임플란트 교정 순서 , 어떤 것을 먼저 진행해야 되는 걸까?

더서울치과 박현준 원장입니다.
생각보다 임플란트 와 교정 을
동시에 진행해야 되는 경우가 많습니다.
이때 거의 모든 분들이
공통적으로 물어보는 질문이 있는데요.
『임플란트 교정 순서 ,
무엇부터 해야 되나요?』
바로 위 질문입니다.
과연 어떤 순서 대로 해야 될까요?
그간 제 글을 열심히 읽으셨던 분들은
어떤 걸 먼저 해야 되는지 딱! 느낌이 오실 겁니다.
바로 ‘ 교정 ‘을 먼저 해야 되죠ㅎㅎ
임플란트 는 심고 나면 뼈(치조골)에 붙기 때문에
이동이 불가하게 됩니다.
따라서 교정 을 통해 식립 공간 확보와
치아 배열을 마친 뒤에 임플란트 를 하는 것이
올바른 순서 라고 할 수 있습니다.
모든 수술 과정이 끝나고 뼈에 붙는 3-4개월 동안
배열 마무리 순서 를 통해 과정이 끝나게 되는데요.
이렇게 글로 들으면 잘 이해가 가지 않을 수 있기에
이와 관련된 진료 과정을 준비했습니다.
함께 보실까요~?
『초진』

툭 튀어나온듯한 입매와 다수의 치아 상실,
이 두 가지 문제가 관찰되었습니다.


이외에도 벌어진 앞니를 비롯하여
여기저기 상태가 좋지 않은 치아들이
구강 곳곳에 자리를 잡고 있었는데요.
앞니를 비롯하여 치료를 받았던 치아들이
꽤 많이 있는 것을 알 수 있었습니다.


오래전부터 치열이 마음에 들지 않으셨고
관리를 소홀히 하여 상태가 좋지 않음을
이미 알고 계셨던 분이었는데요.
비용과 시간, 여러 면에서 치료를 망설이다가
더 늦기 전에 진료를 받아야겠다는 생각에
저희 더서울을 내원해 주셨던 분입니다.

파노라마로 확인했을 때에도
여기저기 남아있는 잔존 치근을 확인할 수 있었으며
측면 세팔로 사진에서는 툭 튀어나오고
뻐드러진 앞니 때문에 입을 다무는 것이
쉽지 않아 보였습니다.

『계획』
평소 삐뚤고 뻗친 이가 신경 쓰였다던 환자분,
더서울에서는 교정 -> 임플란트 순서 로
개선을 돕기로 계획을 세웠습니다.
이때 앞니의 문제는 재보철을 통해
각도 및 형태를 바로잡아주기로 하였죠.
구강 내에 남아있던 잔존 치근을
깨끗하게 발치하여 없애기로 하였으며
치아 상실이 나타난 모든 곳에
디지털 식립을 이용하여 수술을 하기로 했습니다.
아래는 인비절라인 클린체크를 사용하여
변화 후의 모습을 미리 예측한 것입니다.
치료를 시작하기 전,
내가 어떤 모습으로 변하고
얼마나 걸릴지 예측할 수 있습니다.





『과정』
인비절라인을 통해 치열 정돈을 마친 후
본격적인 임플란트 식립을 준비했습니다.


컴퓨터 분석을 사용하여
주변 조직과의 위치, 인접치, 대합치 등을 확인하고
계산된 위치에 식립을 도와드렸는데요.
이때 정말 신중하고 꼼꼼한 과정을 필요로 합니다
한번 심어진 것은 재수술을 통해 빼내지 않는 이상
이동이 불가하기 때문에 계산을 잘해야 되죠.
혹시 이상한 위치에 심어지진 않을까
걱정이 될 수 있는데요.
뭐 저는 이런 케이스는 하도 많이 접해봐서



식립을 마치고 골융합이 이루어질 동안
교합이나 컨택 등 세밀한 곳까지
조정하는 순서 로 진행되었습니다.
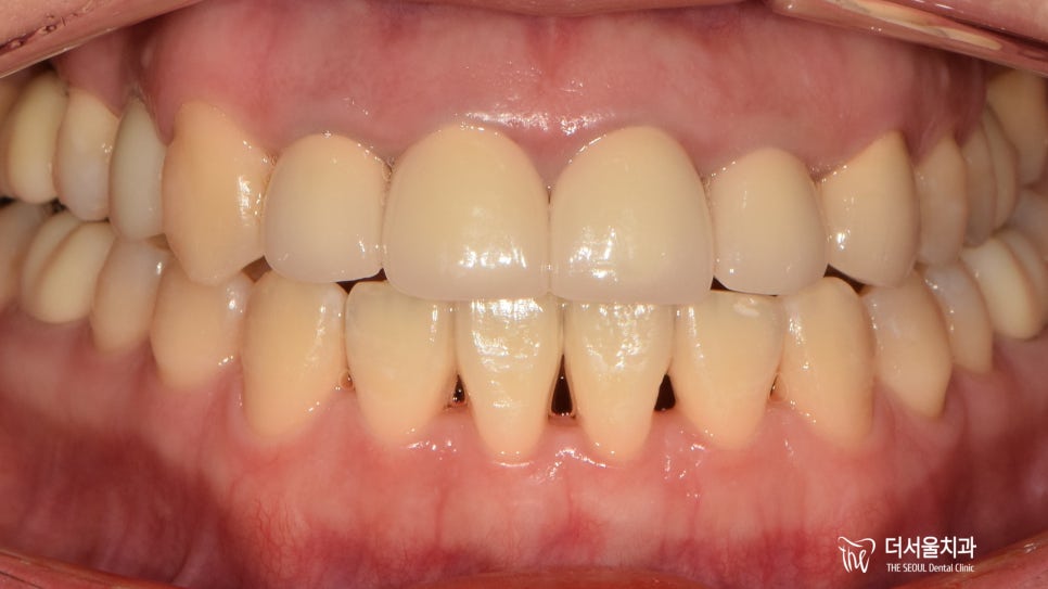
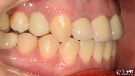
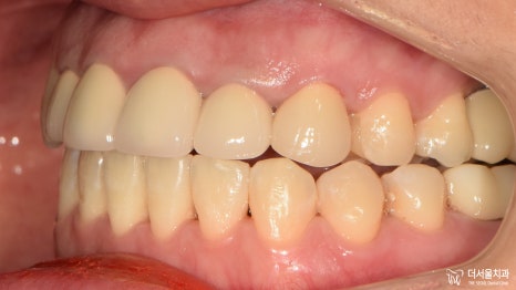
『마무리』
항상 떨리는 그 시간이 돌아왔습니다.
아 참, 이분께서는 중간에 임신을 하셔서
교정 을 조금 급하게 마무리 한 느낌이 있었는데요.
과연 어떤 모습으로 바뀌었을지..ㅎㅎ





이전과는 달리 딱 봐도 고른 치열이 눈에 띕니다.
가지런한 치아와 상실된 기능 회복으로
만족, 대만족을 하셨던 환자분^__^
중간에 아기 천사가 찾아와서 걱정이 되었지만
별다른 문제 없이 순서 대로 개선이 되었습니다.
교정 과 임플란트 ,
둘의 합(合) 정말 놀랍지 않나요?ㅎㅎ
출산 이후 세밀한 부분들은
다시 확인해 드리기로 했습니다.


지금까지 20대 여성 교정 과 임플란트 ,
약 1년 반의 여정이었습니다.
개인의 상태에 따라 세부 계획은 달라질 수 있지만
순서 는 변하지 않습니다.
이와 관련하여 문의할 내용은
아래 댓글이나 더서울로 연락 남겨주시면
답변 도와드리도록 하겠습니다.
감사합니다.



치료 기간 2021.01.23 ~ 2023.01.06






