싱가포르에서 한국까지, 가이드 임플란트 심으러 오셨던 분!

반갑습니다. 여러분!
더서울치과 박현준 원장입니다.
오늘 여러분들께 소개해 드릴 내용은
네비게이션 방식, 즉 디지털 분석을 이용한
가이드 임플란트 식립 과정인데요.
“놀라운 사실 하나를 알려드릴까요?”
사실 이분께서는 2016년도에
내원해 주셨던 분인데요.
작년이죠, 2022년도에도
또다시 저를 찾아와주셨습니다.
바로 ‘싱가포르’에서 말이죠ㅎㅎ
(그러나, 토종 한국인이십니다^^)

약 6시간이 걸리더라고요.
정말 최선을 다해 진료를 해드려야겠네요!!
더서울은 이분 말고도
해외 곳곳에서 찾아와주시는 분들이 정말 많습니다.
해외에서도 진료를 잘 한다는
소문이 난 건지 의문이 들 정도로요..
자, 오늘 소개해 드릴 환자께서는
어떤 이유로 찾아와주셨던 건지!
함께 확인을 해보겠습니다~
『내원 경로』
“저 오른쪽 어금니가 너무 아파요.
싱가포르 치과에서는 뽑아야 된다고 그러길래
믿을 수 있는 곳에서 진료를 받고 싶어서
큰맘 먹고 한국에 들어왔습니다.”
더서울처럼 아프지 않게 진료를 하는 곳이 없었다며
싱가포르에서 오셨던 환자분,
기대에 부응할 수 있도록!
좋은 결과를 안겨드릴 수 있도록!
저 박원장이 열심히 진단을 해봐야겠네요~ㅎㅎ

통증을 느끼셨던 곳을 살펴보니,
심한 충치와 염증이 나타났으며
그로 인해 치조골 소실이 일어나
제대로 된 고정력을 받지 못하고 있었습니다.

음.. 그로 인해 통증을 심하게 느끼셨을 것 같은데요.
아무래도 더는 살릴 수 없을 거란 판단이 들었습니다.
법랑질, 상아질에만 퍼졌다면
충치치료를 진행하여 해결할 수 있지만
이미 병소 자체가 치수를 넘어 치조골까지
괴롭히고 있었던 상황이었습니다.
『계획』
자, 이럴 때에는 어떻게 개선을 해야 될까요?
▶ 신경치료
▶ 가이드 임플란트
어느 때와 같이 위 두 가지 선택지가 있습니다.
각각의 장, 단점이 존재하기 때문에
환자의 상황에 딱 맞는 방법을 선택해야 되는데요.
더서울에서는 가이드 임플란트 를 사용하여
진료를 돕기로 했습니다.
그 이유는 간단합니다.
확인을 해봤을 때 예후가 별로 좋지 않았죠.
아마 신경치료를 하더라도 얼마 사용하지 못하고
병소가 또다시 감염되는 상황이 벌어졌을 겁니다.
또한 옆에 있는 17번 치아도 이미 상실되어 있었기에
두 곳에 식립을 진행하는 것으로
최종적인 방향을 잡았습니다.
『잊지 않고 확인해야 되는 곳』
여기서 꼭 확인해야 될 게 있습니다.
바로 ‘상악동’인데요.

제가 하도 말해서 이제는 익숙하실겁니다ㅎㅎ
또 상악동이네!!!!!
그렇지만 그만큼 중요하고 신경 써야 된다는 소리죠.
이분의 파노라마를 자세히 살펴보면
이러면 정말 곤란한데 말이죠..
문제는 여기서 끝이 아니었는데요.
약간의 상악동 염증도 함께 발견되었기 때문에
예상했던 것보다 훨씬 더 까다롭고
복잡한 과정이 되겠다는 판단이 들었습니다.
그래도 최선을 다해 진료를 도와드려야겠군요!!
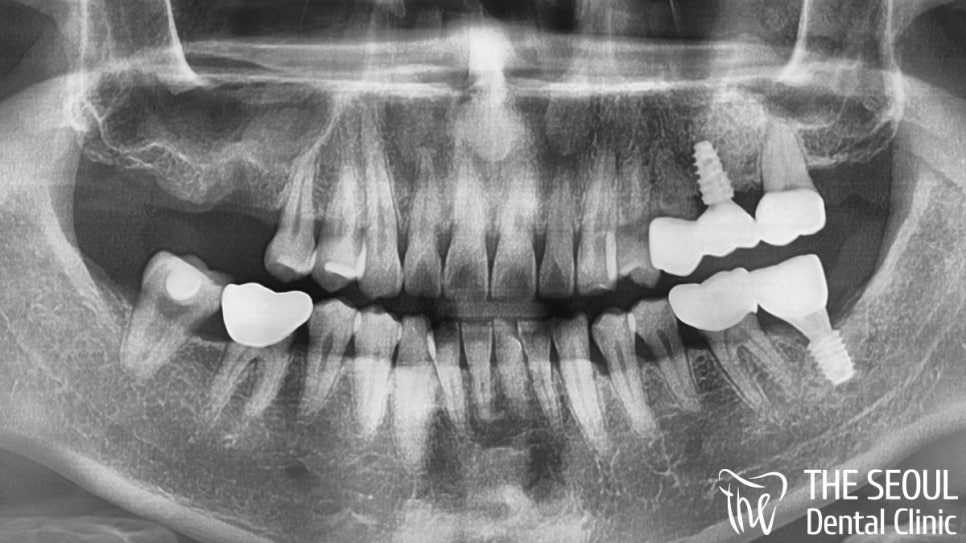
『가이드 임플란트 과정』

병소가 남아있는 어금니를 깨끗하게 발치했습니다.





이후 컴퓨터 분석을 통해
주변 조직과의 위치와 관계를 파악했는데요.
환자의 구강 구조에 딱 맞는
픽스처의 직경과 크기를 걸정하여
수술을 도와드리기로 했습니다.
계산된 위치에 맞춰 미리 제작된 Guide를 사용하여
정해진 곳에 가이드 임플란트 식립을 마쳤습니다!

정말 깔끔하게 자리를 잡고 있는
픽스쳐를 볼 수 있는데요.
이후 골융합과 회복을 확인한 뒤에
최종 보철을 올려드리며
마무리를 도와드리기로 했습니다.
『마무리』
두 곳만 개선이 되었는데도
구강 전체가 건강해진 거 같은 느낌이 듭니다.

환자께서는 가이드 임플란트 를
마무리 한지 얼마 지나지 않았을 때
바로 싱가포르로 돌아가셨는데요.
이후 더서울치과 카톡으로 연락이 왔습니다.

"아주 좋아요!!!!
더서울치과 원장님 최고!!!!!"
정말 뿌듯하더라고요~
한국에 들어오실 때마다
검진을 도와드리기로 약속을 드리며
모든 과정을 마무리할 수 있었습니다.
문의할 내용이 있다면
아래 댓글 남겨주시기 바랍니다~
감사합니다!



치료 기간 2022.04.25 ~ 2022.10.15





