이가 흔들리고 빠질 것 같은 치근단염증 , 재신경치료+브릿지로 개선 완료

안녕하세요, 여러분!
벌써 일요일 저녁이네요.
이번 주는 어떻게 보내셨나요?
저는 이래저래 바쁘게 보냈던 것 같습니다.
내일은 서울 기준 최고온도가
35도까지 올라간다네요..
money money 해도 건강이 최곤 거 아시죠?ㅎㅎ
자, 오늘 여러분들께 소개해 드릴 케이스는
더위가 시작되기 전 전체적인 검진을 받기 위해
저희 더서울치과를 찾아오셨던 분입니다.
『’이가 흔들리고 빠질 것 같아요. 어떡하죠?’』
앞니의 상태가 좋지 않다며
더서울치과를 찾아오셨던 환자분,
흔들리고 빠질 것 같은 느낌 때문에
말을 하거나 음식을 먹는 게 힘드셨다는데요.

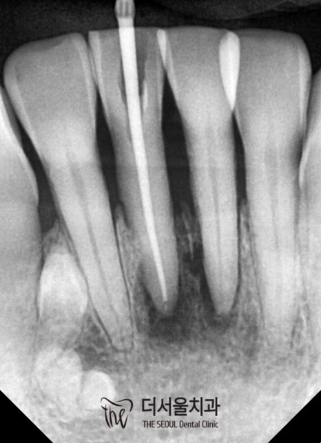
촬영을 통해 살펴보니
이전에 신경치료를 받았던 곳에
재감염이 일어나 치근단염증 이 생겨있었습니다.
표시해둔 곳을 보면
치아 뿌리 주변으로 검게 퍼져 있는
병소의 흔적을 살펴볼 수 있었는데요.
아무래도 이곳이 흔들림의 원인이 아닐까..
짐작이 되는 상황이네요.
환자의 구강 내를 살펴보니
전체적으로 위생관리가 되지 않고 있었습니다.

『다량의 치석이
군데군데 쌓여있는 것이 관찰되시나요?』
치석은 치주 질환 및 충치 등
대표적인 구강질환의 주원인이죠.
현재 문제가 되는 곳 말고도
심한 치경부 마모증이 관찰이 되고 있었습니다.
노화로 인해 자연스레 잇몸이 퇴축되고
구강 건강이 안 좋아지는 것은 어쩔 수 없지만,
이렇게 치석 때문에 안 좋아지는 것은
예방으로 미리 막을 수 있습니다.
청결한 구강관리 그리고 스케일링만 하신다면
거의 웬만한 구강 질환은
막을 수 있다 해도 과언이 아니죠ㅎㅎ
그래서 그렇게 정기검진, 스케일링을
강조하는 이유 중 하나입니다.
어찌 되었건,
현재 갖고 있는 불편함을
조금이라도 빨리, 정확하게 해결을 해야겠죠?
『왜 브릿지로?』
자, 우리가 할 수 있는 선택지는 2개가 있습니다.
① 임플란트
② 재신경치료 후 브릿지
이렇게 심한 염증이 있는 경우에는
발치 후 임플란트를 하는 것이
오히려 예후가 더 좋을 때도 있습니다.
다른 보철과 비교를 할 수 없을 정도로
편안한 사용감도 플러스되죠.
재신경치료 후 브릿지는
병소가 확실하게 제거되었는지, 아닌지.
즉 의료진의 실력에 따라 좌우되는데요.
성공률이 그리 높지 않은 편이기에
고도의 집중력을 필요로 하곤 합니다.
뭐.. 성공만 한다면 임플란트 보다
치료 기간이 짧을뿐더러.
자연치를 살릴 수 있다는 점이 있죠.
환자께서는 빨리 끝내고 싶다는
의사를 밝혀주셨기 때문에
치근단염증 제거 후
브릿지를 씌워드리기로 했습니다!
『자연스러운 전치부 보철』
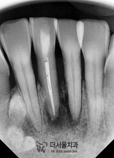
재신경치료를 통해 감염된 곳을
꼼꼼히 제거한 뒤 수복재를 사용하여
빈 곳이 없도록 꽉꽉 채워 넣었습니다.
이후 밀폐까지 확실하게 마쳤는데요.



그러나 여기서 끝이 아니라는 점.
염증의 크기가 작아지긴 했지만,
사라진 것은 아니기 때문에
꾸준한 관찰을 통해 병소가 사라졌는지
확실하게 확인을 해야 됩니다.
다행히 최종 보철을 올려도 될 정도로
상태가 완화된 것을 확인했는데요.
환자께서도 흔들리고 아픈 게 하나도 없다며
임시로 올려둔 것도 너무 편하다는 말씀을 해주셨죠.
더서울에서는 전치부 브릿지 제작을 위해
컴퓨터 분석을 사용하여 디자인을 했습니다.



전치부는 심미성이 중요한 곳이기 때문에
티가 나지 않게끔 자연스레 만드는 것이 중요합니다.
『과연 어떻게 만들었을지 확인해 볼까요?』
환자의 구강 내에 세팅된 모습인데요.
웃을 때나 대화를 할 때
자연스레 잘 어울릴 수 있도록
형태와 색조 선택에 신경을 좀 썼습니다^^

치근단염증 을 없애는 것과 더불어,
전체적인 구강 위생 관리를 도와드렸는데요.
스케일링으로 쌓여있는 치석을 제거하고
올바른 양치 습관을 위해 TBI 교육도 진행했습니다.
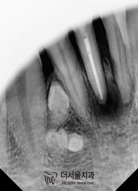
한 달이 지나고,
치근단염증 을 확인하기 위해
더서울을 다시 내원해 주셨던 환자분!
다행히 병소의 크기도 점점 줄어들어
거의 잡혀가는 것이 관찰되었으며
흔들림이나 통증도 나타나지 않았습니다.
보철까지 마음에 쏙 든다며
앞으로 치과치료는 더서울만 오신다고
수줍은 약속을 해주셨죠ㅎㅎ
치근단염증 은 눈으로 관찰할 수 없기 때문에
조기 발견이 힘든 편에 속합니다.
병소가 진행되어 증상이 나타난 이후에나
발견을 하는 경우가 많은데요.
최소 6개월에 한 번씩
정기검진, 스케일링 받는 것을
습관화하셨으면 좋겠습니다.
(더서울이 아니어도 좋습니다^^)
여러분들의 구강 건강을 위해 힘쓰는
더서울의 박원장이었습니다.
더 좋은 증례를 들고 찾아오겠습니다!



치료기간: 2022.10.23~2022.11.16





