교정 전, 충치치료 방법 및 순서에 대해 알아봅시다.

반갑습니다, 여러분~
더서울치과 박현준 원장입니다.
치아에 썩은 곳이 많거나
빠져버린 곳이 많은 분들은
어디서부터 손을 대야 될지 몰라
고민을 하는 경우가 많습니다.
제 주변만 둘러봐도
충치치료 방법 및 순서에 대해서
걱정과 고민을 하고 계신데요.
그중에서도 교정을 앞둔 분들이
어떤 것을 먼저 해야 될지
헷갈려 하는 분들이 꽤 많더라고요.
오늘은 교정 전, 충치치료 방법 및 순서에 대해
박원장이 하나씩 설명을 드리겠습니다.
함께 보실까요?
『교정 전, 충치치료 방법』
우선 순서에 대해 먼저 얘기를 해볼까요?
결론부터 말씀드리자면
썩어있는 곳을 제거한 뒤에
장치를 부착하는 것이 맞습니다.
만약 치열 개선을 위한 장치를 부착한 뒤
썩어있는 곳을 제거하게 되면
교정에 소요되는 시간이 늘어나게 되죠.
『그렇다면 충치치료 방법 은
어떻게 될까요?』
이전과 동일하게 진행됩니다.
크게 달라지는 것이 없는데요.
그러나 하나 알고 계셔야 될 것이 있습니다.
장치를 부착하기 전 검진을 할 때
작은 우식이라도 꼼꼼히 살펴봐야 됩니다.
치열 개선을 진행하는 중에
더 심해질 확률이 있는 곳들은
미리 진료를 통해 개선하는 것이 좋은 방법이죠.
자, 실제 환자의 진료 과정을 살펴보며
좀 더 자세한 내용을 설명드리겠습니다.
『진료를 미뤄왔던 이유는?』
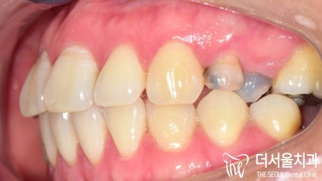
상, 하악 초진 사진입니다.


한눈에 봐도 썩은 곳들이 많네요.
그중에서는 더는 자연치를 살릴 수 없을 정도로
심각한 상태인 치아들이 많았는데요.
어떻게 이런 상황이 될 때까지 참으셨던 걸까..
환자와의 대화를 통해
진료를 미뤄왔던 이유를 알아보았습니다.
“왜 이제껏 진료를 받지 않으셨나요?”
“받아야지 받아야지 마음은 있었는데
살다 보니 일이 너무 바빠서
좀 힘들더라고요^^;;
그런데 이제는 생활하는 게
너무 불편해져서 진료를
받아야겠다는 마음이 들었어요.”
바쁜 생활 때문에
꼭 필요한 진료도 놓치는 경우가 많습니다.
꼭 한 가지 말씀드리고 싶은 것이 있는데요.
뭐.. 여러분들께서도 미루고 싶어 미룬 것은 아니겠지만,
최대한 미루지 않고 제때 받는 것이 좋습니다.
사실 자연치를 잃기 전까지는
소중함을 별로 깨닫지 못합니다.
나중에 잃고 나서야 아, 관리를 잘할걸..
검진 좀 자주 받으러 갈걸..
이런 후회들을 하게 되는 것이죠.
제 마음, 다들 아시겠죠?ㅎㅎ
본론으로 돌아가,
본격적인 치료 계획을 세워야겠습니다.



위 사진에서 볼 수 있듯이
약간 뻐드러진 치아 배열과 우식,

그리고 제위치에서 벗어난 소구치 때문에
여러 고민이 많으셨던 분인데요.
이분께서는 교정과 우식 제거를
동시에 원하고 계셨던 상태였습니다.
따라서 더 서울에서는 충치치료 먼저 진행한 뒤,
치열 개선을 시작하는 방법으로 돕기로 했는데요.
과연, 어떤 결과를 얻게 되었을지!! 함께 보시죠!
『시간을 허투루 쓰지 않는
더 서울의 진료 과정』

초진 파노라마
일단 이분은 치아가 많이 썩어서
살릴 수 없는 곳들은 발치를 진행하였습니다.
이곳들은 추후 임플란트 식립을 통해
빈 곳을 메꿔주기로 했죠.
다행히 살릴 수 있는 곳들도 있었는데요.
그러나 이곳도 꽤 많은 부분이
감염이 되어 있는 상황이었습니다.
이곳들은 신경치료 및 포스트를 진행하여
살릴 수 있을 때까지 자연치를 살려보기로 했습니다.
위 내용을 환자께 충분히 설명을 드린 뒤
본격적인 과정으로 들어갔습니다.
우선 잔존조직이 남아있지 않도록
깨끗하게 발치를 하였으며,
살릴 수 있는 곳들은 근관치료를 했습니다.




어느 정도 썩어있는 치아들이 모두 개선될 때쯤!
더서울에서는 아래와 같은 계획을 세웠습니다.





『왜 이렇게 서둘러서 하냐고요?』
시간을 허투루 쓰지 않기 위해서입니다.
최대한 필요한 진료로,
실속 있게, 정확하게!
이게 박 원장의 지향하는 바입니다.

장치를 부착하여 견인을 하고 있는 모습입니다.
이후 치열 정돈 및 교합, 컨택 등을 맞춰가며
클린체크에서 확인했던 모습처럼
개선을 도와드릴 예정입니다 🙂
벌써부터 어떤 모습으로 바뀔지
기대가 참 많이 되는 분인데요.
검게 물들었던 우식도 사라지고
치열도 고르게 배열되면..
아마 제가 못 알아볼 수도 있겠는데요?ㅎㅎ
추후 기회가 된다면
이분의 스토리를 속편으로 포스팅하겠습니다.
충치치료 및 교정 복합 케이스,
잘 보셨나요?
더서울에서는 분과별 수준 높은 협진으로
치과를 옮기지 않고 여러 진료를
한곳에서 받으실 수 있습니다.
위 내용과 관련하여 문의할 내용은
댓글 남겨주시기 바랍니다.
이상 박현준 원장이었습니다!



치료기간:2022.01.14~2023.02.15



