세계로 뻗어나가는 더서울, 이번엔 미국에서? 성남치과

『반갑습니다, 박현준 원장입니다.』
저희 성남치과 는 전국 각지를 넘어
이젠 해외에서도 찾아오는 분들이 많은데요.
이전에 소개해 드렸던 괌, 싱가포르 외에도
여러 국가에서 찾아오고 계시죠.
오늘 소개해 드릴 케이스는
더서울에서 10시간이 넘게 걸리는
‘미국’에서 오셨던 분인데요.

와.. 정말 대단하지 않나요?
과연 어떤 문제가 생겼던 것인지
진료 과정을 살펴보며 설명드리겠습니다.
『이미 심어져 있던 픽스쳐?』
“선생님, 제가 미국에서 임플란트를 심었는데..
다니던 병원에 문제가 생겨서
치아를 올리지 못했어요.
매번 느끼는 거지만,
의료기술은 대한민국이 제일 좋은 것 같길래..
한국 들어온 김에 겸사 겸사 찾아오게 되었습니다.
더서울은 이미 심어져 있는 것도 봐주신다길래
소문 듣고 왔어요ㅎㅎ 잘 부탁드립니다.”
『오ㅎㅎ
어디까지 소문이 퍼진 걸까요?』
쨌든 잘 찾아오셨습니다.
확인을 해봐야 알겠지만,
잘못된 식립이나 중단된 치료도
문제없이 해내는 성남치과 죠ㅎㅎ
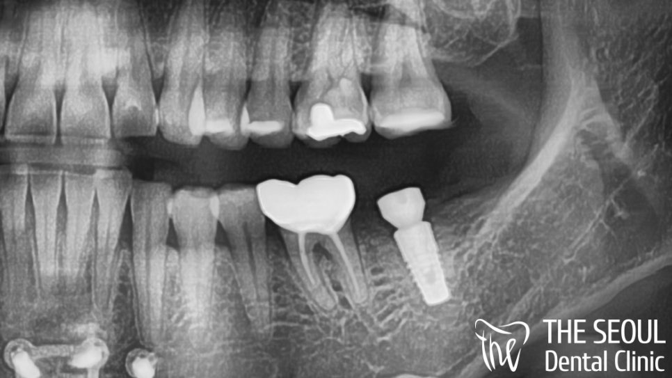
초진 사진을 살펴보면
좌측 아래 어금니 부위에
임플란트 픽스쳐가 심어져 있었습니다.

힐링까지 결합이 되어있는 것으로 보아
치료를 꽤 진행했었네요.
어떤 사정인지 모르겠지만..
이렇게 두고 크라운을 올리지 않다니ㅜㅜ
환자분의 불편함이 꽤 크셨을 것 같습니다.
성남치과 에서는 혹여나 파절된 곳이 있는지,
단단하게 결합이 잘 되어 있는지
정밀 검진을 진행했는데요.

다행히 별다른 문제는 발견되지 않았기에
환자분 구강에 어울리는 최종 보철만
제작해 드리면 될 것 같네요^^
『주변 치아들과 조화롭게』
구내 사진을 보면 픽스쳐의 방향이
악궁의 형태에 맞게끔 약간 설측으로
심어졌으면 더 좋았을 것 같다는 생각이 들었지만,
주어진 상황에서 최선의 결과를 얻을 수 있게끔
개선을 도와드리는 것이 저의 몫이겠죠?ㅎㅎ
기존에 치료받았던 곳, 남은 자연치들과
새롭게 올려드릴 크라운이
조화롭게 잘 어우러질 수 있도록
색조 선택부터 신중하게 진행을 했습니다.
크라운의 외형을 제작할 때도
어떻게 만들면 최대 효율을 낼지,
환자의 교합이 더 편할지
꼼꼼하게 확인을 한 뒤에 만들었는데요.
자, 과연 어떤 모습을 갖게 되었을지
성남치과 와 함께 살펴보겠습니다.
『위화감 없이 잘 어우러지고 있죠?』


크기는 물론이며 색조, 형태 모든 것에서
계획했던 대로 원하는 결과를 얻을 수 있었습니다.
『글을 마치며』
사실 이렇게 치료가 중단된 경우,
이후 과정을 거절하는 곳이 많습니다.
왜?라고 생각이 드실 수 있지만..
사실 남이 하던걸 이어서 치료하는 게
말처럼 쉬운 것이 아닙니다.
오로지 상상과 예측만으로
이전 치료의 계획과 의도를 파악한 뒤에
진행해야 되기 때문에
실력과 노하우가 풍부한 곳에서 받아야 됩니다.
이외에도 여러 이유들이 있기에
다들 꺼려하는거죠ㅎㅎ
그러나 성남치과 에서는
모든 케이스 건 최선의 결과를 얻을 수 있도록
환자의 의견을 최대한 반영하여 진료하고 있다는 점^^
오늘 알려드린 내용 잘 보셨나요?
이와 관련되어 궁금한 내용이 있거나
비슷한 이유로 내원을 미루고 있다면
더서울로 문의 바랍니다.
아 참, 저희 성남치과 는
잉글리시도 참 잘합니다ㅋㅋㅋ
외국인 진료도 문제없이
진행할 수 있죠.
전 이만 글 마치겠습니다.
더 좋은 케이스를 들고 찾아오겠습니다.



치료기간: 2022.10.22~2022.10.28





