이갈이 , 토끼 이빨 둘 다 심한데 ‘ 인비절라인 ‘으로 교정되나요?

반갑습니다, 여러분!
더서울치과 박현준 원장입니다
비가 추적추적 내리고 있습니다.
박원장은 오늘도 어김없이
진료 준비를 하며 이렇게 글을 쓰고 있죠ㅎㅎ
오늘 소개해 드릴 케이스는
장난꾸러기 초등학생의 인비절라인 과정입니다ㅎㅎ
어쩌나 귀엽고 잘생겼던지..
과연 어떤 문제를 갖고 더 서울을 내원한걸까요?
하나씩 살펴보며 좀 더 자세한 내용을
설명드리도록 하겠습니다.
『선생님, 저희 아이가 사실..』
보호자께서 저에게 말씀해 주셨던 내용입니다.
“선생님, 저희 아이가 사실 이를 엄청 갈아요.
토끼 이빨도 함께 가지고 있어서 혹시나 싶어
인터넷 찾아보니깐 교정이 도움이 될 수 있다 해서..
그래서 여기저기 찾아보다가
지인이 소개를 해줘서 오게 되었어요.”
음 그러셨군요.
"이갈이 를 하는데 치과를 왜?"
라며 생각하는 분들이 계실 텐데요.
사실 수많은 원인 중 하나에
올바르지 못한 치아 교합도 포함됩니다.
즉, 부정교합이나 삐뚠 치열을 갖고 있는 경우
이를 갈 확률이 높아진다는 뜻이죠.
지금 현재 상태를 파악해 보니
토끼 이빨을 갖고 있어서 교정을 하고 싶은데
이갈이 까지 함께 개선을 하고 싶다!
이 말씀이신거 같은데요.
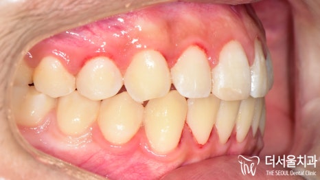
우선 현재 상태를 확인해 보기로 했습니다.
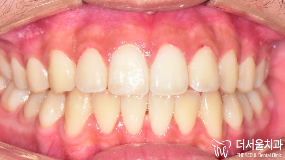
『검진 및 계획』
이와 더불어 톡 튀어나와 있는
토끼 이빨이 관찰되고 있는데요.




측면 세팔로 사진에서 볼 수 있듯이
돌출감이 꽤 느껴지고 있었습니다.

자, 이럴 때에는 어떤 방법으로
치료를 돕는 것이 좋을지 함께 얘기해 볼까요?
결론부터 말씀드리자면,
인비절라인 을 통해 개선하는 것이
제일 BEST!입니다.
이갈이 습관을 갖고 있었기 때문에
이를 함께 보호할 수 있는 장치가 필요했는데요.
만약 이때 브라켓과 와이어를 사용하게 된다면
이가 다 갈려서 남아나는 게 없게 되죠..
인비절라인 은 이갈이 를 보호해 주며
토끼 이빨, 벌어진 치열을 모두 개선할 수 있기에
이분에게 딱 적합한 방법이란 생각이 들었죠.
따라서 더 서울에서는 인비절라인 을 사용하여
3가지 문제를 해결하기로 했습니다.
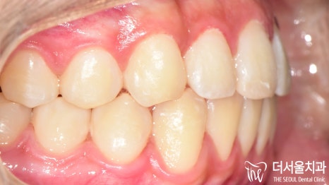
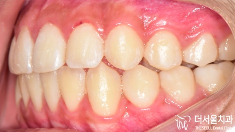
『진행 과정』
분석을 마치고 미국 본사에서 제작된
장치를 통해 교정을 시작했습니다.





어.. 그런데 이게 무슨 일일까요..
얼마나 이를 갈면..
매번 올 때마다 장치가 부러져서 옵니다ㅜㅜ




철사를 교정을 했으면 큰일이 났을 수도 있었겠다..
라는 생각이 머릿속을 스쳐가더라고요.
역시 미래까지 보는 박원장ㅋㅋ👍
그래도 다행인 것은 환자의 협조가 중요한 장치인데
착용과 관리를 잘 해주신 덕분에
비교적 빠르게 이동을 할 수 있었습니다.
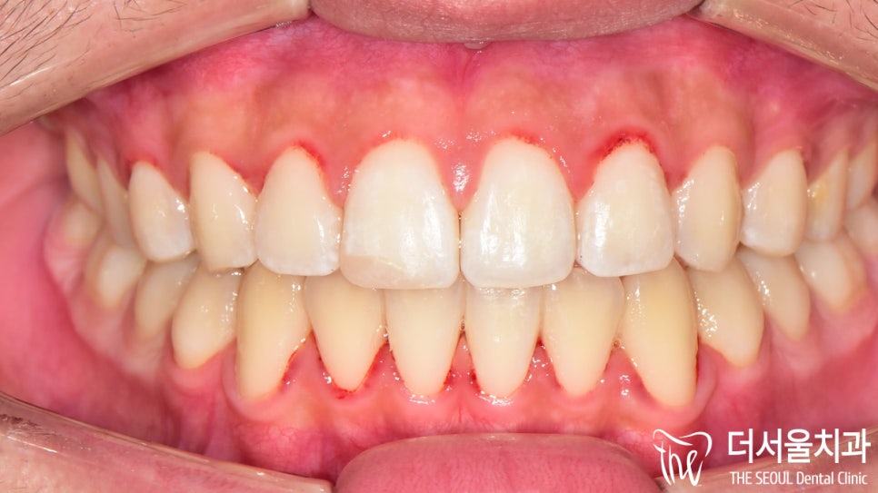
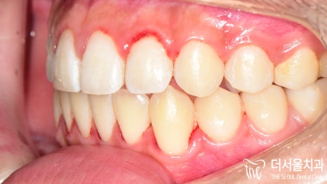
『결과』

전과는 달리 벌어졌던 이 사이도
긴밀하게 붙어 있는 것이 확인되었으며
툭 튀어나와 있던 돌출입도 개선이 되었습니다.


인비절라인 을 사용한 덕인지
이갈이 가 심한데도 불구하고
구강 내 상처나 치아 마모 등이 나타나지 않았네요.


아예 증상이 사라진 것은 아니지만
전보다 확실히 편해졌다던 말씀을 하셨는데요.
더 서울에서는 여기서 끝이 아니라,
주기적인 검진을 통해
앞으로의 구강 건강까지 관리해 드리기로 했답니다.


올바른 계획을 세웠기 때문에
이렇게 좋은 결과로 이어질 수 있었는데요.
치료의 종류에 상관없이
개인의 생활 습관, 구강 구조, 치아 상태 등을
면밀하게 파악하여 계획을 세우는 것이
의료진의 몫이 아닐까란 생각이 듭니다^^
오늘 케이스를 보며 알 수 있듯이
이렇게 이갈이 나 다른 문제들을 동반한 경우
일반 와이어 교정보다는 인비절라인이
더! 적합할 수 있습니다.
이와 관련하여 문의할 내용은
아래 댓글이나 더서울로 연락 남겨주시면
답변 도와드리도록 하겠습니다ㅎㅎ
오후 되면 비가 멈춘다고 하네요.
가족들과 친구들과
행복한 주말 보내시길 바랍니다.
감사합니다.



치료 기간 2022.06.01 ~ 2023.10.16








