컴퓨터 분석(CAD/CAM)으로 제작된 크라운 “게장 먹다가 이가 부러졌어요.” 부러진 앞니치료

반갑습니다, 더서울치과 박현준 원장입니다.
오늘 여러분들께 소개해 드릴 케이스는
컴퓨터 분석을 사용한 크라운 제작인데요.
“ 어? 임플란트뿐만 아니라,
크라운도 컴퓨터 분석으로 제작이 가능한 건가요? ”
궁금해하는 분들이 꽤 많으실 겁니다.
네, 그럼요~!
부러진 앞니치료 에도 CAD/CAM이라는
방식을 사용하여 개선을 돕고 있는데요.
오늘은 이와 관련된 내용을 설명드리며
좀 더 자세한 내용을 알려드리려 합니다.
“ 게장 먹다가 이가 깨졌어요.. ”
맛있게 식사를 하던 중,
게장을 먹는 동시에 이가 깨졌다는데요.
부러진 앞니 치료를 받으러 급한 모습으로
더서울을 내원하셨던 남성 환자분입니다.
부러진 앞니치료 는 무엇보다
심미성을 회복시키는 것이 중요하기 때문에
경험이 많고 노하우가 풍부한 곳에서
진료를 받는 것이 좋은 방법입니다.
티 안 나게, 깔끔하게 다들 알고 계시죠?ㅎㅎ


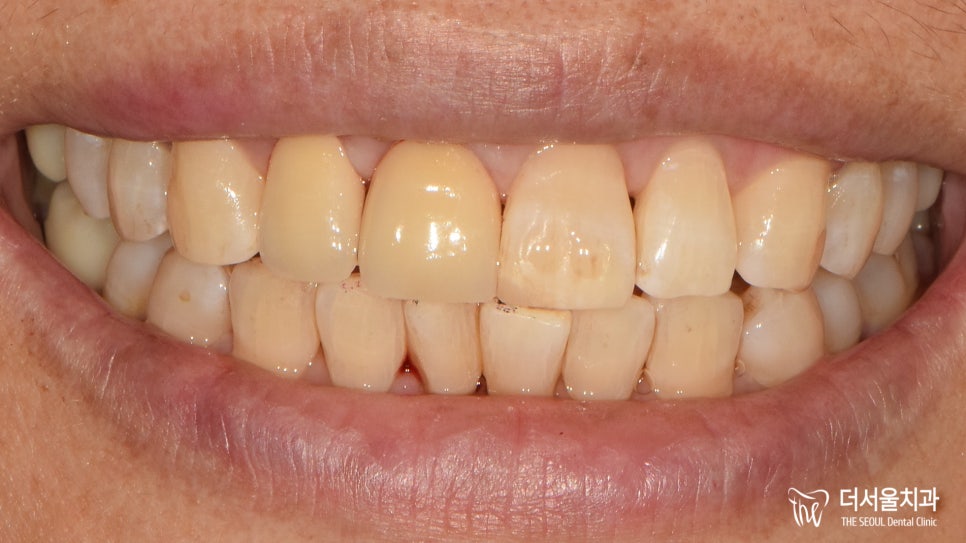
부러진 앞니치료 로 오셨던 분의
구내 모습을 확인해 본 결과,
절단면의 1/3 정도가 파절되어 있는 것으로
확인이 되었습니다.
이런 경우에는 파절 편이 크기 때문에
레진으로 수복을 하기에는 어려움이 있습니다.
어쩔 수 없이 크라운과 같은 보철 수복을 진행하여
문제를 개선할 수밖에 없는데요.
더서울에서는 컴퓨터 분석을 사용한
크라운 제작을 통해
고민을 해결하기로 했습니다.
CAD/CAM?
컴퓨터 지원 설계 및
컴퓨터 지원 제조(CAD/CAM) 기술을 의미합니다.
다양한 진료 및 제조 과정을
자동화하고 개선하는 데 사용되죠!
치과 분야에서는 계획을 컴퓨터로 설계하고
이를 사용하여 치아나 장치를
제조하는 기술을 가리킵니다.
CADCAM 기술은 환자의 치아 상태를
디지털로 스캔하고, 컴퓨터 소프트웨어를 사용하여
계획을 수립합니다.
이것은 전통적인 기록 방법보다 정확하고
시간을 단축시키며 환자에게 더 나은
시각적 설명을 제공할 수 있습니다.
어, 크라운, 브리지, 인레이, 온레이 등의
치과 보철물을 만드는 데 활용됩니다.
이러한 제조 과정은 정확성과 효율성을 높이며,
환자의 입에 더 잘 맞는
맞춤형 보철물을 제공할 수 있습니다.
* 어떤 장점이 있을까요?
CADCAM은 정확성과 효율성을 향상시키며,
환자의 편의를 증대시킵니다.
환자의 체감 통증을 최소화하고,
제작된 보철물이 오랜 기간동안
유지되도록 돕는 것이 중요한 장점 중 하나입니다.
치과 CADCAM 기술은 치과 의료 분야에서
현대적이고 혁신적인 접근 방식으로 간주되며,
의사와 기술자들이 환자 치료 및
보철물 제작을 효과적으로 수행하는 데 도움을 줍니다.
“ 신기하지 않은가요?ㅎㅎ ”
이렇게 컴퓨터 프로그램을 사용하여
제작을 하기 때문에 좀 더 정교하고
심미적인 보철 제작이 가능합니다.




구강 스캐너를 사용하여
구내 모습 채득을 진행한 뒤
컴퓨터로 파일을 전송하면
이렇게 구내 모습이 재현되는데요.
환자분의 성별, 안모, 분위기에 맞춰
디자인 제작을 진행하기 때문에
기존 아날로그 방식에 비해
더 정확한 제작이 가능합니다.
과연 이분의 경우 어떻게 변했는지
부러진 앞니치료 후 모습을 함께 볼까요?
색조도 환자분의 안모에 맞춰
어울리는 색을 선정해서 그런지
훨씬 자연스레 잘 어울리고 있는 모습입니다.

사람마다 갖고 있는 색조,
형태가 다 다른데요.
하얗고 고른 치아도 좋지만
무엇보다 티가 나지 않는
자연스러운 진료를 진행하는 것이
결과 및 예후에 있어 좋은 방법입니다.

빠른 시일 내에 나아질 수 있었다며
기쁨의 미소를 보여주셨던 환자분이였는데요.
부러진 앞니치료 과정이
이렇게 금방 끝날 수 있는지 몰랐다며
놀라워 하셨던 기억이 납니다ㅎㅎ
게장..알고 보면 정말 무섭습니다.
우리의 자연치를 손상시킬 수 있으니까요.
이 글을 읽는 여러분들께서는
딱딱하거나 질긴 음식 섭취를
꼭 주의하여 구강 건강을 미리
지키는 것이 제일 좋겠죠?
긴 글 읽어주셔서 감사합니다.
더 유익한 증례로 찾아오겠습니다.


치료기간 2017.06.07 ~ 2017.07.01



