가족에게 소개를 받고 오신 분, 어금니 임플란트 케이스

바로 이전에 제가 작성했던 포스팅!
오늘은 그분의 남편 분의 케이스를
여러분들께 소개해드리려 합니다.
사실 병원도 그렇고..
가족들이나 친한 지인에게 소개를 하는 것은
어느정도 부담이 있을 수 밖에 없습니다.
저는 그래서 가족들에게 소개를 하더라도
정말 내가 믿을 수 있는 곳,
실력이 보장된 곳만 권하려는 편인데요.
그래서 그런지 환자분들이
가족에게 소개를 받고 오셨다고 하면
저도 모르게 입가에 미소가 지어지더라고요ㅎㅎ
자, 그럼 본격적으로
환자의 내원 사유 및 현재 상태를 살펴보며
자세한 내용을 설명드리겠습니다.
함께 보실까요?
『어금니 임플란트 과정』
“선생님, 왼쪽 아래가 너무 아프고 불편해요.
치료를 받아야 될거 같아서,
와이프 소개 받고 오게 되었습니다.”
어?!?!? 와이프의 소개를 받고 오셨다던 환자 분!
알고보니 바로 직전에 포스팅 했던 분의
남편 분이 더서울을 내원해주셨습니다.
원래 왼쪽이 불편하긴 했지만
요즘들어 흔들리는 것은 물론이며.
욱신거리는 느낌 때문에 잠을 설치셨다는데요.

파노라마에서 확인해보니
아래 37번 치아 주변으로
골소실 및 염증이 나타나 있었습니다.
자세히 보면 치관 부위에
파절이 나타난 것으로 확인이 되는데요.
그로인해 염증이 발생하였고
오랜시간 방치를 하면서
병소가 점점 퍼지게 된 것입니다.
구치부 치아에 문제가 생기면
여러모로 큰 불편함을 느낄 수 밖에 없습니다.
일단 음식을 제대로 씹지도 못할 것이고.
입을 다물고 얘기할 때마다
그곳에 가해지는 충격이
온몸을 찌릿하게 만들정도로
강하고 불편한 편에 속하죠.
따라서 사소한 것이라도 문제가 생겼다면
최대한 빠른 시일 내에 진료를 받아야 됩니다.
자연치를 살릴 수 있다면
어떻게 해서든 살리는 것이 제일 좋지만..
이분께서는 심한 골소실 및 동요로 인해
더는 자연치를 살릴 수 없을 거란 판단이 들었습니다.
따라서 더서울에서는
발치 후 어금니 임플란트를 통해
문제를 개선하는 것으로 계획을 세웠습니다.
『# 37 어금니 임플란트
plan,』


오늘도 빠지지 않는 어금니 임플란트 컴퓨터 분석,
이를 통해 픽스쳐의 크기와 식립 방향 및 각도 등
세밀한 부분까지 계획을 세웠습니다.

계획했던대로 발치를 진행했습니다.
염증이 나타나 있는 것은 맞지만
생각했던 것보다 심하진 않아서
따로 골이식을 동반할 필요는 없겠네요.

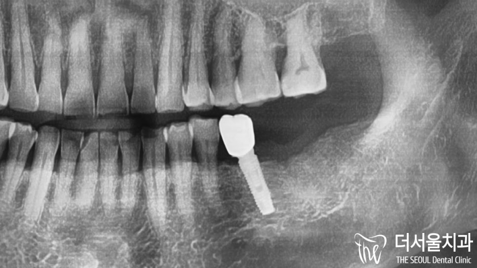
깨끗하게 발치를 마친 곳에
픽스쳐를 심어놓은 모습입니다.
『좀 더 확대해서 살펴볼까요?』

정해진 위치에 계획했던 각도 그대로
단단하게 심어져 있는 것을 볼 수 있습니다.
옆에 있는 인접한 보철과
적당한 거리로 자리를 잡고 있는지,
추후 올라갈 최종 보철도
자연스레 제작이 될 수 있는 공간인지!
지금 당장이 아닌 미래에도 문제 없이
사용을 할 수 있는 것인지!
하나하나 살펴본 다음 신중하게 진행했습니다.
제가 또 박꼼꼼 아닙니까ㅎㅎ

몇달이 지나고,
단단하게 심어져 있는 것을 확인한 뒤에
최종보철을 올려드린 모습입니다.
보기 좋게 만들어지지 않았나요?
옆에 있던 기존 보철과도
위화감 없이 잘 어우러지고 있습니다.
어금니 임플란트 ,
정말 성공적으로 마무리 되었네요^^

구강 내를 살펴봤는데요.
어디를 올려둔건지 티가 나지 않을 정도로
환자의 안모면 안모,
성별, 연령, 분위기 등
모든 면을 고려하여 제작을 도왔습니다.
교합은 제기능을 해내기 위해
당연히 확인해야 될 부분이고요^^
환자께서도 너무 편하고
이렇게 금방 끝날 줄 몰랐다며
앞으로 치과는 무조건 더서울만 오시겠다는
기분 좋은 말씀을 남겨주셨습니다ㅎㅎ
꼭 본원이 아니여도 괜찮으니,
주기적인 검진으로 확인을 해주셔야 됩니다!!
약속!!!
얼마 전, 와이프분과 검진을 오셨던 환자 분,
몇년이 지난 지금까지 관리를 잘해주신 덕에
처음과 같은 외관, 기능으로
생활을 잘 하고 계시더라고요^^
두분께서 일가친척들에게
저희 더서울 소개를 많이 해주셨는데요.
예약 날이 같으면 같이 치료를 받으러 오고
대기실에서 하하호호 얘기를 나누시더라고요.
앞으로도 더 좋은 진료,
확실한 결과로 여러분들의 구강 건강을 위해
노력하고 발전하는 박원장이 되겠습니다.
어금니 임플란트 케이스와 관련하여
문의할 내용이 있는 분들은
언제든 아래 댓글 남겨주시기 바랍니다!
긴 글 읽어주셔서 감사합니다.
파이팅 넘치는 월요일 되세요!



치료기간: 2022.02.14~2022.06.24




