외국인도 찾아오는 성남양심치과 , 인비절라인 재교정 케이스 English speaking orthodonitis
반갑습니다,
성남양심치과 더서울의 박현준 원장입니다.
벌써 추석 연휴가 코앞으로 다가왔네요.
연휴 기간이 긴 만큼 여행을 떠나거나
밀렸던 휴식을 취하는 분들이 많은 것 같습니다.
저도 그중 하난데요ㅎㅎ
쌓여왔던 피로 좀 풀고.. 다시 활기찬 모습으로
여러분들을 찾아뵈려 합니다.
다들 내원 및 예약에 착오 없으시길 바라며,
오늘 포스팅 시작하겠습니다.
다들 잘 알고 계시듯이 저희 성남양심치과 에서는
외국인 진료도 문제없이 가능합니다.
영어가 가능하기 때문에 환자와의 대화에 있어
좀 더 원활한 의사소통을 할 수 있는데요.
“ Englisn speaking orthodonitis ! ”
영어가 가능한 교정 의사라 할 수 있죠^^
오늘 소개해 드릴 케이스를 살펴보며
좀 더 자세한 내용을 설명드리겠습니다.
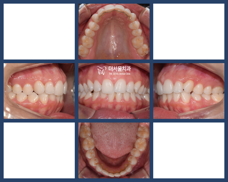
【 초진 】
이분께서는 미국 국적을 갖고 있는 외국인 환자로
첫 번째 치료를 미국에서 진행을 하셨는데요.
음.. 치료를 했던 곳이라는 게 믿을 수 없을 정도로
굉장히 당황스러웠습니다.
마무리가 2급 부정교합으로 되어있더라고요^^..

환자께서도 미국 교정이 끝난 뒤
한국에 살게 되면서 “다시 치료를 받고 싶다~”라는
생각을 계속하고 계셨다는데요.
그러던 중 영어가 가능한 곳을 찾게 되어
저희 성남양심치과 를 찾아오게 된 것입니다.


2급 부정교합 그리고 # 26 크로스 바이트까지
여러 아쉬움이 남는 것으로 확인되었는데요.


환자분의 얘기를 들어보니
편하게 다물어지지 않고 삐뚠 느낌이 든다며
빠른 시일 내에 개선을 원하고 계셨습니다.
【 계획 】
그래서! 성남양심치과 에서
재교정을 진행하여 고른 배열, 교합으로
만들어주기로 최종 계획을 세웠습니다.
일단 교합 자체가 맞지 않았기 때문에
첫 번째 목표는 정상 교합 개선이었는데요.
이후 정밀한 미세 조정을 통해
더 긴밀한 배열이 될 수 있도록
교정을 마무리하기로 했습니다.





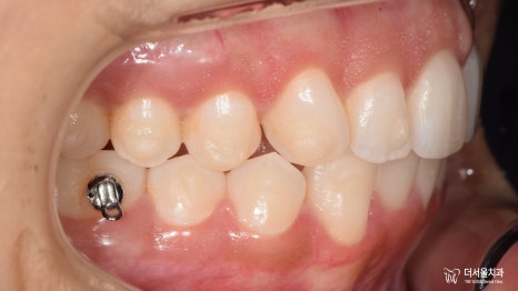
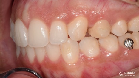
이때 사용하기로 한 장치는 인비절라인인데요.
심미성은 물론이며 빠른 이동이 가능하고
치료 후 모습을 예측할 수 있기 때문에
많은 분들이 선호하고 있는 장치 종류 중 하나죠^^
클린체크를 통해 치료 후 모습을 예측했습니다.
이렇게 변하는 것을 최종 목표로 둔 뒤
본격적인 치료를 진행하기로 했습니다.

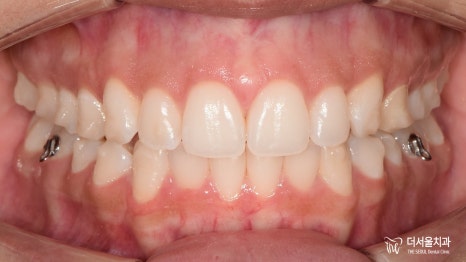
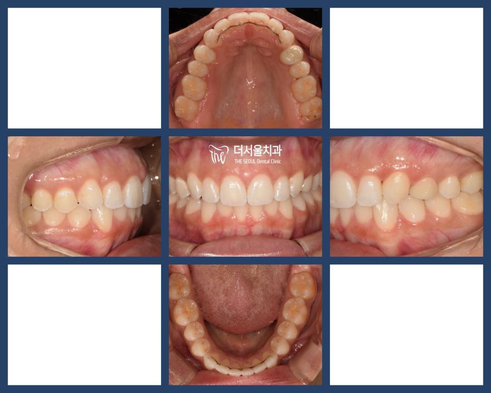
【 마무리 】



모든 치료가 마무리된 모습을 살펴볼까요?
이전과는 달리 훨씬 안정적인 모습의
맞물림이 관찰되고 있습니다.

교합은 물론이며 더욱 긴밀한 배열을
갖게 된 것을 볼 수 있는데요.
심미적으로나 기능적으로나
환자께서 좋아하실 수 있는 결과를 안겨드리게 되어
성남양심치과 도 정말 뿌듯했답니다^^
환자께서도 생각보다 좋은 결과를 얻게 되어
너무 기쁘다며 친구분들께 소개를 하겠다는
기분 좋은 말씀까지 남겨주셨습니다ㅎㅎ


마지막으로 안모 변화를 비교해 보면
훨씬 자연스럽고 안정적으로 물리는
전, 후 안모 사진을 확인할 수 있네요.
“ 오늘 소개해 드린 케이스 잘 보셨나요? ”
외국인, 한국인 모두 안심하고
확실한 진료를 받을 수 있는 곳을 찾으신다면
성남양심치과 더서울에 오셔서
검진받아보길 바랍니다.
더 유익한 정보로 찾아오겠습니다.
긴 글 읽어주셔서 감사합니다.
박현준 원장이었습니다^^
#Englishspeakingdentist
#englishspeakingorthdontitis #englishpeakingdentistinseoul
#재교정 #2급부정교합

치료기간 2017.02.06 ~ 2017.12.19


