임플란트 통증, 많이 아픈가요? 성남치과 에서 설명드리겠습니다.
치과에서.. 가장 많이 듣는 말중에 하나가 바로
‘임플란트 수술 할 때 많이 아픈가요?’
라는 질문입니다.
먼저 여기에 따른 성남치과 의 답변은
‘뻐근함 느낌이 드실 수 있겠습니다.’ 입니다.
살짝, 아쉽죠?
곧 시술을 앞두신 분들이 어쩌면 제일 듣기 싫은
답변이라 생각이 되는데요.
그러나 크게 염려하실 부분은 아닙니다.
최근, 의학 기술이 많이 발달이 됨에 따라서
시술 시간이 많이 짧아졌으며 잇몸을 절개하지 않는
비절개 술식이 적용 될 수 있기 때문에
과거와는 다르게 임플란트 아픈가요?
라는 말씀을 하는 분들의 빈도가
많이 낮아진 것은 사실입니다.
사실, 뼈는 정확하게 설명드리면
통증을 느끼는 조직이 아닙니다.
앞서, 잇몸을 절개해야되는 과정 때문에
술 후 통증이 발생이 되는건데 숙련도가
떨어지는 의료진에게 시술을 받았다던지
또는, 어쩔 수 없이 잇몸의 절개량이 크던지
수술 시간이 길어졌다면 어느정도의 욱신거림이나
뻐근한 느낌이 커질 수 있습니다.
다만, 이것조차 타이레놀과 같은 진통제를
복용할 경우에는 많이 가라앉는 편입니다.
대게, 2~3일 이내면 뻐근한 느낌은 거의
사라지게 되며 시술 후 즉시 일상생활에도
거의 지장을 주지 않습니다.
그래서, 제가 여러분들께 하고 싶은 말은
“아플까봐 무서워서 치과 내원을 미루면,
결국 더 큰 문제가 나타날 수 있으니 염려하지 말고
빠른 시일내에 내원을 하셔야 된다.”라는 안내를
드리고 싶습니다.
하여, 관련 된 임상 사례 1건을 보여드릴게요.
“ 선생님, 저 수술을 받아야 되는데
너무 많이 미룬 거 같아요. 어쩌죠? ”
라 말씀하셨던 분의 사례입니다.
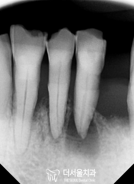
【 초진 내용 】
이 분의 엑스레이를 보면, 치조골이 많이
아래로 내려가 있는 것을 보실 수 있습니다.
즉, 골 퇴축 현상이 진행이 되고 있는건데
치아들이 상실됨에 따라
주위를 감싸고 있던 잇몸뼈들이
서서히 녹고 있는 상황입니다.

파란색으로 표기를 한 곳이, 본래 있어야 될
Bone level 인데, 빨간색의 높이만큼
아래로 내려가 있는 것을 보실 수 있습니다.
이런 점으로 보아, 이 분은 상당히
늦게 치과에 찾아오시게 된 거죠.
여기서, 제가 똑같이 여쭤봤습니다.
‘왜 이렇게 늦게 내원을 하신건가요?’ 라는 말에
‘아플까봐… 무서워서 늦게 왔습니다.’ 라는
답을 하셨죠.
이런 말씀을 드리면 100명중 99명은
‘두려워서’ 라는 답을 하죠.
결국 이 분 또한, 임플란트 수술을 결정하셨는데
역시나 똑같이 ‘임플란트 많이 아픈가요?’ 라는
질문을 하셨더라죠.
근데, 여기서 제가 드린 답이 마음에
드셨던 거 같습니다.
제가 드린 답변은 바로
‘염려마셔요, 의식하진정요법 이라는
가수면상태에서 시술을 받는 수면마취를
적용시키게 되면 통증 없이 수술을
끝마칠 수 있습니다.^^’
이 답변에 따라서, 환자께선 화색이 도셨죠.
‘아픈가요?’ 라는 질문에 아니요. 라는 답을
바로 얻으셨으니깐요.


구강 내 사진을 보여드리면, 맨 뒤편에 있는
치조골, 그리고 앞쪽의 폭경이 심하진 않지만
좁아져 있는 것을 볼 수 있죠?
이 부위에 소량의 뼈 이식재를 이식하는,
골유도 재생술(GBR)을 진행해야 되는 상황입니다.
【 컴퓨터 진단 】
이분께서는 주변 상인들에게
소개를 받고 더서울에 오셨다는데요ㅎㅎ
믿고 찾아와주신만큼,
좋은 결과를 안겨드려야겠네요.





어느 위치에 심겨져야 구강 내에서
조화로운 기능을 할 수 있는지를 예측 하는거고
뼈가 얼마나 많이 위축이 되어있는지
이에 따라서 어떠한 기울기로 어떤 깊이만큼
식립을 해야 되는지를 미리 알 수 있습니다.
즉, 이런 컴퓨터 진단을 하는 이유는
결국 임플란트 아픈가요? 라는 질문에 따라
‘아니요’ 라는 답변을 할 수 있는 이유가 되죠!
수술 시간이 많이 감소 될 수 있으며,
미리 예측을 하며 변수에 대비를 했기 때문에
술 후 통증은 거의 없게 됩니다.
【 수술 진행 】
이렇게, 컴퓨터 진단 내용에 따라서
예상 했던 위치에 그대로 Implant fixture 를
심어드리게 되었습니다.


본래, 어금니가 있어야 될 자리를 대체하는
포지션이기 때문에 뼈 속 깊숙히
심어드린 것을 보실 수 있습니다.
뼈이식도 함께 동반하여
모자란 치조골의 양을 빼곡히 채워줬죠.
【 최종 결과 】
대략, 3개월 뒤에 뼈가 다 아물어서
최종 보철인 지르코니아 크라운까지 올려드렸네요.


결국, 임플란트 아픈가요 라는 질문을 하셨던
환자께 아니요 라는 답변을 했던 저의 약속을
지켜드릴 수 있었습니다.
【 오늘 정리 】
여러분들 또한 구강 내 치아의 결손이나
문제가 있다면 하루 빨리 가까운 치과에 찾아가셔서
적절한 조치를 받으시는 것을 권장드립니다.
물론, 그 때 가서도 임플란트 아픈가요 라는
질문을 하게 되실 수 있겠으나
본인이 생각했던 것 만큼의 상황이
벌어질 가능성은 극히 낮다는점만
꼭 아셨으면 좋겠습니다.
감사합니다, 글쓴이 박현준 원장이였습니다.

치료기간 2018.06.07 ~ 2018.12.27
