신흥역치과 사랑니 안뽑으면 어떤 부작용이 생기게 될까? 꼭 대학병원 가야 되는 걸까?
“ 반갑습니다, 신흥역치과
더서울의 박현준 원장입니다. ”
환자들께서 신흥역치과 에 오셔서
많이들 하는 질문중에 하나가
“선생님,
사랑니 안뽑으면
큰일나나요?”
입니다.
신흥역치과 에서 이에 답변을 해드리자면,
1) 네, 큰일 날 수 있습니다.
더 많은 치아들이 치료를 받게 될 수 있어요.
2) 첫번째 이유에 따라서
더 큰 치료 비용이 발생되면서 더 아플 수 있습니다.
근데, 이렇게 말씀드려도
이를 실감 못하는 분들이 많습니다.
“ 사랑니 안뽑으면 어떻게 되나요? ”
라는 질문을 하셨음에도
저희는 정확한 답변 및 소견을 안내드렸어도
지금 당장 아플까봐, 또는 부어서 잠을 못 잘까봐
이런 걱정 때문에 발치를 해야 될 시기를 늦추게 되는데
결국에는, 충치나 염증 등을
키우는 행위 밖에 되지 않습니다.
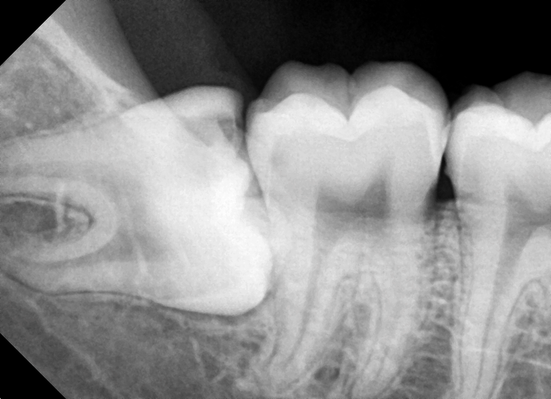
【정밀 진단 】
(신흥역치과)
일단, 엑스레이를 보면


제가 빨간색으로 표기를 해 둔 ‘틈’ 이 있습니다.
근데, 이 틈이 거울이나
우리 눈으로 봤을 땐 틈이 없는 것 처럼 볼 수 있으나
실제로는 깊고 좁은 틈입니다.
즉, 여기서 음식 저류가 나타나게 될 텐데
양치질로 절대 닦아 낼 수 없는 곳입니다.
즉, 세균이 쉽게 번식이 되면서
광범위 충치들이 만들어질 수 밖에 없습니다.
딱, 발생 되기 좋은 환경이죠.
그래서, 이 곳을 기점으로 충치 및 염증이 발생될텐데
초기에는, 통증이나 불편함을 거의 못 느끼실 거예요.
결국, 어느날 찌릿거리는 통증이 있을 때
비로소 신흥역치과 에 찾아오시게 될 텐데….
때는 늦은 경우가 많습니다.
결국, 하나만 미리 발치를 했으면 될 일이
그 앞에 있는 큰 어금니도
같이 발치를 하게 되는 일이 벌어지거나
최소 신경치료를 하게 되는 일이 다반사죠ㅠㅠ

아울러, 사진에서 볼 수 있는 것 처럼
치아의 치관이 조금이라도 맹출이 되어있다면
미리미리 발치를 하는 것 또한 도움이 될 수 있습니다.
예방 차원에서요^^
이제 조금 더 말씀드릴 건데,
사랑니 안뽑으면.. 나중에 뽑아도 되겠죠?
라는 질문을 하는 분들은
일반 치과에서 수술을 안 받으시고,
꼭 대학병원으로 가는 분들이 있습니다.
근데 왜, 옛날 어른들이
대학병원으로 가라 하는지 이유는 알고 계신가요?
바로, 과거에는 일반 치과에서는
CT라는 장비를 보유하고 있지
않았었기 때문입니다.
이는, 컴퓨터 단층 촬영이라는 것인데
특히, 하악 치아를 뽑을 때는
꼭 써야 되는 장비중에 하나입니다.
바로, 하치조신경관(inferior alveolar nerve)
라는 곳과 가까울 확률이 크기 때문이죠.
즉, 발거를 하는 과정에서
하치조신경관에 손상을 끼치게 되면
안면마비와 같은 현상이 나타날 수 있기 때문에
정확한 위치를 파악해야 되는것이 우선이죠.
그래서 신흥역치과 에서
오늘 보여드리는 사랑니 안뽑으면 이라는
주제의 글과는 다르게
임플란트 수술에 있어서도 연관성이 있습니다.
【 자 CT에 관련 된 내용을 보여드리겠습니다. 】
제가 글의 서두에서,
사랑니 안뽑으면 어떻게 되나요?
라는 질문을 했었던 환자가 왔었다 안내를 드렸는데요.

사진에서 볼 수 있듯이, 우측 바둑판 내를 보면
‘빨간색’ 으로 표기를 해둔 곳이
바로 신경관의 위치입니다.
“ 치아의 뿌리와 가까운 것을 볼 수 있죠? ”
게다가, 거리는 2.0mm 밖에 되지 않습니다.
즉, 신중히 발거를 하지 않으면
신경손상으로 이어질 수 있다는거..

신흥역치과 에서는 깔끔하게 다 뽑아드렸습니다.
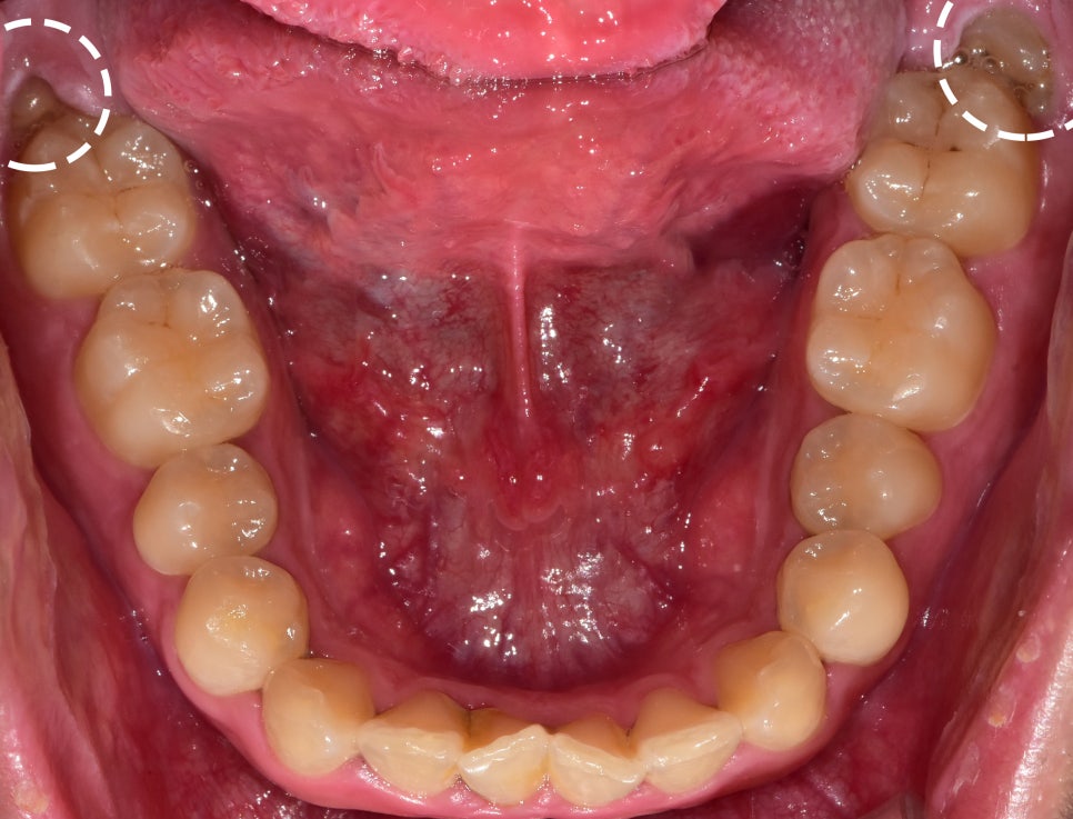
사진으로 보면,
좌측 및 우측을 동시에 뽑은것처럼 보여지는데…
환자께서도 식사를 하셔야겠죠?
한쪽을 먼저 뽑은 뒤에,
한달뒤에 남은 쪽을 뽑아드렸습니다^^
【 오늘 정리 】
(신흥역치과)
“사랑니 안뽑으면 어떻게 되나요?”
큰일까진 아니더라도
여러가지 문제가 나타날 수 있습니다.
더불어, 대학병원으로 꼭 가지 않으셔도 됩니다.
물론, 안 뽑아준다는 곳이 많을텐데요.
실력이 뛰어나고 노하우가 많은 곳을
내원하는 것이 좋은 방법입니다.
감사합니다, 글쓴이 박현준 원장이였습니다.

치료기간 2017.04.14 ~ 2017.05.10


