고난도 주걱턱 인비절라인, 2년 간의 비수술 개선 과정을 소개해드립니다.

안녕하십니까, 더서울 박현준입니다.
오늘은 주걱턱 인비절라인 케이스를
여러분들께 소개해드리려 합니다.
이분은 아래턱이 윗 턱 보단
더 앞쪽으로 나와있는 경향을
갖고 있었던 분인데요.
이 케이스는 분류에 따르면,
부정교합, 즉 Class III로 나눌 수 있습니다.
흔히 말하는, 주걱턱으로 불리게 되며
제때 개선시키지 않는다면 식사를 올바르게
할 수 없을 뿐만 아니라 윗니와 아랫니의 맞물림이
계속해서 틀어져 편마모(한쪽의 이만 닳는 현상),
또는 턱 관절 질환으로 발전 될 수 있습니다.
식사를 하거나 말을 할 때 턱은 계속 움직이며,
치아들도 이에 맞게 올바른 위치에
배치되어있어야 되는데요.
그렇지 않기에 서로 부딪치게 되는 일이 발생하며
교합(bite)이 맞물리지 않아
억지로 힘을 주게 되는 일이나타나게 됩니다.
이런 점들이 턱 관절(TMJ)에
계속해서 영향을 주고 있기 때문이죠.
【 치료 좀 받고 싶어서 왔습니다. 】
【 유튜브 보고 찾아왔어요. 】
라는 주소로
더서울에 내원을 하셨었습니다.
“어릴때부터 치열을 고르게 잡아두는 것이
좋다 했는데 저는 시기를 놓친거 같아서요.
이제라도 치료를 받고 싶어서 왔어요.
유튜브를 보니깐.. 수술 없이도
어느정도 개선이 될 수 있다길래..”

골격적인 원인은 해결할 수 없겠지만,
치열을 바로 잡아줌으로써
이분의 말대로 주걱턱 개선이 가능합니다.
성장이 멈추지 않았을 때 오셨다면
장치를 사용하여 비교적 쉽고 간단하게
진료를 마쳤을 수 있지만..
이미 발육이 끝난 성인이라 계획을 달리했죠.
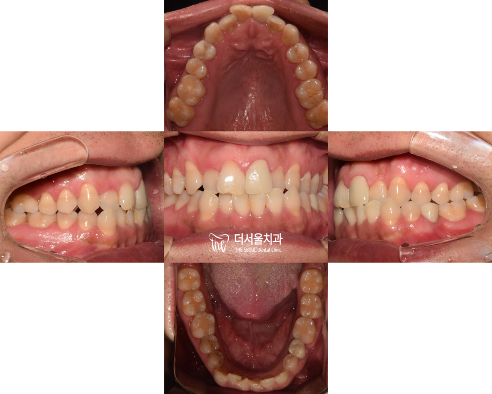
【 진단 내용 】
상악에 비해 하악 어금니가
앞으로 나와있는 Class 3급
주걱턱 케이스였습니다.
왼쪽 위,아래 어금니는
크로스 바이트(반대교합)도 관찰되었는데요.
전체적으로 봤을 때 쉽지 않은
인비절라인 케이스란 생각이 들었죠.
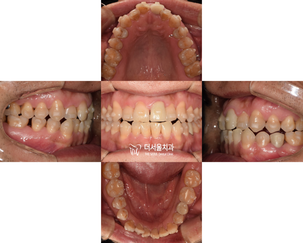
【 진행 과정 】
치아들을 이동시키려면,
공간을 확보해야 되기 때문에
일단, 상악(윗 턱)은 어금니(구치부)쪽은 그대로
둔 채 앞니쪽만 앞으로 이동시키기로 했습니다.
그리고, 하악(아래턱)은 어금니쪽들을 뒤쪽으로
먼저 밀어놓고, 공간을 확보 한 다음 전치부를
뒤쪽으로 밀어내기로 계획을 했습니다.





이에 맞게 단계를 쪼개어 장치를 만들었습니다.
치열을 위에서 봤을 때
완곡한 U자 형태로 만들어야
예쁜 모습을 볼 수 있는데요.

어금니가 안쪽으로 들어가 있었기에
불규칙한 U자의 형태를 띄고 있었기에
이런 모양도 같이
인비절라인 진단 내용에 넣었습니다.

순조롭게 이동을 하고 있는 모습인데요.
어태치먼트와 버튼을 사용하여
좀 더 긴밀한 배열을 유도했습니다.
또한 반대교합이 나타난 곳도
신속히 개선을 도왔는데요.
이곳을 고치지 않으면
추후 치아 파절의 원인이 될 수 있기 때문이죠.

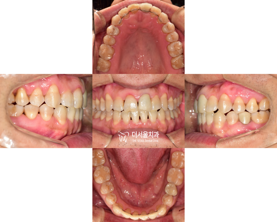
고난도 인비절라인 과정이
드디어 마무리 되었습니다.
훨씬 안정적인 모습을 갖게 되었으며
반대교합 및 주걱턱 경향이 개선되었는데요.
이전에 비해 고르게 바뀐 모습을
확인할 수 있네요^^
비수술이라 안모의 큰 변화는 없지만
입매가 세련되게 변한 것을 볼 수 있습니다.

【 오늘 정리 】
1. 시기를 놓쳤어도 올바른 진단과
계획이 있다면 충분히 개선 가능합니다.
2. 꼼꼼한 치료와 올바른 계획이 있어야
Class3(부정교합)에서
Class1으로 만들 수 있습니다.
(때에 따라 발치가 병행 될 수 있습니다.)
3. 개인의 구강 상태를 충분히 고려하고,
환자의 니즈에 맞는 결과에 도달하는 것이
비로소 좋은 치료라 생각합니다.
4. 꾸준히 관리를 하지 않으면
고르게 펴진 치아라도 언제든 다시
삐뚤어질 수 있습니다.
위 내용과 관련하여 문의할 내용이 있는 분들은
아래 댓글 혹은 더서울로 연락 남겨주세요.
더 유익한 증례로 찾아오겠습니다.
더서울의 박현준 원장이었습니다.


치료기간 2019.04.24 ~ 2021.05.06
