상악동거상술을 동반한 임플란트 식립, 다량의 뼈이식까지 출혈 없이 도와드렸던 분

안녕하세요, 여러분ㅎㅎ
더서울치과 박현준 원장입니다.
오늘 소개해드릴 케이스는
제목에 써져 있는 그대로
상악동거상술을 동반한
임플란트 식립 케이스인데요.
무절개로 진행하여
출혈이 하나도 없었던 분입니다.
주위에서 다들 여쭤보시더라고요..
진짜 출혈이 나타나지 않는건지,
그냥 말만 그런건지!
사실 이분께서도 더서울을 내원하기 전,
‘어떻게 피가 안나겠어.’
이런 생각을 갖고 있었다는데요.
과연 어떻게 개선을 도와드렸을지!
박원장과 함께 알아보도록 하겠습니다.
『내원 경로』
회사협약이라며 값싼 가격에
임플란트를 할 수 있다며 강남 모치과를 갔다가
상악 전악을 발거한 뒤
임플란트 9개를 심어야 된다는
진단을 받으셨다는데요.
아무리 생각을 해봐도
9개는 아니라는 생각이 계속 들어
주변 소개를 받고 더서울을 내원하셨습니다.
터무니 없는 이벤트로
소비자를 현혹시키는 곳들 참 많죠..
가기 전에 잘 알아보셔서
이벤트성 치료를 하는곳은
가급적 피하시는 것이 좋습니다.
박원장이 알려드리는 꿀팀이라 할 수 있죠ㅎㅎ
이와 관련된 내용은 추후 기회가 된다면
따로 포스팅을 진행해보도록 하겠습니다.

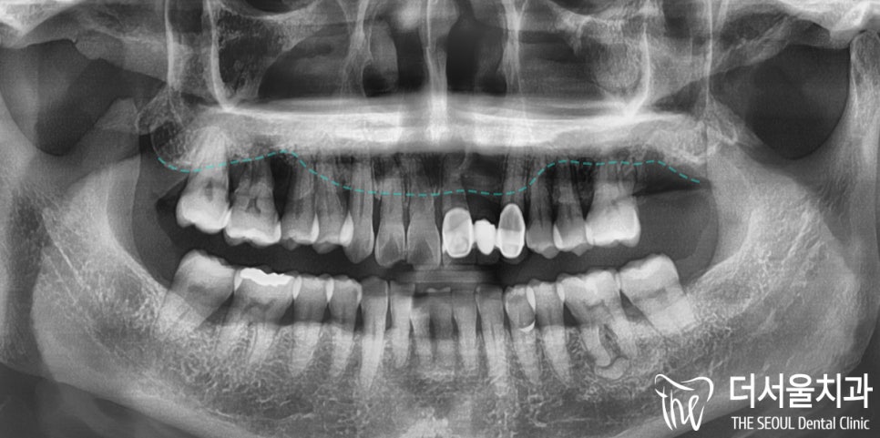
환자의 초진 사진입니다.
한눈에 봐도 구강 건강이 좋은 편은 아니였는데요.

파노라마 촬영을 통해 살펴보니
이미 광범위한 치조골 소실이 나타나 있었습니다.
제가 표시해둔 곳이 치조골 라인인데요.
이곳이 어느정도 튼튼하게 자리를 잡고 있어야
임플란트도 튼튼하게 심을 수 있습니다.
그러나 터무니 없이 모자란 양이 관찰되며
심지어는 상악동과의 거리도 근접해서
상악동거상술을 동반해야겠네요..
『더서울의 계획』
더서울에서는 최소개수 식립으로
잃어버린 기능을 되살려주기로 했습니다.
상악동거상술을 통해
내려와 있는 조직의 막을 올려주고
텅 빈 공간을 이식재를 사용하여
채워넣기로 계획을 세웠습니다.
수술은 무절개로 진행하기로 했는데요.
잇몸 절개 없이 진행하므로
빠른 회복과 치료기간 단축을
기대해볼 수 있는 방법입니다^^




컴퓨터 분석을 통해
눈에 잘 띄지 않는 곳까지
확실하게 검진을 진행했습니다.
픽스쳐의 크기와 식립 방향, 각도
세밀한 부분을 파악하여
최선의 결과로 이어질 수 있게끔
하나라도 놓치지 않도록 진행했습니다^^
『과연, 잘 심어졌을까?』
상악동거상술과 다량의 뼈이식이 필요한 분이라
복잡한 수술 과정에 대해
겁을 먹고 계셨던 분인데요.
무절개 식립을 통해
통증은 물론이며 소요시간까지
줄여드리기로 했죠!
다행히 하나하나 설명을 드리니깐
한결 편안해 하시는 모습이 보이더라고요^^

식립을 계획했던 곳을 발치했습니다.
잔존조직이 남아있지 않도록
몇차례 확인을 거쳐 진행했는데요.
발치를 하고 살펴보니
골소실이 일어난 곳이
더욱 눈에 띄게 나타나고 있습니다.

타원에서 9개로 진단을 받았던 환자 분,
더서울에서는 단 4개의 식립을 진행했습니다^^
무절개로 진행하여
출혈이 단 한방울도 나지 않았는데요.
환자께서 이게 가능한 일이냐며
놀라워하셨던 모습이
생생하게 기억이 나네요ㅎㅎ
파노라마를 확인해보면 알맞은 각도와 형태로
튼튼하게 심어져 있는 것을 볼 수 있는데요.
골융합이 단단하게 진행되고 나서
최종보철을 올려드리기로 했습니다.

파노라마로 완성된 모습을 확인해보니
형태는 물론이며, 기존 조직 및 치아와도
조화를 잘 이루고 있는데요.
크기도 알맞게 제작되어
저작 기능을 하는데에도
문제가 없어 보입니다.

구강 내를 살펴보니
이전에 비해 훨씬 건강해보이네요ㅎㅎ
오늘도 별다른 문제 없이
안전하게 식립을 끝낼 수 있었습니다!
역시 더서울..
『글을 마치며』
사실 이분은 18년도에
치료를 마무리 했던 분입니다.
얼마전 검진을 하러 오셨는데요.
아직까지 별다른 문제가 없이 사용하고 계셨죠^^
9개에서 4개…
이를 경험하고 나서
이분의 가족분들은 더서울만 다니십니다^^
협약이라고 싸게 해준다는 곳은
다시 한번 살펴보고 조심하셔야 됩니다!!!
아 참, 이분의 남편분도 본원에서 임플란트를 하셨는데요.
다음 케이스는 남편 분의 케이스를 소개해드리겠습니다.
긴 글 읽어주셔서 감사합니다.
박현준 원장이었습니다.



치료기간: 2018.03.21~2018. 08.10







