 문제는 확인이 되었으나

아직까지 치통의 원인을 정확히 찾지 못했는데요.

딱 의심 가는 곳이 있긴 한데

과연 그곳이 맞을지!!!

엑스레이 촬영을 통해 확인해 봤습니다.


네, 역시나 이곳이었네요.

이전에 크라운을 올려놨던 곳에 이차우식이 생겨

병소가 치아 주변에 퍼져 있었습니다.

내부 사정을 알 수가 없으니

그저 아픈가 보다~ 왜 아프지~

이렇게 넘길 수밖에 없었던 것이죠.

이제 어디가 문제인지 정확하게 파악을 했다면

이제 계획을 세워야겠죠?

『더서울의 계획은!?』

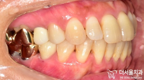
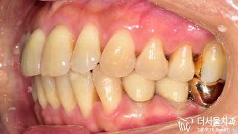
극심한 통증의 원인이 되었던 15번은

발치 후 즉시 식립 임플란트 를 통해

개선하기로 계획을 세웠습니다.

그 옆에 있던 골드 인레이의 상황도 좋지 않았는데요.

이곳은 더 큰 문제가 생겨

임플란트 를 심는 일이 생기지 않도록

튼튼한 크라운을 사용하여

교체를 하기로 했습니다^^

마지막 치열 문제죠!

부분교정 을 통해 전치부만

신속하고 정확하게 치료를 돕기로 했죠!

『임플란트 – 부분교정 의 콜라보레이션』

임플란트 심기로 한 15번을 발치했습니다.

염증 덩어리도 함께 제거된 것을 볼 수 있네요.

이후 디지털 분석을 통해

픽스쳐가 식립 될 위치를 결정한 뒤

본격적인 진료에 들어갔습니다.

이와 동시에 전치부 부분교정 을 진행하여

앞으로 뻗쳐 있던 치아들을

제위치로 바로 잡기로 했죠~


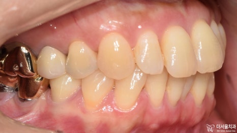
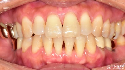
5개월 정도의 시간이 흐르고!

드디어 모든 과정이 마무리되었는데요.


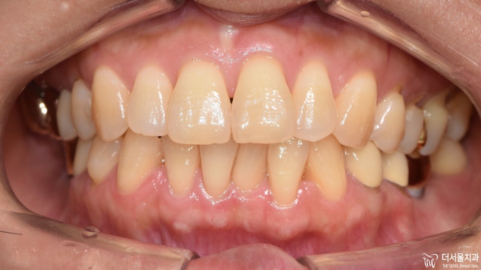
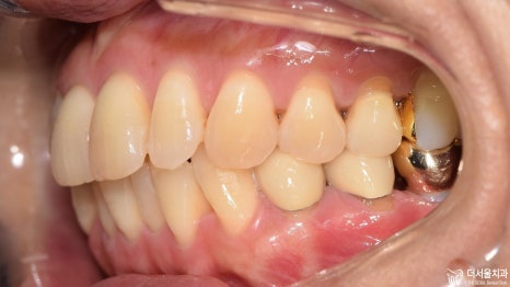
이제 부분교정 결과를 확인해 볼 차례입니다.

전과는 달리 뻗쳐 있던 각도가 개선이 되었는데요.

이렇게 보면 아직 잘 모르시겠죠?

전체적으로 만족스러운 결과를 얻을 수 있었습니다.

누구보다 기뻐하셨던 건 환자분이었는데요.

단 5개월 만에 이렇게 바뀔 수 있다는 게

아직까지 믿기지 않다며

따봉을 남겨주셨던 기억이 납니다ㅎㅎ


이왕이면 실력이 보장되어 있는 곳에서

진료를 받는 것이 좋지 않을까요?

이와 관련하여 문의할 내용은

아래 댓글 남겨주시면 답변 도와드리겠습니다.

다들 월요팅입니다. 감사합니다!

치료 기간 2022.03.18 ~ 2023.01.13

답글 남기기

Your email address will not be published. Required fields are marked *.

*
*
You may use these <abbr title="HyperText Markup Language">HTML</abbr> tags and attributes: <a href="" title=""> <abbr title=""> <acronym title=""> <b> <blockquote cite=""> <cite> <code> <del datetime=""> <em> <i> <q cite=""> <s> <strike> <strong>

Copyright © 2025 더서울치과. All Right Reserved.
031-757-1525BACK TO TOP