주걱턱 비수술 치아교정 , 2년 6개월 간의 과정

『오늘은 주걱턱 비수술 치아교정 과
관련된 케이스를
여러분들께 소개해드리려 합니다.』
아래턱이 윗턱 보다 발달된
3급 부정교합을 갖고 있다면
반대로 물리는 위아랫니 때문에
외관상 좋지 않을 뿐더러,
고르게 물리지 않기에 큰 불편감을 겪게 됩니다.
그간 제가 작성했던 케이스만 봐도
알 수 있을 정도로 이런 불편감을 겪고 있는 분들이
꽤 많다고 할 수 있는데요.
저에게 오셔서 많이들 여쭤보는 질문 중 하나가
“꼭 양악을 해야 되나요?” 입니다.
오늘 이와 관련된 환자의
사례를 소개해드리며 궁금증을 풀어드리겠습니다.
함께 보실까요?
『주걱턱 비수술 치아교정 , 기준은?』
주걱턱 비수술 치아교정 을 할 수 있는지,
양악을 동반해야 되는지 결정짓는 기준은
‘발육 속도’라 말할 수 있습니다.
보통 class3의 경우는
하악의 과성장과 상악의 열성장으로 인해
나타나게 되는데요.
위턱이 너무 좁아지게 되면
어릴 때부터 이가 거꾸로 물리는
반대교합이 나타나게 됩니다.
어릴 때는 턱성장도 활발하기 때문에
장치나 인비절라인 퍼스트를 사용하여
비교적 쉽게 치료를 도와드릴 수 있지만,
성인이 되었을 땐 그렇지 못하죠..
아이들의 경우는 대부분 1년 안에 마무리가 되지만
성인은 2-3년 정도 생각을 하셔야 됩니다.
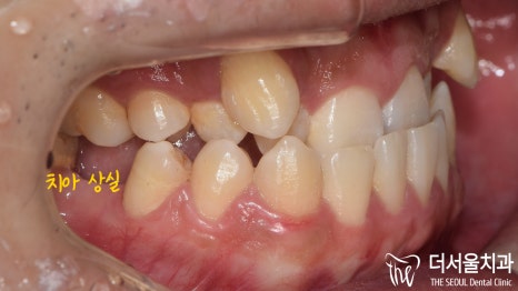
『실제 환자의 사례』
반대로 물리는게 심한 분이군요.

원래대로라면 윗니가 아랫니를 덮고 있어야 되지만,
지금 상황으로는 윗니가 아랫니 뒤쪽으로
쏙! 숨어 있습니다.


이와 더불어 덧니도 함께 관찰되었으며,
삐뚠 치열도 눈에 띄는데요.

교합면에서 관찰해보니,
설측으로 숨어있는 다량의 충치들도
함께 발견되고 있는 상황이였습니다.
주목적은 Class 3을 개선하는거지만,
동시에 총생이나 덧니,
충치치료도 진행해야 겠습니다.
『“어릴 때부터 고민이였는데,
여러 이유로 치료를 받지 못했어요.
이제라도 진료를 받고 싶어서 왔습니다.
인터넷 찾아보니 양악을 할 수도 있다던데..
저 주걱턱 비수술 치아교정 가능할까요?”』
음! 과연 뭐라고 답을 드렸을까요?
『더서울의 계획은?』
“네, 가능합니다!” 라고 답을 드렸습니다.
이분의 경우 심한 충치로 인해
아래 어금니가 빠져 있었는데요.
이 공간을 활용하여 아래턱의 후방이동을 유도하고,
추후 임플란트 식립을 진행하는 것으로
최종 계획을 세웠습니다!
『주걱턱 비수술 치아교정 과정』
성남치과에서는 본격적인 과정을 진행하기에 앞서
표면에 브라켓을 부착했습니다.

브라켓을 어디에 붙이느냐에 따라서
이동 방향이 달라지기 때문에
이부분도 정말 중요한데요.
각각의 크기, 형태, 특성 등을 고려하여
브라켓 부착을 마친 뒤,
와이어까지 연결시켰습니다.
『9개월이 지난 모습입니다.』
제위치에 벗어난 송곳니가
원래 있어야 될 곳으로 이동한 것이 눈에 띄는데요.

더 중요한 것은 거꾸로 물리는 모습이
개선 되었다는 것입니다.
아직 치열은 정돈 되지 않았지만,
꼭 이동이 필요한 곳들이
제자리를 찾아왔네요ㅎㅎ
『1년 반이 지나고,』
정상적인 물림은 물론이며,
배열까지 정돈 되어 있는데요.

이때 임플란트 식립을 진행했습니다.
비수술 주걱턱 치아교정 어느정도
진행 되어 있는 상태라 보철치료를 도와드렸죠.
만약 이동해야 될 양이 아직 많은데
임플란트를 심게 되면..
정말 요상한 배열이 생길 수 밖에 없습니다.
『2년 반의 모든 과정이 끝이 났습니다!』
너무 오래 걸린게 아닌가? 생각이 들 수 있는데요.
class 3은 유독 다시 틀어지는 일이 많습니다.
성남치과에서는 틀어지는 것을 방지하기 위해
일부로 천천히 마무리를 도와드렸죠.

너무 빠르게 끝나게 되면
원래 상태로 되돌아가는 회귀,
relapse가 빨리 생기기 때문에
일부로 이동을 천천히 유도한 것도 있습니다^^
주걱턱 비수술 치아교정 과 충치치료,
임플란트 식립까지 마무리 되었는데요.
문제가 되었던 위,아래 앞니는 물론이며
덧니 그리고 배열까지,
흠 잡을 곳 하나 없이
좋은 결과를 얻을 수 있었습니다.
주걱턱 비수술 치아교정 을 할 수 있을지 없을 지는
스스로 판단하기에 어려움이 있을 수 밖에 없습니다.
경험과 노하우가 풍부한 전문의에게 받는 것이
정확한 방법이라 할 수 있죠!
이와 비슷한 고민을 갖고 계신 분들은
언제든 더서울로 연락 남겨주시기 바랍니다.
양악 없이, 장치를 사용한 이동만으로
해결할 수 있다는 점을 다시 한번 강조드리며
이번 포스팅 마치겠습니다.
글쓴이, 박현준 대표원장이었습니다.



치료기간: 2021.01.16~2023.06.29




