이차충치로 깨져버린 인레이, 자연치아 살리는 신경치료로 교체 완료 성남치과

『 치아가 깨졌다?! 』

이가 깨질 확률이 높아지게 됩니다.

많은 분들이 이는 단단하니깐 안깨지겠지!라며

생각을 하고 계신데요. 그러나 계속해서

큰 충격을 받게 된다면 작은 충격에도

쉽게 파절이 나타날 수 있답니다.


먼저 치료 전,후 사진을 보여드리면서

오늘 케이스를 소개해드리겠습니다.

어금니가 예쁘게 변했죠?

과연 어떤 과정을 거쳤길래

이렇게 바뀌게 된건지,

초진부터 치료과정까지 살펴보며

자세한 설명을 드리겠습니다.

성남치과 와 함께 보실까요?


저 아래 어금니가 너무 아파요..

성남치과 를 내원하셨던 환자께서는

아래 어금니가 아프다며 내원하셨습니다.

충치가 생기면 건강한 치질을

약해지게 만들기 때문에

작은 충격을 받아도 쉽게 깨져버리게 됩니다.

미리미리 관리를 잘 해주셔야 되는 이유죠ㅠㅠ


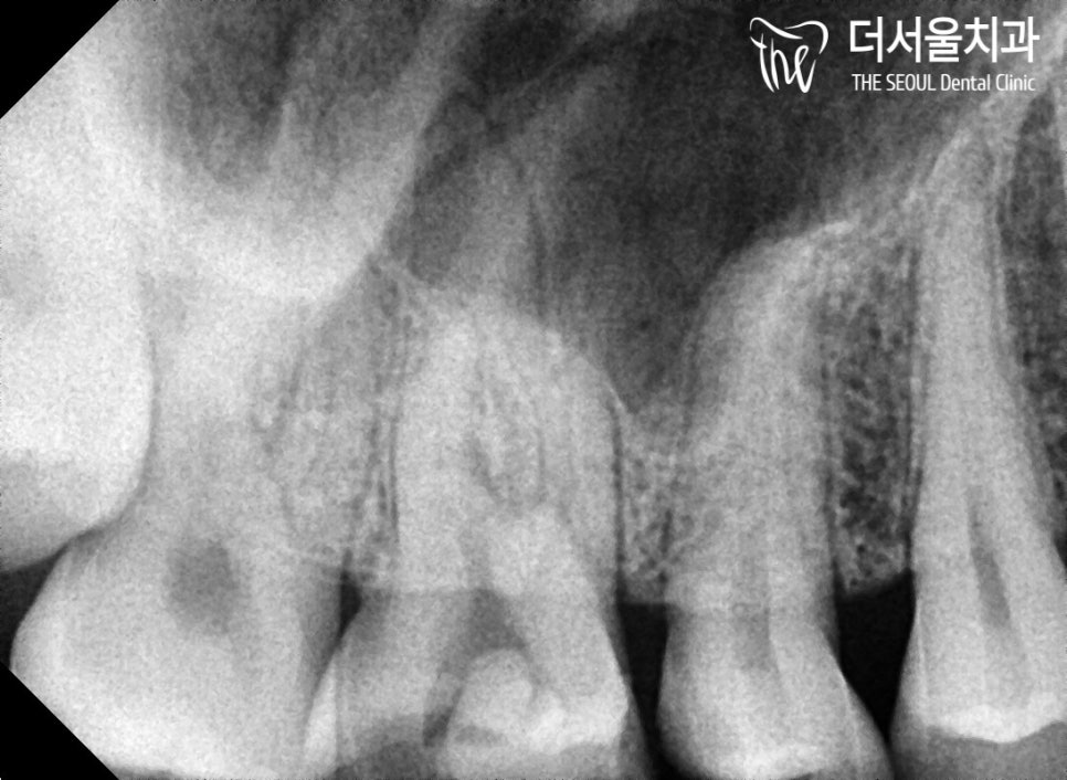
깨진 틈 사이로 이물질이나

외부 세균들이 침투하여

치수 부근까지 감염이 되어있는 것을

확인할 수 있었습니다.

위와 같이 구성되어 있는 우리 자연치,

그중 치수는 수많은 혈관과 신경들이

존재하는 곳입니다.

만약 이곳이 우식에 감염이 되었다?

그럼 극심한 통증을 비롯해

이시림, 고름이나 낭종 등 큰 문제들로 이어지죠.

아무래도 이 환자께서는

이미 치수 부근으로 병소가 퍼져 있었는데요.


위 진단 및 계획을 환자께 설명드리고

본격적인 신경치료 과정으로 들어갔습니다.

기존 보철을 벗겨보니

생각보다 심하게 퍼져 있는

이차우식을 확인할 수 있었는데요.

성남치과 에서 받는 모든 보철은

영구적으로 사용할 수 없기 때문에

주기적으로 내원을 하셔야 됩니다!!

이분께서는 안타깝지만,

이미 그런 시기를 놓치게 된것이죠ㅜㅜ

성남치과 에서는 감염된

근관 내부를 깨끗히 청소하고

빈 공간을 채워주는 과정을 거쳤습니다.

소독-충전 과정을 마친 뒤,

마치 나무 뿌리처럼

가늘고 세밀한 잔뿌리가 존재하는데요.

이런 곳들도 함께 확인하여

재발의 확률을 줄여줘야 됩니다!

코어 작업까지 마치고

이제 최종 보철을 올려드릴 차례죠?

환자께서 마음에 쏙! 들어하실

지르코니아를 사용하여

크라운을 제작했습니다.

성남치과 에서

교합 조정 및 약간의 외관 수정을 마친 후

최종 부착을 도와드렸습니다.


환자께서도 마음에 쏙 들어하셨는데요.

성남치과 에서는 꾸준한 검진을 통해

새롭게 바뀐 보철을 오래오래 사용하실 수 있도록

유지관리 도와드리기로 했습니다.

저희 더서울은 각 분야의 전문의들의

협진이 가능하기 때문에

보철이면 보철, 임플란트면 임플란트,

교정이면 교정! 한 곳에서 해결하실 수 있습니다ㅎㅎ

이와 관련하여 문의할 내용은

아래 댓글 남겨주시면

답변 도와드리도록 하겠습니다.

더운 날씨 건강 유의하세요!

긴 글 읽어주셔서 감사합니다.

치료기간 2019.04.17 ~ 2019.05.13

답글 남기기

Your email address will not be published. Required fields are marked *.

*
*
You may use these <abbr title="HyperText Markup Language">HTML</abbr> tags and attributes: <a href="" title=""> <abbr title=""> <acronym title=""> <b> <blockquote cite=""> <cite> <code> <del datetime=""> <em> <i> <q cite=""> <s> <strike> <strong>

Copyright © 2025 더서울치과. All Right Reserved.
BACK TO TOP