양쪽 턱이 비대칭이라 삐뚠데.. 앞니임플란트 심을 수 있을까요? 성남치과추천
안녕하십니까, 성남치과추천 박현준 원장입니다.
부정교합, 좋지 않은 구강 습관 혹은 선천적인 이유로
좌우대칭이 맞지 않는
안면비대칭을 갖고 있는 분들이 꽤 많은데요.
모든 균형(balance)이 잘 맞아야
보기도 좋고 고른 상태라는 것은
여러분들도 이미 알고 계실겁니다.
균형을 맞추는 일,
말은 쉽지만 말처럼 쉽지만은 않습니다.
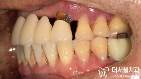
우선 환자의 초진 사진을 살펴볼까요?


음.. 한눈에 봐도 심하게 손상된 치아를
육안관찰에서 확인할 수 있었습니다.
이곳은 이전에 치료를 받았던 곳인데요.
오래된 것도 그렇고,
제대로 된 관리를 하지 못해
외관은 물론이며 치조골까지 소실이 되어있네요.


다행히 이전에 올려드렸던
어금니는 튼튼하게 심어져 있었습니다 🙂
자, 어떻게 치료를 도울지
좀 더 세부적인 계획을 세워야겠죠?
성남치과추천
한,두곳의 문제가 아닌
전치부 전체의 문제로 판단이 되었기 때문에
더서울에서는 앞니임플란트 수술을 통해
잃어버린 외관 및 기능 회복을
도와드리는 것으로 계획을 세웠습니다.
어라? 문제는 여기서 끝이 아니였는데요.
위쪽과 더불어 아래쪽에도 문제가 있었습니다.


치경부 마모는 물론이며
잇몸이 내려앉아 있었는데요.
파노라마로 살펴보니
이곳에서도 심한 염증이 관찰되었습니다.
최종적으로
上 – 앞니임플란트
下 – 브릿지 수복
성남치과추천
이렇게 치료를 돕기로 했습니다.
“ 역시나 앞니임플란트 케이스에도
컴퓨터 분석이 빠질 순 없죠? ”
(성남치과추천)
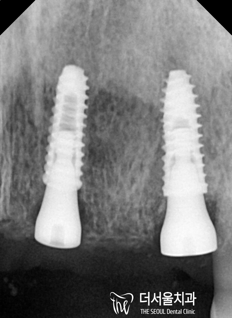
실제 구강 내를 본을 뜬 다음
인접치, 해부학적 조직과의 모든 관계를
꼼꼼히 파악해주는 똑똑한 친구입니다.



3차원으로 분석을 마친 뒤에는
제작된 가이드를 사용하여 식립을 마쳤습니다.

이때 환자께서 해주셨던 말씀이..
“어? 수술이
전보다 더 빨리 끝났네요..!!”
성남치과추천
였는데요.
더 좋은 진료를 위해 끊임 없이 달려왔던
박원장이 노력이 여기서 빛을 바라는군요^^
여기서 끝이 아닙니다.
보철까지 마무리를 도와드려야겠죠?
성남치과추천
더서울은 환자의 안모, 분위기, 성별 등을 고려해서
최대한 자연스러운 보철을 만들고 있는데요.
특히나 이분은 앞니임플란트 라서
심미성이 더 중요할 수 밖에 없죠.

그리고 약간의 비대칭을 갖고 있었기 때문에
보철 제작 과정에서 배열 및 형태 재현을
좀 더 신경쓰기로 했습니다.
“ 과연 어떤 결과가 나왔을지
함께 살펴볼까요? ”
이전에는 잇몸이 내려앉고
안에 있는 조직이 드러나서
심미성이 떨어질 수 밖에 없었는데요.


실제 자연치와 유사한
지르코니아를 사용하여
좀 더 건강한 치아를 만들어주었습니다.
어떤가요?
환자께서 미소를 짓고 있는 안모 사진을 보면
자연친지, 보철인지 구분이 안갈 정도로
자연스레 제작된 것을 확인할 수 있었습니다.

앞니임플란트 와 더불어 아래 쪽의 브릿지도
심미성은 물론이며 컨택, 교합이 잘 맞게끔
제작이 된 것이 관찰되네요.

거의 모든 과정이 마무리 될 무렵
환자께서는 너무 만족스럽다며
저에게 따봉!을 날려주셨는데요.
이렇게 바뀐 구강을
보다 오래오래 사용하실 수 있도록
지속적인 사후관리를 도와드리기로 했습니다.
안면비대칭이 있던 이번 환자 분,
더서울에서는 개인의 안모 및 특성 등을 고려하여
맞춤 진료를 도와드리고 있습니다.
이런 세세한 요소까지
모두 종합적으로 고려한 다음
환자에게 딱 맞는 보철을 제작하는 것이
보다 좋은 결과에 가까워질 수 있는
방법이라는 점!
앞니임플란트 내용과 관련하여
문의할 것이 있는 분들은
아래 댓글 남겨주시기 바랍니다.

치료기간 2019.04.04 ~ 2019.10.08



