어려운 사랑니도 문제없이 뽑을 수 있는 더서울, 발치 후 통증 및 주의사항
안녕하세요, 더서울의 박현준 원장입니다.
“ 어려운 사랑니 ,
예를 들어 어떤 것들을 꼽을 수 있을까요? ”
네, 그간 더서울에서 여러 번 설명드렸듯이
매복이나 옆으로 누워있는 등의
비정상적인 형태를 볼 수 있습니다.
이렇게 주변 조직에도 영향을 줄 수 있는 형태는
최대한 빠른 시일 내에 뽑는 것을 권해드리는데요.
계속해서 내버려 두었다가 염증이나 낭종,
붓기, 발적과 같은 여러 불편함으로
이어질 수 있기 때문입니다.
“ 어려운 사랑니 ,
안전하게 뽑을 수 있을까요? ”
이전에 위와 같은 주소(c.c)로
더서울을 찾아오셨던 환자분의
진료 과정을 설명드리려 합니다.
도대체 어떤 이유로 내원을 하셨던 걸까요?
이분의 얘기를 들어보니,
처음에 동네 병원을 가봤는데
꽤 어려운 과정이 될 거라며..
큰 곳을 가는 게 좋겠다는 말씀을 하셨다는데요.
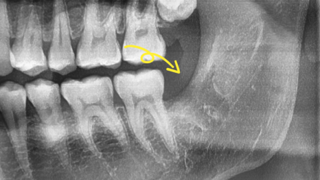
어떤 문제가 생긴 건지 파노라마 사진을 통해
현재 상황을 살펴봤더니
왼쪽 아래쪽에 위치한 부분 매복 형태의
어려운 사랑니가 눈에 띄네요.


이곳 주변으로 욱신거리는 통증이 지속되어
잠도 제대로 잘 수 없었고,
식사를 하는 것도 불편하셨다는데요.
빠른 시일 내에 뽑는 것이 앞으로의 예후에 있어
제일 좋은 방법이겠죠?
더서울에서는 어려운 사랑니도 문제없이
제거를 할 수 있기 때문에 지체하지 않고
곧바로 수술을 시작하기로 했습니다.

이분의 경우 뿌리가 뼈를 움켜지고 있는
얄미운 형태를 갖고 있었던 분이었는데요.
이런 경우에는 일부 뼈를 깎아내는 방식도
고려해 봐야 되기 때문에 정상 형태보다
훨씬 더 까다롭고 어려운 과정이 될 수밖에 없죠.
환자께 해당 내용에 대해 충분한 설명을 드린 뒤
어려운 사랑니 제거 과정으로 들어갔습니다.
약 10분도 지나지 않고
모든 과정을 마무리할 수 있었습니다.
걱정과는 달리 깨끗하게 뽑힌 것을
확인할 수 있는데요.


이런 말을 하기 좀 그렇지만..ㅎㅎ
정말 얄밉게 생기긴 했네요^^

일주일이 지나고 소독을 하러 오셨던 환자분,
잘 아물고 있었지만 가끔씩 느껴지는 통증이
걱정이 된다고 말씀하셨습니다.
뽑은 후에도 불편함이 나타나는 이유는
과연 무엇일지 간략히 설명해 드리겠습니다.
“ 발치 후 통증이
사라지지 않고 지속되는 이유 ”
발치 후 통증이 지속되는 이유는
뽑을 때 일시적으로 가해진 충격으로 인해
주변 조직이 놀라서 생기는 것이 제일 흔한데요.
이런 경우에는 회복됨에 따라 수일 내로
자연스레 사라지게 되지만,
관리 미흡으로 인해 드라이 소켓 등과 같은
부작용이 나타나게 된다면..
최대한 빠른 시일 내에 더서울에 오셔서
검진을 받아보는 것이 제일 중요합니다.
또한 어려운 사랑니로 인해
주변 치아에 충치나 염증이 생긴 경우에도
발치 후 통증이 지속될 수 있기 때문에
정확한 검진을 받길 권해드립니다.
“ 발치 후
꼭 지켜야 될 주의사항 ”
발치 후 꼭 지켜야 될 주의사항에 대해
설명을 드리겠습니다.
1) 빨대나 흡연 등 압력을 가하는 행위는 금물
2) 맵고 짠 자극적인 음식보다는
부드러운 유동식 위주의 식사
3) 음주와 흡연은 회복을 더디게 함으로
최소 2-4주간은 자제
4) 청결한 구강 관리로 2차 감염이
나타나지 않도록
이 정도만 지켜주시면,
별다른 문제 없이 회복될 수 있을 겁니다.
더서울의 박현준이었습니다. 감사합니다^^

치료기간 2017.05.10 당일 치료 종료



