아래 앞니가 3개밖에 없다면? 성남치과 치아교정으로 삐뚤어진 정중선 바로잡기!
반갑습니다, 더서울 박현준 원장입니다.
정상적인 치아 맹출 개수에 대해 얘기를 해보면
송곳니까지 상하악 각각 6개의 전치부 치아들과
사랑니 포함 10개의 구치부로 이루어져 있습니다.
사랑니 맹출 개수에 따라 28-32개로
사람마다 달라질 수 있는데요.
이보다 더 적은 경우는 ‘치아 결손’이라 할 수 있죠.
“ 결손치가 생겼다면 거의 대부분
이 사이가 벌어져 있거나
치열이 고르지 않은 경우가
많다고 할 수 있는데요.
왜 그럴까요? ”
원래대로라면 정상적으로 맹출 하여
올곧게 자라있어야 되는데 그곳이 비어있게 되면
다른 치아들이 공간을 메꾸기 위해 움직이게 되죠.
그러면서 점차 치열의 변형이 생기게 되고
추후 부정교합이나 돌출 등의 원인이 될 수 있습니다.
자 오늘 성남치과 에서 소개해 드릴 케이스는
결손치로 인해 정중선이 틀어져 있었던
여성 환자분의 진료 과정인데요.
심미적인 인비절라인 투명장치를 사용하여
남모르게개선을 도와드렸던 스토리입니다.
좋은 결과를 얻을 수 있었을지!
함께 보며 설명을 드리겠습니다.

“위에 앞니가 뻐드러지고
아랫니가 많이 삐뚤어요.”
위와 같은 주소(cc)로 성남치과 를
찾아오셨던 20대 여성 환자분입니다.
말씀하셨던 내용을 토대로
구강 내 나타난 문제들을 확인해 봤는데요.

구치부 교합관계는 정상이었으나
총생이 나타나 있는 전치부 치아와
밖으로 뻗쳐있는 앞니를 볼 수 있었습니다.


음.. 결손치도 확인되었는데요.
4개가 있어야 될 하악 앞니가
3개만 있는 것을 볼 수 있네요.


자세히 보면 결손치로 인해
미드 라인을 잡지 못하고 있었습니다.
이 부분도 함께 고려해야겠네요.
정중선을 맞추는 것은 한계가 있지만
고르게 개선을 도와드려야겠습니다^^
사회생활을 하고 있는 환자분의 특성을 고려하여
심미적인 데다 관리가 쉬운 인비절라인을 사용하여
삐뚤어진 치열을 바로 잡기로 했습니다.
이때 한 가지 문제가 있었는데요.
바로 튀어나온 듯이 뻗쳐 있는 앞니였습니다.
이 부분을 개선하기 위해서는 고르게 펴질
충분한 공간이 필요한데요.
발치를 할 정도는 아니었기 때문에
성남치과 에서는 치간 삭제(IPR)를 통해
이동 공간을 확보한 뒤에
배열을 도와드리기로 했습니다.
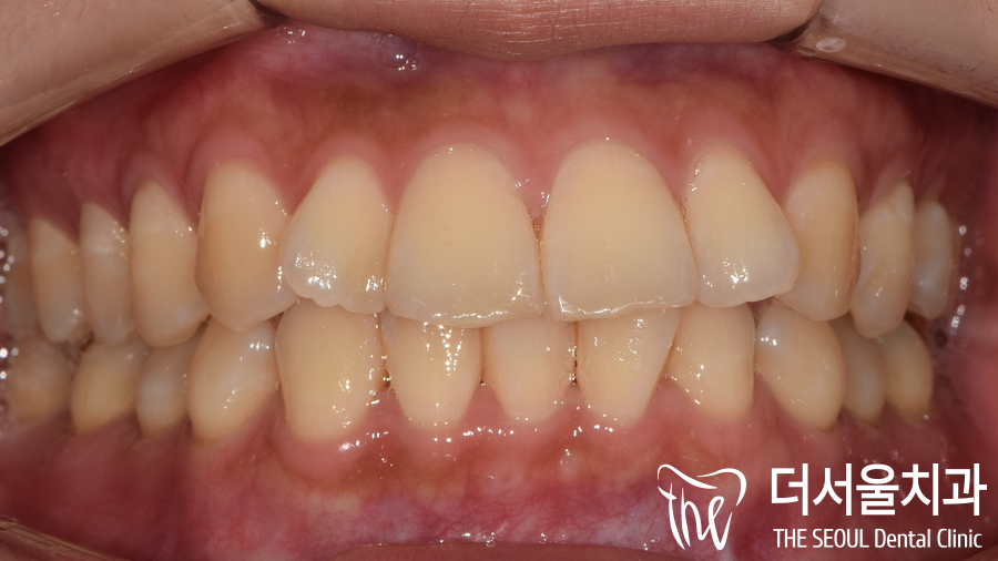
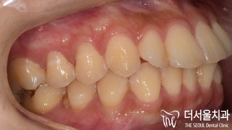
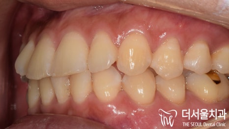
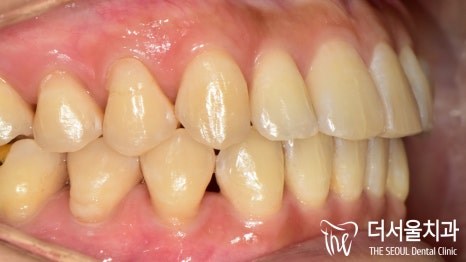
『 인비절라인으로 개선 완료 』
성남치과 에서는 삐뚤어진 배열과
큰 오버젯을 동시에 개선하여
환자분의 치아 콤플렉스를 해결하기로 했는데요.

이때 인비절라인 클린체크 진단 시스템으로
치료 후 모습을 미리 재현했습니다ㅎㅎ
이렇게 진행이 잘 된다면 좋겠네요^^





협조도가 중요하다는 것을
다시 한번 설명드린 뒤에
본격적인 진료에 들어갔습니다.
1년도 되지 않아 모든 과정이 마무리되었는데요.
어떤 모습으로 바뀌었을지 살펴보겠습니다!
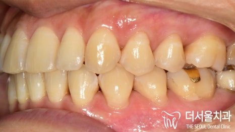
1) 긴밀한 치아 배열
2) 오버젯(뻗쳐 있는 앞니) 개선
3) 총생(crowding) 개선





3가지 문제들이 모두 해결이 되었습니다.
다행히 성남치과 에서 안내드렸던 대로
꼼꼼하게 관리를 잘 해주셨는데요.
그 덕분에 이렇게 좋은 결과를 얻게 되었네요.
고르게 바뀐 치열이 다시 틀어지지 않도록
고정식 유지 장치를 뒤편에 부착하여
회귀 현상을 막아주기로 했습니다.




결손치로 인해 삐뚤어진 치열을
인비절라인을 사용하여 고르게 바로잡았습니다.
마무리까지 1년도 걸리지 않았는데요.
치료가 끝나고 환자께서 남겨주신 말씀이 있습니다.
“이 사이에 음식 찌꺼기가 끼고
침도 자주 튀어서
몇 년간 정말 불편했는데
1년도 안 돼서 고쳐진 게
정말 신기해요.
이럴 줄 알았으면
진작 올 걸 그랬네요ㅎㅎ”
이 글을 읽는 여러분들께서는
신속한 검진으로 적절한 치료 시기를
놓치지 않기를 바라며 글 마무리 짓겠습니다.
더 좋은 케이스로 찾아오겠습니다.
성남치과 더서울이었습니다. 감사합니다 🙂


치료기간 2017.02.21 ~ 2017.12.18


