삐뚤어진 앞니 (치아총생_crowding) , 인비절라인 교정 증례

반갑습니다, 여러분!
더서울치과 박현준 원장입니다.
6월이 점점 코 앞으로 다가오고 있습니다.
마스크가 해제 됨에 따라
치아 교정이나 라미네이트 등
심미치료를 받으러 오는 분들이 많은데요.
그 중에서도 인비절라인 은
눈에 띄지 않는 교정을 할 수 있기에
많이들 선호하고 있는 장치 중 하나죠ㅎㅎ
마스크를 벗기 전에는
브라켓이나 와이어 교정을 진행해도
티가 나지 않았기 때문에
별다른 문제가 되지 않았지만..
마스크를 벗고 다니면
와이어, 브라켓이 부담이 될 수 밖에 없습니다.
오늘 더서울에서 소개해드릴 내용도
눈에 띄는 교정장치가 부담스럽다며
인비절라인 을 원하셨던 환자인데요.
과연 어떤 문제를 갖고 있었던건지!
하나씩 살펴보며 설명을 드리겠습니다.



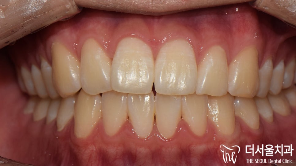
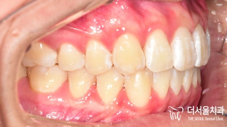
구강 내에 큰 문제는 없었는데요.
살짝 삐뚤어진 치열들이 눈에 띕니다.
『어? 이정도는 괜찮지 않나..?』
교정을 안해도 될거 같은데?’
생각을 하는 분들이 계실텐데요.
사실 심하지 않은 것은 맞습니다.
그러나 환자께서는 오래 전부터 너무 거슬려서
기회가 된다면 교정 받고 싶었다는데요.


여기서 알 수 있듯이,
개인의 치열이나 교합 등은
스스로 느끼는 불편함이 제일 중요합니다.
남들이 봤을 때 괜찮다해도
거울을 볼 때마다 계속 신경쓰이고
거슬리고 눈에 밟힌다면..
그로인한 스트레스는 겪어보지 않는 한
알 수 있는 방법이 없을 겁니다.
자, 이분께서는 인비절라인 을 사용하여
치열 정돈을 원하셨기에
더서울에서는 이에 맞춰 정밀 검진을 진행했습니다.


인비절라인 클린체크 과정입니다.
각각 왼쪽에 있는 악궁이 현재 환자의 상태이고
오른쪽은 교정이 완료 된 후의 모습을 예측한 것인데요.
조금씩 삐뚤어져 있는 곳을 고르게 피고
악궁의 형태를 좀 더 U자로 만들어주기로 했습니다.
예상 기간은 약 1년 정도를 잡았으며
본격적으로 인비절라인 과정을 진행했습니다.





인비절라인 을 진행 중인 모습입니다.
어태치먼트를 부착하였습니다.
치아 표면을 살펴보면
뾰족하게 튀어나와 있는 것을 볼 수 있는데요.
이곳은 투명장치와 맞물려서
고른 치열로 이끄는 역할을 합니다.
인비절라인 은 와이어와는 달리
하나씩 개별로 움직이는 것이 쉽지 않아서
어태치먼트의 도움을 받아야 되죠.
위 링크를 참고하시면
좀 더 이해가 쉬우실겁니다.
제가 친절하게 적어놨거든요^^
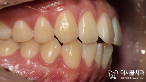
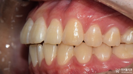
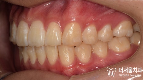
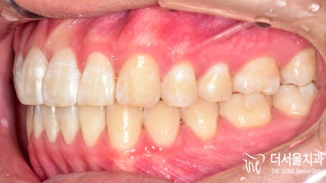
1년 정도에 가까운 시간이 흐르고
모든 과정이 마무리 되었습니다.
세밀한 부분까지 조정을 끝낸 모습인데요.
정중선은 물론이며 약간 삐뚤었던 앞니들도
제위치를 찾아갔습니다.





악궁 또한 전보다 더 U자 형태를 갖게 되었네요.
환자께서도 바뀐 모습을 보며
너무나 만족해하셨던 기억이 납니다^^
우리의 치아는 전처럼 돌아가려는
회귀현상을 갖고 있는데요.
『교정을 끝마쳤는데..
전처럼 돌아가면 안되겠죠?』
(생각만 해도 속상하고 마음이 아프네요.)
이런 현상을 방지하기 위해
고정식 유지장치를 설측에 부착하여
마무리를 도와드렸습니다.
남들이 보기에는 별로 심한 문제가 아닌거 같아도
스스로 느끼기에 콤플렉스가 된다면
최대한 빠른 시일 내에 개선하는 것이
좋은 방법이라 할 수 있습니다.
"어짜피 계속해서 신경 쓰일거
하루라도 빠르게 고치는 것이 좋겠죠ㅎㅎ?"
가지런하고 고른 치아를 위해
인비절라인 상담을 받아보는 것은 어떠실까요?
이와 관련하여 문의할 내용은
아래 댓글 남겨주시기 바랍니다.
감사합니다.


치료기간:2022.04.12~2023.04.25



