어? 또다시 더서울을 내원해 주셨네요? < 네비게이션 임플란트 2탄>

저는 한번 본 사람은 잘 까먹지 않습니다.
그래서 저에게 진료받았던 환자분들도
한 분 한 분 잘 기억할 수 있죠ㅎㅎ
어느 때와 같이 진료를 하고 있던 중!
더서울을 오셨던 분이 있었습니다.
"어? 또다시 오셨네요?"
그때 저도 모르게 이런 말이 나오더라고요.
얼마 전, 가족에게 소개를 받고
네비게이션 임플란트 를 심었던 분!
기억나실까요?
이분께서 다시 찾아와주셨는데요.
도대체 어떤 일로 내원을 하신 건지,
혹시 전에 받았던 보철에 문제가 생긴 건 아닌지,
잠깐 사이에도 한 100개의 물음표가 생겼었죠.
자, 이분의 스토리를 함께 보며
좀 더 자세한 이야기를 나눠보겠습니다.
『이번엔 어떤 일로..?』
지난번에 다른 곳도 진료를 받고 싶다던
말씀을 남겨주시긴 했으나..
이렇게 바로 찾아와주실 줄은 몰랐습니다.
다행히 더서울의 진료가 마음에 쏙 드셨나 봐요~
이번엔 어떤 일로 오셨던 건지 여쭤봤는데요.
요즘 들어 ‘오른쪽 오래된 브릿지’ 주변이
계속 말썽이라며 말씀을 해주셨습니다.
네, 제가 지난번에도 이곳이 불안하다고
말씀을 드렸던 적이 있었는데요.
바로 그곳이 맞았습니다.

구강 내를 살펴보면 오래된 브릿지가
어금니 부근으로 자리를 잡고 있었는데요.
정밀검사를 하기 전에도 알 수 있었습니다.
바로 ‘이차우식’이 생겨 통증이 생겼다는걸요..
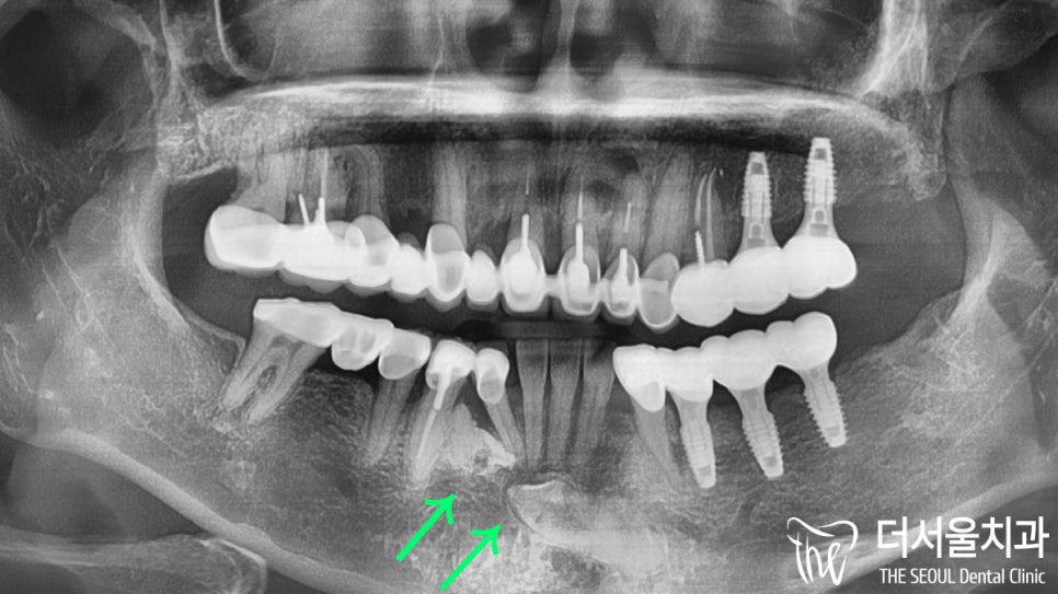
파노라마로 좀 더 자세히 살펴볼까요?

주변 치조골이 다른 곳에 비해
약간씩 오목하게 들어가 있는 것을 확인할 수 있죠.
염증이 진행되어 잇몸, 그리고 잇몸뼈까지
악화시킨 것으로 판단이 됩니다.

문제는.. 이게 다가 아니었습니다.
바로 # 43 하방의 과잉치였는데요.
사실 예전에 치료받았던 곳에서
이 과잉치 때문에 인공치아를 심을 수 없다면서
브릿지로 진행을 하셨다네요.
흠.. 그렇지만 이제는 자연치가 더는
버틸 수 없을 거란 생각이 들었습니다.
『과잉치, 그것이 문제로다.』
자연치의 상태가 좋지 않았기 때문에
더는 살릴 수 없을 거란 판단이 들었는데요.
이때 할 수 있는 방법으로는
네비게이션 임플란트 와 틀니, 2가지가 있습니다.
틀니를 하자니 젊은 나이라 걱정이 되었으며
네비게이션 임플란트 를 하자니
과잉치가 걱정이 되었죠.
고민의 고민을 거친 끝에
과잉치 제거 후 골이식을 동반한
네비게이션 임플란트 및 신경치료 를 계획했습니다.
여기서 잠깐,
"과잉치가 그렇게 위험한 건가요?"
이런 생각을 갖고 있는 분들이 계실 텐데요.

네, 정말 위험합니다.
이곳을 제때 발치하지 않으면
영구치 맹출에 영향을 끼쳐
추후 부정교합의 원인이 될 수 있으며,
뽑지 않고 내버려 둘 경우에는
주변 치아들의 치근을 흡수하여
염증이나 낭종이 생길 수 있죠.
발치를 할 때도 그냥 뽑히는 것이 아닙니다.

출처 – 구글
우리의 치아 주변에는
수없이도 많은 혈관과 신경들이 지나다닙니다.
만약 이곳을 건들게 되면
걷잡을 수 없는 부작용이 생길 수 있기 때문에
정말 주의 깊은 수술을 필요로 하죠.
그럼에도 불구하고 더서울은!
이곳을 뽑기로 결정한 겁니다!
『네비게이션 임플란트 및 신경치료』
자연치를 더 이상 살릴 수 없었던 곳은
네비게이션 임플란트 를 통해
안전하고 신속하게 과정을 마무리했습니다.
이와 더불어 신경치료도 함께 진행했는데요.



뿌리 끝까지 확실하게 채워져야
더 오래오래 건강하게 사용하실 수 있기에!
고도의 집중력을 발휘하여 밀폐를 시켰죠ㅎㅎ
자, 이제 문제가 되었던 과잉치를 살펴봐야겠죠?



발치한 곳은 골소실이 심했기 때문에
다량의 뼈이식을 진행했습니다.
이후 골융합 정도를 살펴보고 나서
네비게이션 임플란트 를 도와드리기로 했죠.

몇 개월이 지나고,
모든 과정이 마무리되었는데요.
과연 구강 내부는 어떤 모습으로 바뀌었을지,
함께 확인을 해볼까요?

이전과는 달리 말썽을 부리던
기존 보철은 사라지고,
자연치 형태, 색조와 비슷한 지르코니아가
구강 내를 채우고 있었습니다.
다시 건강한 치아를 갖게 되었던 환자분,
요즘에는 못 먹는 음식이 없어서
식사도 잘 하고 계신다는데요.
더서울에서의 치료가 끝난지 얼마 지나지 않았는데,
체중이 벌써 느셨다던..^^
더서울에서는 꾸준한 검진을 통해
오래오래 사용하실 수 있도록
사후관리를 도와드리기로 했습니다.
과잉치, 신경치료, 네비게이션 임플란트 ..
정말 까다로운 과정이 다 포함되어 있는 케이스였죠.
그렇지만 더서울은 이마저도 별다른 문제 없이
안전하게, 정확하게, 신속하게 개선을 도왔다는 점!
치료의 결과를 좌우하는 것이 2가지 있습니다.
바로 환자의 협조도와 의료진의 실력입니다!!
무슨 말인지 다들 아시겠죠~?
저는 이만 글 줄이겠습니다.
더서울의 박현준 원장이었습니다.
감사합니다.



치료 기간 2021.06.16 ~ 2021.12.24





