노인들에게 잘 생기는 ‘치근 우식증’이란 무엇일까? 성남치과의원
반갑습니다, 성남치과의원 더서울의
박현준 원장입니다.
오늘 여러분들께 소개해 드릴 내용은
치근 우식증에 관련된 케이스인데요.
보통 충치라 하면 치관(치아머리)에
생기는 것을 생각하는 분들이 많으실 겁니다.
그러나 치근 우식증은 눈에 잘 띄지 않는
뿌리가 썩은 것이라 말할 수 있는데요.
딱 봐도 예방도 힘들고
치료를 진행하는데도 어려움이 있을 수밖에 없죠.
오늘 더 서울에서는 어떤 방법으로 예방을 해야 되며
어떤 방법으로 개선을 도와드렸을지
실제 케이스를 함께 보며 설명드리겠습니다.
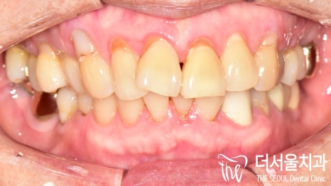
【 초진 】
이분의 경우 이가 아프다며
전체적인 검진을 받으러 오신 분입니다.


초진 구강 사진을 보면
곳곳에 생긴 우식과 치경부 마모증이
나타나 있는 것을 볼 수 있는데요.


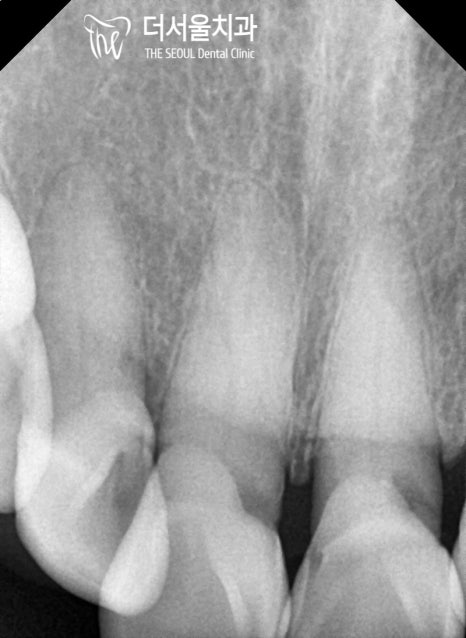
눈에 잘 띄지 않는 곳까지 꼼꼼하게
살펴보는 것이 중요하기 때문에
치근단 방사선을 촬영하여 살펴본 결과
노인에게서 잘 발생하는 치근우식이
나타나 있는 것으로 확인되었습니다.
【 치근 우식증이란? 】
(성남치과의원)
구강 건강이 약해져 있는 노인의 경우
건조한 입안 상태가 지속될수록
자정작용이 감소되어 잇몸이 내려앉고
뿌리가 드러난 자리에 치근 우식이
발생할 수 있습니다.
이 경우에는 자연치 보존이 어려울 수 있어
평소 정기검진을 통해 충치를
조기에 발견하는 것이 좋은데요.
특히나 당뇨 등 전신질환을 갖고 있는 경우
더욱 주의가 필요하다 할 수 있죠.
또한 옆으로 문지르듯 닦는
올바르지 못한 칫솔질이나 이갈이와 같은 악습관은
치경부 마모를 유발하여 치근 우식의
원인이 될 수 있기 때문에 개선이 필요합니다.
이때 식습관 조절도 필요한데요.
딱딱하고 질긴 음식 섭취를 피하고
치아 표면에 오래 붙어있을 수 있는
끈적거리거나 단 음식은 자제하고
섬유소가 풍부한 채소를 섭취하는 것이 좋습니다.
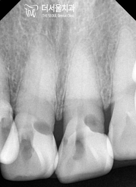
【 계획 】
성남치과의원 에서는
앞니 주변으로 치근 우식이 생긴 것으로 판단되어
# 11 # 21 엔도 코어 크라운,
# 12 레진 치료
위와 같은 방법으로 구강 기능 개선을
돕기로 계획을 세웠습니다.
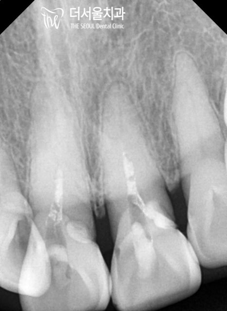
【 치료 과정 】
앞서 계획했던 대로 엔도를 진행하여
썩어있는 내부 병소들을 깨끗하게 제거했습니다.
자칫 발견이 더 늦었더라면
자연치를 살릴 수 못할 확률이 정말 컸는데요.


다행히 시기를 놓치지 않아 신경치료로
개선을 도와드릴 수 있었습니다.
충전재를 사용하여 내부를 꼼꼼히 밀폐했으면
최종 보철 제작 단계로 들어가야겠죠?
성남치과의원 에서는 색조 및 형태 재현에 힘을 써서
인접한 자연치들과 잘 어울릴 수 있도록
‘심미’에 초점을 두고 제작을 도와드렸습니다.
물론 기능은 기본이죠^^

쉐이드 가이드를 사용하여 색을 결정한 뒤
크라운 제작을 완성했는데요.
주변 치아와 색, 형태 모두 잘 맞고 있었으며
보철인지 모를 정도로 자연스레 어우러지고 있네요.
+ 삐뚠 치열 개선까지 도와드렸답니다 🙂

씹는 것도 전보다 훨씬 편해져서
너무 만족스럽다던 환자분,
꾸준한 관리를 통해 오래 사용하실 수 있도록
성남치과의원 에서 도와드리기로 했습니다.


치근 우식증 케이스에 대해 잘 보셨나요?
이와 비슷한 고민을 갖고 있거나
원인 모를 통증, 불편함으로 고민이 있는 분들은
아래 댓글 및 성남치과의원 으로 연락 남겨주시면
자세하고 친절한 답변 도와드리겠습니다.
긴 글 읽어주셔서 감사합니다.
더서울의 박현준 원장이었습니다^^

치료기간 2019.08.02 ~ 2019.09.17

