‘이가 거뭇거뭇 해요!’ 레진을 사용한 앞니 충치치료 및 치경부마모증 수복 과정

『코로나 19 엔데믹
(endemic, 일상적 유행)』
우리나라에 코로나가 첫 발생한 날짜가
2020년 01월 입니다.
벌써 2023년 5월 중순이니
3년이 넘는 시간이 흘렀네요.
06월부터는 의원 및 약국 마스크도
전면 권고로 전환이 됩니다.
즉, 더서울을 내원하는 분들도
이제 마스크를 끼지 않아도 된다는 뜻이죠.
이런 사회적 이슈에 맞춰
치과에도 여러 변화가 나타나고 있습니다.
그 중 하나가 전치부 진료가 늘어났다는건데요.
마스크로 가려져 있던 치아가 훤히 드러나게 되니
그동안 미뤄왔던 진료를 차근차근
시작하는 분들이 많은 것 같습니다.
오늘 더서울에서 소개해드릴 케이스도
위 내용과 관련된 진료 과정인데요.
이제 마스크를 벗어야 되는데
치아 사이사이가 거뭇하다며
앞니 충치치료 를 위해
내원 하셨던 분입니다.
함께 살펴볼까요?
『앞니 충치치료 받고 싶어서 왔어요.』
평소에는 크게 신경쓰이지 않았지만
막상 마스크를 벗을 날이 코앞으로 다가오니
거울을 볼 때마다, 사람들과 대화를 할 때마다
계속해서 신경이 쓰이였다던 환자 분.
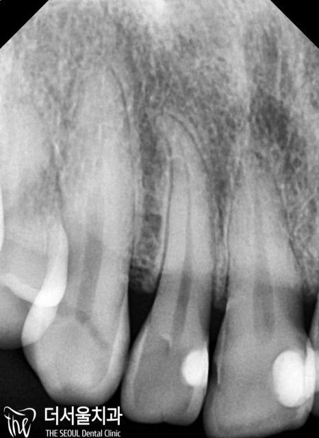
군데군데 거뭇하게 보이는 우식이 관찰되었는데요.
그러나 문제는 여기서 끝이 아니였죠..
치경부 마모가 나타나 있었기 때문에
이시림도 동반되고 있었습니다.

제가 전에 이와 관련되어 글을 적었던 적이 있는데요.
한번 읽어보시면 많은 도움이 되실겁니다^^
여기서 문제가 되는 것은
썩은 곳들의 위치 입니다.
치아 사이에 나타나 있던 우식!!!!


인접면에 나타난 우식은
겉으로 봤을 때 티가 잘 나지 않기 때문에
조기에 발견하는 것이 쉽지 않습니다.
미리 예방을 하는 것이 좋은 방법인데요.
『여러분들께서는 평소 칫솔질을 하실 때
구강 보조용품을 사용하고 계신가요?』
괜히 치실과 치간칫솔을 사용하라는게 아닙니다ㅎㅎ
귀찮고 번거로운거 다 이해합니다.
저도 사람인지라 가끔은 이렇게 관리하는게
귀찮긴 하더라고요~
그래도 하는 것과 안하는 것의 차이가 정말 큽니다.
이 사이에 끼인 음식 찌꺼기들이
깨끗하게 제거 되는 것을 보면
아 이런 느낌이구나 딱 아실거란 생각이 듭니다.
거짓 없이, 위 방법으로만 관리를 해주시면
인접면 우식이 생길 확률이
거의 없을겁니다~
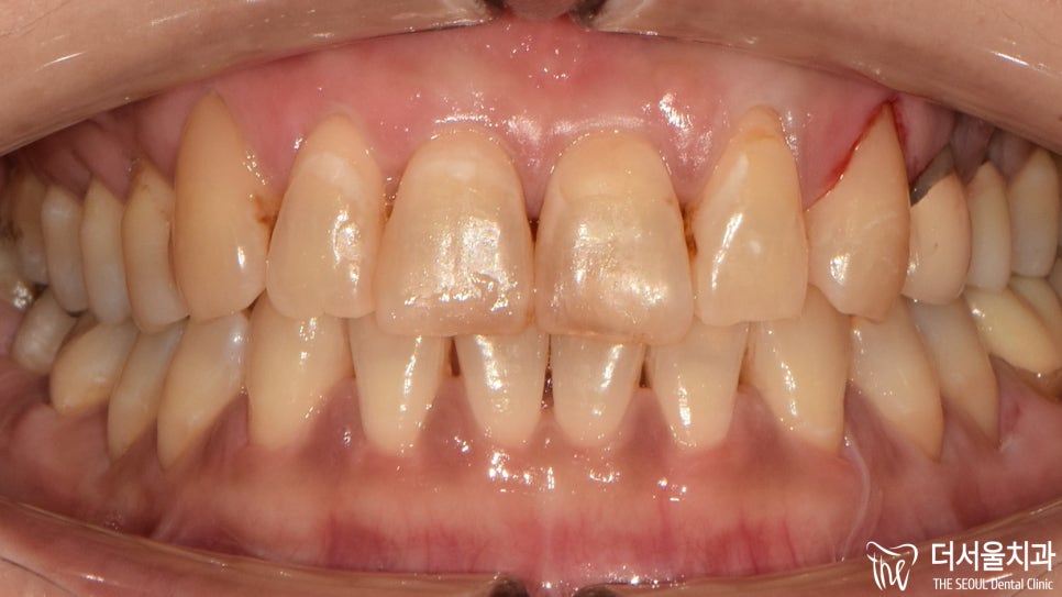
『레진을 사용한
앞니 충치치료 및 치경부 마모증 개선』
더서울에서는 ‘레진’이라는 재료를 사용하여
앞니 충치치료 및 치경부 마모증을
깔~끔하게 메꿔주기로 했습니다.
레진은 심미성이 좋고
비교적 간단한 과정으로 수복을 할 수 있기에
많은 분들이 선호하고 있는 재료 중 하나인데요.
특히나 비용이 저렴한 편이고
당일 수복이 가능하죠.
그러나 술자의 숙련도, 기술에 따라
결과가 좌우될 수 있는 문제임으로
이왕이면 실력이 보장된 곳에서
진료를 받는 것이 좋겠죠?^^
더서울에서 앞니 충치치료 과정을 끝낸 모습입니다.
약간의 출혈이 나타난 곳은
스케일링을 진행했기 때문에 생긴건데요.

치석이 붙어 있는 곳이 떨어져나가면서
소량의 출혈이 발생한 것입니다.
자연스레 회복되니 걱정하지 않으셔도 됩니다^^
검게 썩어있던 곳들이 말끔하게 채워져
좀 더 심미적인 외관을 갖게 되었습니다.

치경부는 접착이 제대로 되지 않는 곳 중 하나라
유독 더 꼼꼼하게 살펴봐야 되는데요.
사용을 하다 떨어지지 않도록
몇차례의 확인을 거쳐 마무리를 도와드렸습니다.
구강 질환이 생기지 않게
미리 예방하는 것이 제일 좋은 방법이지만
그러지 못한 경우에는 최대한 빠르게 내원하여
그에 맞는 적절한 진료를 받는 것이 좋습니다.
이분께서는 마스크를 벗어야 되니깐
급하게 앞니 충치치료 를 받으러 오셨던건데요.
다행히 심하게 진행되지 않았기에
레진으로 개선이 가능했지만,
만약 병소가 더 퍼져있었다면
치질 삭제 후 보철을 올릴 수 밖에 없죠.
겁을 주려고 말하는 것이 아닙니다.
이게 팩트라서 이렇게 설명을 드리는거죠~
더 좋은 증례로 찾아오겠습니다.
이상, 더서울치과 박현준 원장이었습니다.


치료기간: 2023.01.15~2023.01.15


