임플란트 잘하는치과 소개 받고 내원하셨던 분, 10년 지난 보철까지 교체 완료!

반갑습니다,
박현준 원장 인사드립니다.
보철마다 수명이 다르긴 하지만
인레이, 브릿지의 경우 5년이내,
implant의 경우는
몇년에서 반영구적까지 달라지게 됩니다.
"수명을 결정하는 요인에는
어떤 것들이 있을까요?"
제일 중요한 것은 ‘스스로의 유지관리’ 입니다.
개인이 얼마나 꼼꼼하게, 청결하게
관리하느냐에 따라 오래 사용할 수 있죠.
개인적인 견해지만,
그다음으로는 수술을 어떤 곳에서
누구에게 받느냐가 중요한 것 같습니다.
똑같은 것을 보고도
사람마다 느끼는 감정이나 생각이 다르듯,
우리 의사들도 그러합니다.
같은 케이스를 보고도
다른 치료 과정을 떠올리는 것과 비슷하죠.
대중화가 된 것은 맞지만
어떤 계획을 세우고,
어떤 과정으로 진행하느냐에 따라
결과가 달라지게 됩니다.
이왕이면 임플란트 잘하는치과 에서
진행하는 것이 좀 더 오래 사용할 수 있는
방법이 아닐까 싶습니다.
오늘 소개해드릴 케이스는
소문을 듣고 내원해주셨던 분인데요.
왼쪽 아래가 너무 아프다며
최대한 빠르게 개선을 원하셨던 분입니다.
함꼐 살펴볼까요?
『아래 어금니 통증의 원인은?』
“아이고 너무 아파서
잠을 못자겄어유..”
잠을 한숨도 못주무실 정도로
심한 통증에 시달렸다던 환자 분,
더는 참을 수 없겠다는 생각에
임플란트 잘하는치과 를 수소문 하셨다는데요.
그러던 중에 소문을 듣고
더서울을 내원하게 되었다네요.
파노라마 및 육안관찰을 통해
아래 어금니 통증의 원인이 무엇인지
확인을 해보기로 했습니다.
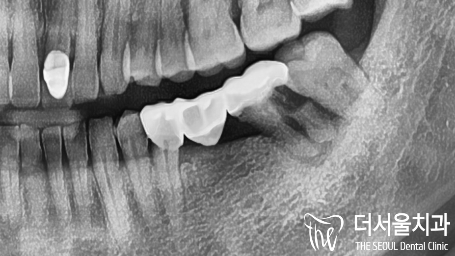
좌측 아래 어금니쪽을 보면 브릿지,
우측 어금니를 보면
켄틸레버 형태로 제작된 브릿지가 관찰됩니다.
*켄틸레버 : 한쪽만 고정이 되어있는 형태

좌측이 원인이란 생각이 들었는데요.
자세히 살펴보니 지대치 치근 부위로
심한 손상이 나타나 있었습니다.

육안으로 관찰했을 때에는 보철이 씌워져 있어
별다른 문제를 발견하지 못했지만,
잇몸 쪽을 자세히 살펴보면
울긋불긋하게 염증이 생겨있음을 알 수 있습니다.


치아에 문제가 생겼다면
잇몸에도 자연스레 이상이 생기게 되는거죠.
『박원장의 치료 계획』
지대치 손상이 심하기도 했고
환자분께서도 기존 보철이 너무 불편하다는
말씀을 남겨주셨습니다.
따라서 박원장은!!
implant&crown으로
문제를 개선하기로 했습니다.
*기존 보철 하방으로 나타난 염증 제거
*잔존조직이 남아있지 않도록 발치
*인접치들과 잘 어울릴 수 있도록 제작
임플란트 잘하는치과 에서는
위 3가지 포인트를 살려서
치료를 진행하기로 했죠.
『3차원 컴퓨터 분석을 통한 식립』

염증 및 잔존조직들을 깨끗하게 제거하고
컴퓨터 분석에 들어갔습니다.



총 2곳에 픽스쳐를 심은 다음
인접한 크라운을 교체하기로 했는데요.
식립 방향과 위치, 사용될 픽스쳐의 종류를
꼼꼼하게 분석하여 결정한 뒤,
약간의 골이식을 동반하여 픽스쳐를 심었습니다.
*염증으로 인해 치조골 소실이 나타나
골이식재를 동반하여 식립하기로 함.

튼튼하게 결합이 잘 된 것을 볼 수 있죠?
임플란트 잘하는치과 에서는
기존 골과 충분히 융합될 시간을 부여한 뒤
크라운 제작을 도왔습니다.
한눈에봐도 깔끔한 지르코니아 크라운으로
바껴 있는 것을 확인할 수 있네요.

이전에 비해 훨씬 심미적으로 뛰어난
구강 내를 볼 수 있습니다.
『어? 반대쪽도 교체를..?』
과정을 마무리하려던 찰나,
“저 반대쪽도 불편한데,
이곳도 바꾸고 싶어요!!”
라는 말씀을 남겨주셨던 환자 분ㅎㅎ
바뀐 보철이 편안하셨는지
반대쪽도 교체를 원하셨는데요.
사실 예전에 진료를 받았을 때에는
이곳은 식립이 어렵다며 켄틸레버 브릿지를
하게 되었다던 환자 분,
어려운게 어디있습니까!
더서울에서는 그런건 없습니다.
할 수 있을 때까지 해봐야죠!!
임플란트 잘하는치과 로 찾아와주셨으니
이곳도 교체를 해보기로 했습니다!!


이곳도 컴퓨터 분석을 통해 정밀 계획을 세운 뒤!
정해진 위치에 깔끔하게 심어드렸습니다^^

구강 내를 살펴볼까요?
튼튼하고 건강하게 바뀐 구내 모습!!!


환자께서 너무 감사하다며
수차례 인사를 해주셨는데요.
아닙니다, 이게 제가 할 몫이죠^^
주의사항 및 약속을 잘 지켜주신 덕분에
좋은 결과를 얻게 된 것입니다 🙂
좌, 우측 브릿지를 교체하셨던 분이였습니다.
임플란트 잘하는치과 를 찾는다면
더서울에 오셔서 검진 받아보는 것은 어떠실까요?
이만 글 줄이겠습니다.
긴 글 읽어주셔서 감사합니다.



치료기간: 2022.05.12~2022.09.13




