따님 소개로 더서울에 오셨던 분, 부작용 없는 어금니 임플란트 식립 과정
벌써 8월이 끝나가고 있네요.
눈 깜짝할 사이에 가을이 눈앞으로 찾아왔는데요.
겨울에 되면 그리워질 여름..
가족, 친구분들과 즐겁게 보내셨으면 좋겠습니다.
저는 한주를 마무리하며 글을 쓰고 있습니다.
내일이면 새롭게 시작될 한주,
어떤 환자분들을 만나게 될지 벌써 궁금한데요.
오늘 여러분들께 소개해 드릴 케이스는
따님분의 소개를 받고 오셨던
남성 환자분의 진료 과정입니다ㅎㅎ
“ 참 신기하지 않나요?
친구분도 아니고, 따님의 소개라니! ”
이분은 어떤 이유로 더서울을 오셨던건지 그 이유와
부작용 없는 임플란트 치료 과정을 살펴보며
하나씩 설명을 드리겠습니다.
“우리 딸이 소개해 줬어~”
사실 이분은 몇 년 전에 성남치과에서
부작용 없는 임플란트를 심으셨던 분입니다.
초진 시 저에게 해주셨던 말씀이
바로 “우리 딸이 소개해 줬어~”인데요.
이 얘긴 다음에 자세히 해드리는 것으로 하고ㅎㅎ
이번엔 어떤 불편함이 있어서 오신 건지
진료 과정을 살펴보겠습니다.
이전에 심어놨던 게 너무 마음에 드신다며
오른쪽 위 임플란트를 심으러 오셨습니다.
한번 더서울에서 해보면
다른 곳은 못 가시겠다며
기분이 절로 좋아지는 말씀을 해주셨죠.

다행히 이전에 심어놨던 것은
안정적으로 심어져 있는 것을 볼 수 있는데요.

성남치과 에서는 빠져있는 임플란트 오른쪽 위,
10번대 식립을 도와드리기로 했습니다.
『 단, 여기서 꼭 살펴봐야 될 것이 있죠? 』
바로 상악동, 뿌리와의 거리인데요.

상악동의 함기화로 인해
충분한 치조골이 보장되지 않고
줄어들어 있는 것을 볼 수 있습니다.
따라서 성남치과 에서는 부작용 없는
상악동 거상술 및 뼈이식을 동반한
임플란트 식립을 통해 잃어버린
구강 내 기능을 회복시키는 것으로 계획을 세웠죠.
이미 치료 경험이 있던 분이라 그런지
더 여유로운 모습을 갖고 계셨는데요ㅎㅎ
겁이 안 나시냐고 장난스레 여쭤보니..
“어차피 안 아픈데 무슨 걱정이야!!”라는
말씀을 해주셨던 분입니다ㅋㅋㅋ
더 안 아프게, 부작용 없이
확실하게 도와드려야겠네요^^
『 부작용 없는 최소절개 임플란트 식립 』
성남치과 에서는 위와 같이 계획을 세운 뒤
본격적인 치료를 도와드렸습니다.
부작용이 나타나지 않게끔
디지털 방식을 사용한 최소절개 식립을 통해
픽스처를 심어드리기로 했습니다.


컴퓨터 분석으로 픽스처 위치까지
확실하게 확인을 한 뒤에
본격적인 수술 과정으로 들어갔는데요.
보다 정확하고 안전하게 심어져 있는
픽스처의 모습을 확인한 뒤
몇 달간 충분한 고정력을 가질 수 있도록
치유 기간을 부여하기로 했습니다.
3달에 가까운 시간이 흐르고
모든 과정이 마무리되었습니다.
과연 이번 치료도 성공적일지 함께 볼까요?

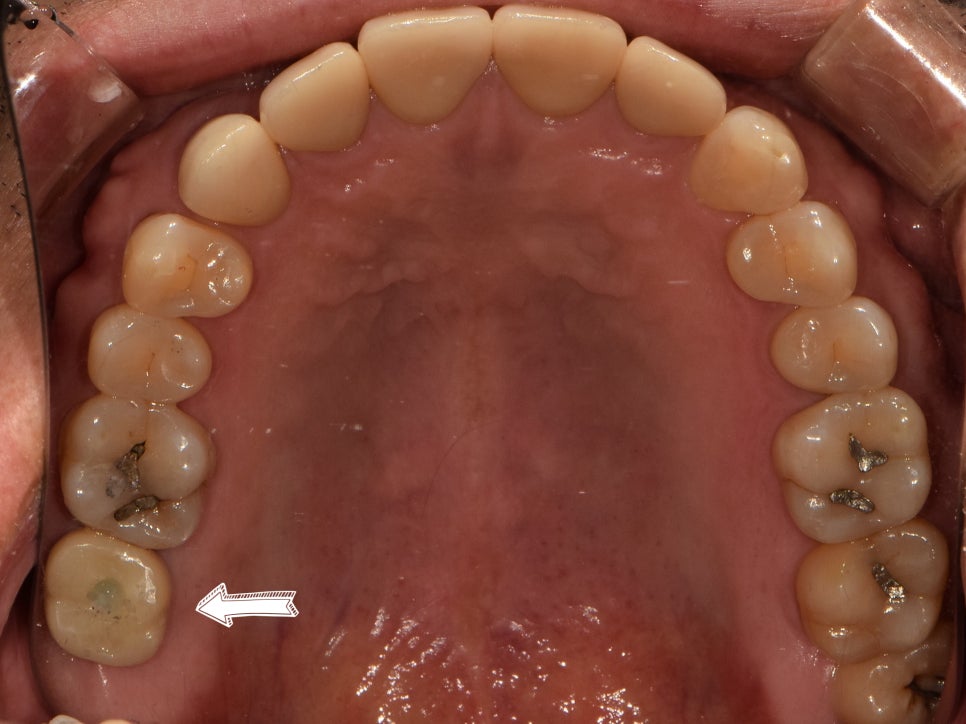
텅 비어있던 곳이 자연스러운 지르코니아로
채워져 있는 것을 볼 수 있습니다.
어금니에 문제가 생겨 불편함이 크셨을 텐데,
성남치과 부작용 없는 임플란트로
건강하고 예쁜 치아를 갖게 되었네요.
파노라마 사진을 보면
튼튼하게 심어져 있는 상악 어금니 픽스쳐의
모습을 확인할 수 있습니다^___^


다행히 이번 치료도 성공적이었는데요.
환자께서.. 이러니 더서울을 올 수밖에 없다며
정말 극찬을 남겨주셨던 기억이 납니다ㅎㅎ
사실.. 이 케이스의 뒤를 이을 2편도
여러분들을 기다리고 있습니다.
치료받은 임플란트를 잘 쓰고 계셨는지!
다른 곳에 문제가 생긴 건 아닌지!
속편을 통해 함께 하길 바랍니다ㅎㅎ
추후 링크 남겨놓도록 하겠습니다.
남은 하루도 행복하게 마무리 잘 하시고,
저는 내일 또 찾아오겠습니다.
박현준 원장이었습니다.

치료기간 2017.11.07 ~ 2018.05.01



