성남치과의원 “오래된 금니에서 냄새가 나요.” 지르코니아 크라운 교체 과정
안녕하십니까, 박현준 원장입니다.
치아를 떼울 때 쓰이는 재료에는
여러가지가 있습니다.
‘금(GOLD), 레진(RESIN), 세라믹(CERAMIC),
아말감(AMALGAM)’ 등이 있는데
각기 장점들도 다르면서 적응증이 다릅니다.
그리고 이에 따라 보철의 이름이 달라지게 되고
관리 방법도 조금씩 달라지게 되는데요.
그러나 하나 공통적인 것은
보철의 수명은 영구적이지 않으며
꾸준한 관리를 필요로 한다는 것입니다.
오늘은 타원에서 골드 크라운을 하셨는데
최근들어 지끈거리는 느낌 등 특이 소견이 있어
저희 성남치과의원 에 오셔서 치료를 받으셨던
한 환자분의 임상 증례를 보여드리려 합니다.
【 앞니가 욱신거리고 냄새가 나요. 】
라는 주소로 성남치과의원 에서 상담을 받으셨는데,
바로 구내 포토를 보여드리겠습니다.

오래된 골드 크라운 하나가 눈에 띕니다.
눈에 잘 띄는 곳에 있으니 더 잘 보이는데요.
심미와 더불어 한가지 문제가 되는 것이 있었습니다.
“ 바로 ‘마진’이죠. ”
보철과 치아가 맞 닿는 경계면을
마진(margin)이라 부르는데
이 곳이 들떠서 틈이 만들어져 있습니다.
즉, 그 하방으로 음식이나 타액
또는 세균들이 들어가서
2nd caires 가 만들어진 것으로 예측 되었죠.
성남치과의원 에서
크라운을 탈거하여 내부 상황을 확인했는데요.

아무래도 내부 병소가 근관까지 침투하여
욱신거리는듯한 느낌과
냄새를 동반한 것으로 확인 됩니다.
이어서, 이런 내용을 바탕으로
환자께 설명드렸습니다.
“일단 이가 지끈거리는 이유는,
골드 크라운 하방에 우식(충치, caires)이
만들어졌기 때문이며 다른 보철로
교체를 해야 되는 상황인데요.
그대로 두면 나중에 또 시끈거리는
느낌이 나타날 확률이 높으며
염증이 나타나면서 흔들거리게 될 수 있습니다.
내부에 감염된 것들을 제거하고
새로운 보철을 씌우게 되면
냄새도 자연스레 사라지게 됩니다^^”
이에 환자께서
“네, 그럼 그렇게 할게요.” 라는
답변을 하셨습니다.
【 치료 과정 】
성남치과의원 에서 크라운을 탈거했습니다.
그 속을 깨끗히 청소를 해야 되기 때문이죠.

꽤나 넓은 범위로 우식이 진행이 되었기에
뿌리 속을 깨끗히 긁어내는
신경치료[Endo]도 같이 병행 되었습니다.
이후, 그 속을 꼼꼼히 수복재로 채워 넣은 뒤
크라운이 올라간 형태를 만드는 프랩(Prep)을 했습니다.
깔끔하게 잘 된것이 확인이 됩니다.
일단 바로 보철을 올릴 수 없기 때문에,
임시치아(Temporary crown)을 셋팅해드렸습니다.
(최종보철을 올리기 전에,
저작활동을 하는데에 지장이 없게 하기 위함이죠^^)
【 7일 뒤 】
다시, 환자께서 성남치과의원 에 오셨습니다.
임시치아를 쓰는 기간에
다른 특이소견이 없었는지 질문을 드렸으며
“괜찮았습니다. ^^” 라는 답변을 받았습니다.
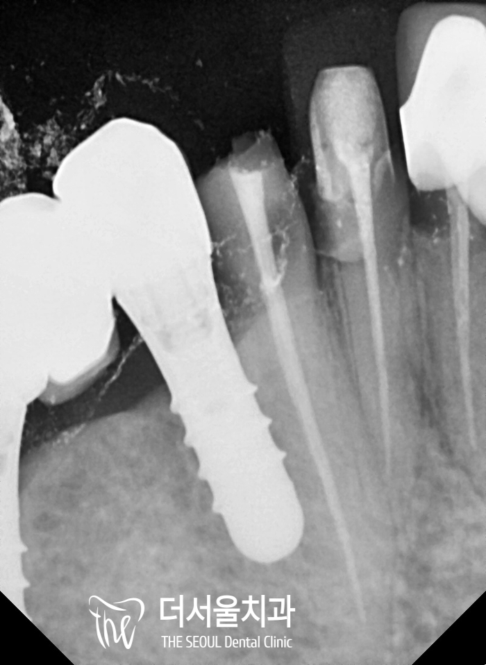
셋팅을 하기 전, 한번 더 엑스레이 촬영으로
신경치료가 된 곳에 다른 증세들이 없는지
꼼꼼히 확인을 했으며 지르코니아 재료로
만든 Crown 을 셋팅을 해드렸습니다.

환자께 이어서 설명드렸습니다.
“한번, 이렇게 떼워놨다 할 지라도 그대로
두는것이 아니라 태평역치과 에 정기검진을
3개월 또는 6개월에 한번씩 오셔서
체크를 하는 것이 좋습니다.
혹시나, 다른 곳에 염증이나 부작용들이
나타날 수 있기 때문에 미리 발견을 하여
조기진료로 이어지는 것이 좋기 때문이예요.”
잘 아시겠죠?ㅎㅎ
정기검진을 습관화 하는 것이
정말 중요한 습관이라는 점!
【 오늘 정리 】
우리 치아들의 1개당 가치는
대략 3천만원 가량 된다 합니다.
제 생각으론 그보다 더 크다 생각하는데요.
그만큼 우리 입 속에서 여러 기능과
역할들을 하는 존재들이기 때문에
성남치과의원 의 꾸준한 정기검진을 통하여
상태를 점검하는 것이 유리합니다.
이와 관련하여 문의할 내용은
더서울 혹은 아래 댓글로 남겨주시면
자세한 답변 도와드리겠습니다.
긴 글 읽어주셔서 감사합니다.

치료기간 2019.07.23 ~ 2019.09.04



