인비절라인 돌출입 발치 교정 케이스 태평동치과 (feat. 강릉에서 오셨던 분..)

『오늘도 만나네요ㅎㅎ
태평동치과 박현준 원장입니다.』
입매가 툭 튀어나온 돌출입,
외적으로도 좋지 않을뿐더러
입이 편하게 다물어지지 않고
위생관리가 힘들기 때문에
이런 경우 가급적 빨리 개선을 하는 것이
구강 건강에 있어 더 좋다 말할 수 있습니다.
그렇다고 해서 무조건 교정을 권하는 것은 아닙니다.
스스로 콤플렉스가 되지 않고
청결한 관리가 가능하여
치주 질환 및 충치 확률이 적은 경우에는
굳이 교정을 해야 될 필요는 없죠~
그러나 이런 판단을 스스로 하기에는
어느 정도 한계가 있는 것은 분명합니다.
과연 내가 심한 건지, 괜찮은 건지
스스로 판단 내리기가 쉽지 않은데요.
오늘 태평동 치과 에서는
인비절라인을 사용하여 돌출입을 개선했던
20대 남성 환자의 스토리를 보며
좀 더 자세한 설명을 드리겠습니다.
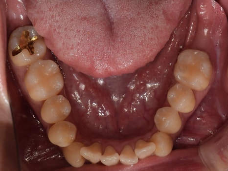
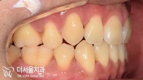
『검진』
사실 이분께서는 # 27 (좌측 두 번째 큰 어금니)가
아래쪽으로 내려와 있다며
저희 태평동치과 를 찾아와주셨습니다.
처음에는 불편함을 크게 느끼지 못했지만
시간이 점점 지나면서 내려오는 어금니 때문에
입을 다물고 있거나 음식을 먹을 때
큰 불편감을 느끼고 계셨다네요.


교합이 맞지 않으면 좌우 비대칭이 생기게 되고
턱관절에도 좋지 않은 영향을 끼치게 되죠..
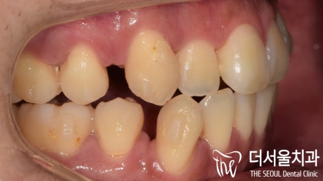
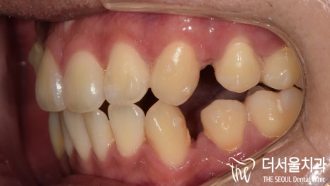
초진 사진을 살펴보니 생각했던것 보다
아래쪽으로 많이 내려와 있는
어금니를 볼 수 있었는데요.

이와 더불어 전체적으로 돌출된
입매를 확인할 수 있었습니다.
측절치 부근 반대교합과 총생도 확인이 되네요.


『계획』
태평동치과 에서는 계획을 세우기 전,
환자와의 깊은 대화를 나누고 있는데요.
이분께서는 # 27 어금니 교정을 하는 동시에
돌출되고 삐뚠 치열도 함께 고치고 싶다는
의사를 밝혀주셨습니다.
박원장의 의견 또한 그러했습니다.
어금니는 교정을 꼭 필요로 하는 케이스였는데요.
이왕 치료를 한다면 나머지 문제들까지
다 함께 개선을 하는 것이 좋은 방법이죠.
태평동치과 의 최종 계획은 아래와 같습니다.
『인비절라인을 사용한 발치 교정
# 27 함입 + 돌출 개선
# 37 임플란트』
『진료』





인비절라인 클린체크 3초컷
인비절라인 클린체크를 사용하여
치료 후의 모습을 미리 예측했습니다.
와, 이것만 봐도 정말 큰 변화가 기대되네요.
그런데.. 제가 치료 중 정말 깜짝 놀랄 일이 있었습니다.
바로 이분께서 강릉에서 내원을 하신다는 거였는데요.
다행히 인비절라인이라 월 내원은 필요하지 않지만,
그래도 몇 달에 한 번씩 오셔야 되는데..
무려 강릉에서 성남까지 내원을 해주신거였다니ㅠㅠ
어떻게 해서든 좋은 결과를 안겨드려야겠네요.
저희 태평동치과 를 믿고 찾아와주셔서 정말 감사합니다.





더서울에서는 앞서 계획했던 대로
# 27 구치부 함입을 통해
대합치 임플란트 공간을 확보하였으며,
또 다른 문제였던 돌출입도 개선을 도와드렸습니다.
약 1년 반에 가까운 기간이 걸렸는데요.
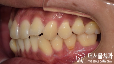
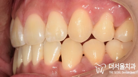
『어떻게 개선이 되었는지!
함께 살펴볼까요?』
이전과 달리 고르게 배열된 치아들이 눈에 띄는데요.
어금니 임플란트도 알맞게 자리를 잡고 있었으며
눈에 띄게 달라진 돌출의 변화가 크게 나타났습니다.





아마 안모변화를 보면 깜짝 놀라실텐데요ㅎㅎ
어떤가요? 전보다 훨씬 매끄럽고
세련된 입매가 확인되시나요?




환자께서도 너무 마음에 드신다며
강릉에서 왔던 게 후회가 안된다는
말씀을 남겨주셨습니다ㅎㅎ
아직까지 기억에 남을 정도로
정말 뿌듯했던 케이스 중 하나였네요.
『마무리』
교정이 마무리되었다 해도
주기적인 검진을 통해
꾸준히 관리를 해야 됩니다.
만약 치료가 끝났다 해서 그냥 내버려 두면
다시 전처럼 돌아가거나 삐뚤어져 버리는
회귀 현상이 나타날 수 있기 때문인데요.
저희 태평동치과 에서는
여러분들의 고른 치열을 위해
사후관리까지 확실하게 도와드리고 있다는 점^^
더 좋은 케이로스로 찾아오겠습니다.
더서울의 박현준 원장이었습니다!



치료기간: 2022.02.21~2023.06.30





